Multimodal Regional Anesthesia Combining Spinal and Erector Spinae Plane Block for Spine Surgery in a High-Risk Patient with Systemic Sclerosis: A Case Report.

Q2 Medicine
Anesthesiology and Pain Medicine Pub Date : 2025-03-29 eCollection Date: 2025-04-30 DOI:10.5812/aapm-160051
Alireza Shakeri, Jina Behjati
{"title":"Multimodal Regional Anesthesia Combining Spinal and Erector Spinae Plane Block for Spine Surgery in a High-Risk Patient with Systemic Sclerosis: A Case Report.","authors":"Alireza Shakeri, Jina Behjati","doi":"10.5812/aapm-160051","DOIUrl":null,"url":null,"abstract":"<p><strong>Introduction: </strong>The erector spinae plane block (ESPB) is a novel regional anesthesia technique that is increasingly incorporated into multimodal analgesia as part of enhanced recovery after surgery (ERAS) pathways in various surgical procedures, including spine surgery.</p><p><strong>Case presentation: </strong>We report the successful use of spinal anesthesia (SA), ESPB, and magnesium sulfate in a high-risk patient with systemic sclerosis and pulmonary fibrosis undergoing laminectomy. A multimodal approach was selected due to the patient's underlying condition. This strategy minimized respiratory complications associated with general anesthesia while providing effective surgical anesthesia and postoperative pain control without opioid-related complications.</p><p><strong>Conclusions: </strong>Our case highlights the utility of ESPB, not only for postoperative pain management but also as a valuable adjunct to primary anesthesia, especially in high-risk patients.</p>","PeriodicalId":7841,"journal":{"name":"Anesthesiology and Pain Medicine","volume":"15 2","pages":"e160051"},"PeriodicalIF":0.0000,"publicationDate":"2025-03-29","publicationTypes":"Journal Article","fieldsOfStudy":null,"isOpenAccess":false,"openAccessPdf":"https://www.ncbi.nlm.nih.gov/pmc/articles/PMC12106966/pdf/","citationCount":"0","resultStr":null,"platform":"Semanticscholar","paperid":null,"PeriodicalName":"Anesthesiology and Pain Medicine","FirstCategoryId":"1085","ListUrlMain":"https://doi.org/10.5812/aapm-160051","RegionNum":0,"RegionCategory":null,"ArticlePicture":[],"TitleCN":null,"AbstractTextCN":null,"PMCID":null,"EPubDate":"2025/4/30 0:00:00","PubModel":"eCollection","JCR":"Q2","JCRName":"Medicine","Score":null,"Total":0}
引用次数: 0

Abstract

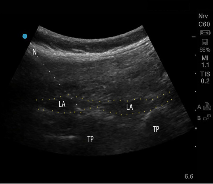
Introduction: The erector spinae plane block (ESPB) is a novel regional anesthesia technique that is increasingly incorporated into multimodal analgesia as part of enhanced recovery after surgery (ERAS) pathways in various surgical procedures, including spine surgery.

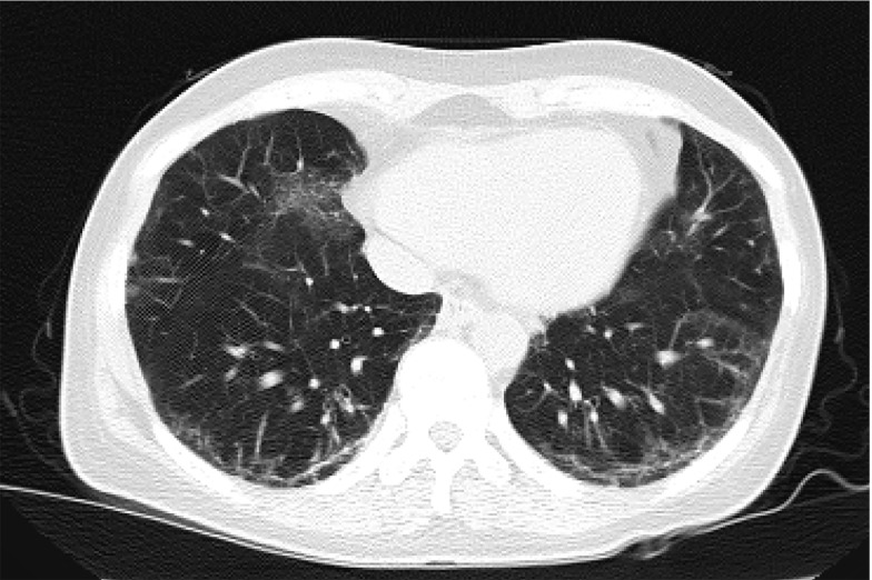
Case presentation: We report the successful use of spinal anesthesia (SA), ESPB, and magnesium sulfate in a high-risk patient with systemic sclerosis and pulmonary fibrosis undergoing laminectomy. A multimodal approach was selected due to the patient's underlying condition. This strategy minimized respiratory complications associated with general anesthesia while providing effective surgical anesthesia and postoperative pain control without opioid-related complications.

Conclusions: Our case highlights the utility of ESPB, not only for postoperative pain management but also as a valuable adjunct to primary anesthesia, especially in high-risk patients.

Abstract Image

Abstract Image

Abstract Image

多模式区域麻醉联合脊柱和竖脊肌平面阻滞用于高危系统性硬化症患者脊柱手术:1例报告。
简介:竖脊机脊柱平面阻滞(ESPB)是一种新型的区域麻醉技术,作为多种外科手术(包括脊柱手术)中增强术后恢复(ERAS)途径的一部分,越来越多地纳入多模式镇痛。病例介绍:我们报告成功使用脊髓麻醉(SA), ESPB和硫酸镁在高危患者系统性硬化症和肺纤维化行椎板切除术。由于患者的基础条件,选择了多模式入路。该策略最大限度地减少全身麻醉相关的呼吸并发症,同时提供有效的手术麻醉和术后疼痛控制,无阿片类药物相关并发症。结论:我们的病例强调了ESPB的实用性,不仅用于术后疼痛管理,而且作为一种有价值的辅助麻醉,特别是在高危患者中。
本文章由计算机程序翻译,如有差异,请以英文原文为准。
求助全文
约1分钟内获得全文 求助全文
来源期刊
Anesthesiology and Pain Medicine
Anesthesiology and Pain Medicine Medicine-Anesthesiology and Pain Medicine
CiteScore
4.60
自引率
0.00%
发文量
49
×
引用
GB/T 7714-2015
复制
MLA
复制
APA
复制
导出至
BibTeX EndNote RefMan NoteFirst NoteExpress
×
提示
您的信息不完整,为了账户安全,请先补充。
现在去补充
×
提示
您因"违规操作"
具体请查看互助需知
我知道了
×
提示
确定
请完成安全验证×
copy
已复制链接
快去分享给好友吧!
我知道了
右上角分享
点击右上角分享
0
联系我们:info@booksci.cn Book学术提供免费学术资源搜索服务,方便国内外学者检索中英文文献。致力于提供最便捷和优质的服务体验。 Copyright © 2023 布克学术 All rights reserved.
京ICP备2023020795号-1
ghs 京公网安备 11010802042870号
Book学术文献互助
Book学术文献互助群
群 号:604180095
Book学术官方微信