A locally aggressive pelvic MEIS1::NCOA1 fusion sarcoma in a young adult female: a case report and review of the literature.

IF 2.3 3区 医学 Q2 PATHOLOGY
Madhurya Ramineni, Youngeun C Armbuster, Hani Katerji, Wei Huang, Jamie L McDowell, Xi Wang
{"title":"A locally aggressive pelvic MEIS1::NCOA1 fusion sarcoma in a young adult female: a case report and review of the literature.","authors":"Madhurya Ramineni, Youngeun C Armbuster, Hani Katerji, Wei Huang, Jamie L McDowell, Xi Wang","doi":"10.1186/s13000-025-01656-9","DOIUrl":null,"url":null,"abstract":"<p><p>MEIS1::NCOA1/2 fusions have been identified in spindle cell tumors of the gynecologic and genitourinary tracts, as well as in two cases of intraosseous spindle cell rhabdomyosarcomas. These tumors typically exhibit an infiltrative growth pattern characterized by short fascicles of monomorphic, plump spindle cells. Their immunoprofile is nonspecific, often demonstrating focal and variable expression of ER, PR, CD10, and cyclin D1. Depending on their location, these tumors are frequently diagnosed as low-grade endometrial stromal sarcomas or undifferentiated uterine or renal sarcomas. While they generally exhibit low malignant potential with multiple local recurrences, two cases with high-grade morphology and lung metastases have been reported. Here, we describe a case of pelvic low-grade spindle cell sarcoma in a 19-year-old woman characterized by strong diffuse ER/PR expression and focal CD10 positivity. Next-generation sequencing revealed a MEIS1::NCOA1 fusion without additional genetic alterations. She presented with extensive local disease throughout the abdomen, while the uterus and adnexa appeared normal intraoperatively.</p>","PeriodicalId":11237,"journal":{"name":"Diagnostic Pathology","volume":"20 1","pages":"65"},"PeriodicalIF":2.3000,"publicationDate":"2025-05-26","publicationTypes":"Journal Article","fieldsOfStudy":null,"isOpenAccess":false,"openAccessPdf":"https://www.ncbi.nlm.nih.gov/pmc/articles/PMC12107740/pdf/","citationCount":"0","resultStr":null,"platform":"Semanticscholar","paperid":null,"PeriodicalName":"Diagnostic Pathology","FirstCategoryId":"3","ListUrlMain":"https://doi.org/10.1186/s13000-025-01656-9","RegionNum":3,"RegionCategory":"医学","ArticlePicture":[],"TitleCN":null,"AbstractTextCN":null,"PMCID":null,"EPubDate":"","PubModel":"","JCR":"Q2","JCRName":"PATHOLOGY","Score":null,"Total":0}
引用次数: 0

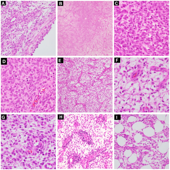
Abstract

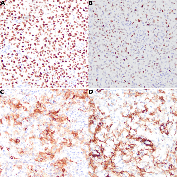
MEIS1::NCOA1/2 fusions have been identified in spindle cell tumors of the gynecologic and genitourinary tracts, as well as in two cases of intraosseous spindle cell rhabdomyosarcomas. These tumors typically exhibit an infiltrative growth pattern characterized by short fascicles of monomorphic, plump spindle cells. Their immunoprofile is nonspecific, often demonstrating focal and variable expression of ER, PR, CD10, and cyclin D1. Depending on their location, these tumors are frequently diagnosed as low-grade endometrial stromal sarcomas or undifferentiated uterine or renal sarcomas. While they generally exhibit low malignant potential with multiple local recurrences, two cases with high-grade morphology and lung metastases have been reported. Here, we describe a case of pelvic low-grade spindle cell sarcoma in a 19-year-old woman characterized by strong diffuse ER/PR expression and focal CD10 positivity. Next-generation sequencing revealed a MEIS1::NCOA1 fusion without additional genetic alterations. She presented with extensive local disease throughout the abdomen, while the uterus and adnexa appeared normal intraoperatively.

Abstract Image

Abstract Image

Abstract Image

一例年轻成年女性局部侵袭性盆腔MEIS1::NCOA1融合肉瘤:1例报告及文献复习
MEIS1::NCOA1/2融合已在妇科和泌尿生殖道梭形细胞肿瘤以及两例骨内梭形细胞横纹肌肉瘤中被发现。这些肿瘤典型地表现为浸润性生长模式,其特征是单形的短束,丰满的梭形细胞。他们的免疫谱是非特异性的,经常表现出ER、PR、CD10和细胞周期蛋白D1的局灶性和可变表达。根据它们的位置,这些肿瘤经常被诊断为低级别子宫内膜间质肉瘤或未分化的子宫或肾脏肉瘤。虽然它们通常表现为低恶性潜能和多发局部复发,但已报道了两例高级别形态和肺转移的病例。在此,我们报告一例19岁女性盆腔低级别梭形细胞肉瘤,其特征是ER/PR强烈弥漫性表达和局灶性CD10阳性。下一代测序显示MEIS1::NCOA1融合,没有额外的遗传改变。她表现出广泛的局部疾病,整个腹部,而子宫和附件在术中表现正常。
本文章由计算机程序翻译,如有差异,请以英文原文为准。
求助全文
约1分钟内获得全文 求助全文
来源期刊
Diagnostic Pathology
Diagnostic Pathology 医学-病理学
CiteScore
4.60
自引率
0.00%
发文量
93
审稿时长
1 months
期刊介绍: Diagnostic Pathology is an open access, peer-reviewed, online journal that considers research in surgical and clinical pathology, immunology, and biology, with a special focus on cutting-edge approaches in diagnostic pathology and tissue-based therapy. The journal covers all aspects of surgical pathology, including classic diagnostic pathology, prognosis-related diagnosis (tumor stages, prognosis markers, such as MIB-percentage, hormone receptors, etc.), and therapy-related findings. The journal also focuses on the technological aspects of pathology, including molecular biology techniques, morphometry aspects (stereology, DNA analysis, syntactic structure analysis), communication aspects (telecommunication, virtual microscopy, virtual pathology institutions, etc.), and electronic education and quality assurance (for example interactive publication, on-line references with automated updating, etc.).
×
引用
GB/T 7714-2015
复制
MLA
复制
APA
复制
导出至
BibTeX EndNote RefMan NoteFirst NoteExpress
×
提示
您的信息不完整,为了账户安全,请先补充。
现在去补充
×
提示
您因"违规操作"
具体请查看互助需知
我知道了
×
提示
确定
请完成安全验证×
copy
已复制链接
快去分享给好友吧!
我知道了
右上角分享
点击右上角分享
0
联系我们:info@booksci.cn Book学术提供免费学术资源搜索服务,方便国内外学者检索中英文文献。致力于提供最便捷和优质的服务体验。 Copyright © 2023 布克学术 All rights reserved.
京ICP备2023020795号-1
ghs 京公网安备 11010802042870号
Book学术文献互助
Book学术文献互助群
群 号:604180095
Book学术官方微信