Resting-State Functional MRI Reveals Altered Seed-Based Connectivity in Diabetic Osteoporosis Patients.

IF 3.7 3区 医学 Q2 GERIATRICS & GERONTOLOGY
Clinical Interventions in Aging Pub Date : 2025-05-21 eCollection Date: 2025-01-01 DOI:10.2147/CIA.S521686
Jiang Li, Min Liu, Jian Qin, Yuxiao An, Xiuzhu Zheng, Noor Shafini Mohamad, Izzad Ramli
{"title":"Resting-State Functional MRI Reveals Altered Seed-Based Connectivity in Diabetic Osteoporosis Patients.","authors":"Jiang Li, Min Liu, Jian Qin, Yuxiao An, Xiuzhu Zheng, Noor Shafini Mohamad, Izzad Ramli","doi":"10.2147/CIA.S521686","DOIUrl":null,"url":null,"abstract":"<p><strong>Background: </strong>Diabetic osteoporosis (DOP) can cause abnormal brain neural activity, but its mechanism is still unclear. This study aims to further explore the abnormal functional connectivity between different brain regions based on the team's previous research.</p><p><strong>Methods: </strong>Resting-state functional magnetic resonance imaging (rs-fMRI) data were obtained from 14 participants diagnosed with type 2 diabetes mellitus (T2DM) and osteoporosis. For comparison, data from 13 T2DM patients without osteoporosis were analyzed. The seed regions for functional connectivity (FC) analysis were chosen according to brain areas previously reported to exhibit abnormal regional homogeneity (ReHo).</p><p><strong>Results: </strong>DOP patients exhibited significantly decreased BMD, T-scores, MoCA scores, and osteocalcin (OC) levels compared to controls (p<0.05). FC analysis revealed: 1) Reduced connectivity between the left middle temporal gyrus (increased ReHo) and middle occipital gyrus; 2) Enhanced connectivity between the right angular gyrus (increased ReHo) and left Rolandic operculum; 3) Weakened the left precuneus (increased ReHo) and right superior/left middle frontal gyri. These alterations correlated with deficits in visual processing, working memory, and executive function.</p><p><strong>Conclusion: </strong>Distinct FC reorganization in DOP patients reflects synergistic effects of metabolic and skeletal pathologies on neural networks, potentially mediating cognitive decline through visual pathway disruption and prefrontal-default mode network decoupling. The findings highlight neuroimaging biomarkers for metabolic bone disease-related cognitive disorders.</p>","PeriodicalId":48841,"journal":{"name":"Clinical Interventions in Aging","volume":"20 ","pages":"649-658"},"PeriodicalIF":3.7000,"publicationDate":"2025-05-21","publicationTypes":"Journal Article","fieldsOfStudy":null,"isOpenAccess":false,"openAccessPdf":"https://www.ncbi.nlm.nih.gov/pmc/articles/PMC12104670/pdf/","citationCount":"0","resultStr":null,"platform":"Semanticscholar","paperid":null,"PeriodicalName":"Clinical Interventions in Aging","FirstCategoryId":"3","ListUrlMain":"https://doi.org/10.2147/CIA.S521686","RegionNum":3,"RegionCategory":"医学","ArticlePicture":[],"TitleCN":null,"AbstractTextCN":null,"PMCID":null,"EPubDate":"2025/1/1 0:00:00","PubModel":"eCollection","JCR":"Q2","JCRName":"GERIATRICS & GERONTOLOGY","Score":null,"Total":0}
引用次数: 0

Abstract

Background: Diabetic osteoporosis (DOP) can cause abnormal brain neural activity, but its mechanism is still unclear. This study aims to further explore the abnormal functional connectivity between different brain regions based on the team's previous research.

Methods: Resting-state functional magnetic resonance imaging (rs-fMRI) data were obtained from 14 participants diagnosed with type 2 diabetes mellitus (T2DM) and osteoporosis. For comparison, data from 13 T2DM patients without osteoporosis were analyzed. The seed regions for functional connectivity (FC) analysis were chosen according to brain areas previously reported to exhibit abnormal regional homogeneity (ReHo).

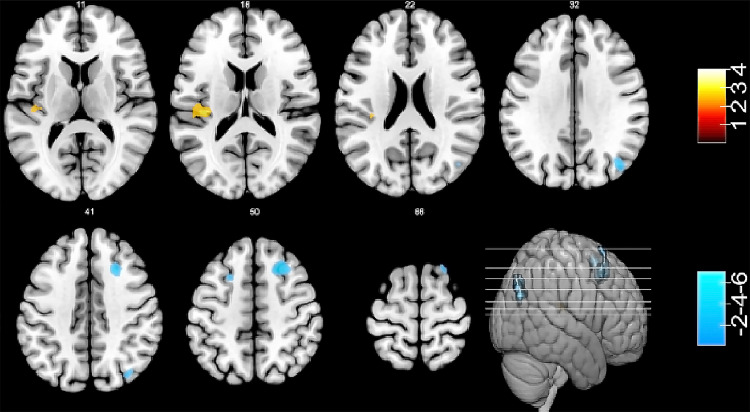
Results: DOP patients exhibited significantly decreased BMD, T-scores, MoCA scores, and osteocalcin (OC) levels compared to controls (p<0.05). FC analysis revealed: 1) Reduced connectivity between the left middle temporal gyrus (increased ReHo) and middle occipital gyrus; 2) Enhanced connectivity between the right angular gyrus (increased ReHo) and left Rolandic operculum; 3) Weakened the left precuneus (increased ReHo) and right superior/left middle frontal gyri. These alterations correlated with deficits in visual processing, working memory, and executive function.

Conclusion: Distinct FC reorganization in DOP patients reflects synergistic effects of metabolic and skeletal pathologies on neural networks, potentially mediating cognitive decline through visual pathway disruption and prefrontal-default mode network decoupling. The findings highlight neuroimaging biomarkers for metabolic bone disease-related cognitive disorders.

Abstract Image

静息状态功能MRI显示糖尿病骨质疏松患者种子基础连接改变。
背景:糖尿病性骨质疏松症(DOP)可引起脑神经活动异常,但其机制尚不清楚。本研究旨在在团队前期研究的基础上,进一步探索大脑不同区域之间的异常功能连接。方法:对14例诊断为2型糖尿病(T2DM)合并骨质疏松的患者进行静息状态功能磁共振成像(rs-fMRI)数据分析。为了进行比较,我们分析了13例无骨质疏松症的T2DM患者的数据。功能连接(FC)分析的种子区域是根据先前报道的表现出异常区域同质性(ReHo)的大脑区域选择的。结果:与对照组相比,DOP患者表现出明显的BMD、t评分、MoCA评分和骨钙素(OC)水平下降。结论:DOP患者明显的FC重组反映了代谢和骨骼病理对神经网络的协同作用,可能通过视觉通路破坏和前额叶-默认模式网络解耦合介导认知能力下降。这一发现强调了代谢性骨病相关认知障碍的神经成像生物标志物。
本文章由计算机程序翻译,如有差异,请以英文原文为准。
求助全文
约1分钟内获得全文 求助全文
来源期刊
Clinical Interventions in Aging
Clinical Interventions in Aging GERIATRICS & GERONTOLOGY-
CiteScore
6.80
自引率
2.80%
发文量
193
审稿时长
6-12 weeks
期刊介绍: Clinical Interventions in Aging, is an online, peer reviewed, open access journal focusing on concise rapid reporting of original research and reviews in aging. Special attention will be given to papers reporting on actual or potential clinical applications leading to improved prevention or treatment of disease or a greater understanding of pathological processes that result from maladaptive changes in the body associated with aging. This journal is directed at a wide array of scientists, engineers, pharmacists, pharmacologists and clinical specialists wishing to maintain an up to date knowledge of this exciting and emerging field.
×
引用
GB/T 7714-2015
复制
MLA
复制
APA
复制
导出至
BibTeX EndNote RefMan NoteFirst NoteExpress
×
提示
您的信息不完整,为了账户安全,请先补充。
现在去补充
×
提示
您因"违规操作"
具体请查看互助需知
我知道了
×
提示
确定
请完成安全验证×
copy
已复制链接
快去分享给好友吧!
我知道了
右上角分享
点击右上角分享
0
联系我们:info@booksci.cn Book学术提供免费学术资源搜索服务,方便国内外学者检索中英文文献。致力于提供最便捷和优质的服务体验。 Copyright © 2023 布克学术 All rights reserved.
京ICP备2023020795号-1
ghs 京公网安备 11010802042870号
Book学术文献互助
Book学术文献互助群
群 号:604180095
Book学术官方微信