Sequential Myelomatous Pleural and Pericardial Effusions in Multiple Myeloma: A Case Report Demonstrating Extended Survival with Teclistamab.

IF 0.7 Q4 ONCOLOGY
Case Reports in Oncology Pub Date : 2025-05-26 eCollection Date: 2025-01-01 DOI:10.1159/000545930
Deena Mudawi, Abdulrahman F Al-Mashdali, Ahmad Tawalbeh, Lajos Szabados, Dina Sameh Soliman, Shehab Fareed
{"title":"Sequential Myelomatous Pleural and Pericardial Effusions in Multiple Myeloma: A Case Report Demonstrating Extended Survival with Teclistamab.","authors":"Deena Mudawi, Abdulrahman F Al-Mashdali, Ahmad Tawalbeh, Lajos Szabados, Dina Sameh Soliman, Shehab Fareed","doi":"10.1159/000545930","DOIUrl":null,"url":null,"abstract":"<p><strong>Introduction: </strong>Myelomatous pleural effusion (MPE) and pericardial involvement are rare manifestations of multiple myeloma (MM), occurring in less than 1% of cases and carrying historically poor prognoses. We present a unique case where both these rare serous cavity manifestations occurred sequentially in the same patient, demonstrating the evolving treatment landscape with novel targeted therapies.</p><p><strong>Case presentation: </strong>A 42-year-old Asian female presented with left shoulder pain and swelling, leading to the diagnosis of IgG lambda MM with extensive extramedullary disease. After initial partial response to D-VRD therapy, she developed MPE with complete left lung collapse. Following failure of second-line KPD-PACE therapy, she received teclistamab, achieving complete metabolic and morphological response documented by PET-CT. After maintaining remission for 10 months, she experienced relapse with pericardial involvement presenting as cardiac tamponade.</p><p><strong>Conclusion: </strong>The patient demonstrated an unprecedented response to BCMA-targeted therapy with teclistamab, achieving complete remission that lasted 10 months - more than doubling the historical median survival of 4 months for MPE. Flow cytometry proved instrumental in rapid diagnosis, showing 11% lambda monotypic plasma cells in the pleural fluid. The subsequent pericardial involvement after initial complete response highlighted the persistent challenges in managing extramedullary disease. This case represents the first documented instance of sequential MPE and pericardial involvement in MM, demonstrating the potential of novel targeted therapies, particularly BCMA-directed approaches, in extending survival and improving outcomes in these rare but aggressive disease manifestations.</p>","PeriodicalId":9625,"journal":{"name":"Case Reports in Oncology","volume":"18 1","pages":"620-629"},"PeriodicalIF":0.7000,"publicationDate":"2025-05-26","publicationTypes":"Journal Article","fieldsOfStudy":null,"isOpenAccess":false,"openAccessPdf":"https://www.ncbi.nlm.nih.gov/pmc/articles/PMC12105835/pdf/","citationCount":"0","resultStr":null,"platform":"Semanticscholar","paperid":null,"PeriodicalName":"Case Reports in Oncology","FirstCategoryId":"1085","ListUrlMain":"https://doi.org/10.1159/000545930","RegionNum":0,"RegionCategory":null,"ArticlePicture":[],"TitleCN":null,"AbstractTextCN":null,"PMCID":null,"EPubDate":"2025/1/1 0:00:00","PubModel":"eCollection","JCR":"Q4","JCRName":"ONCOLOGY","Score":null,"Total":0}
引用次数: 0

Abstract

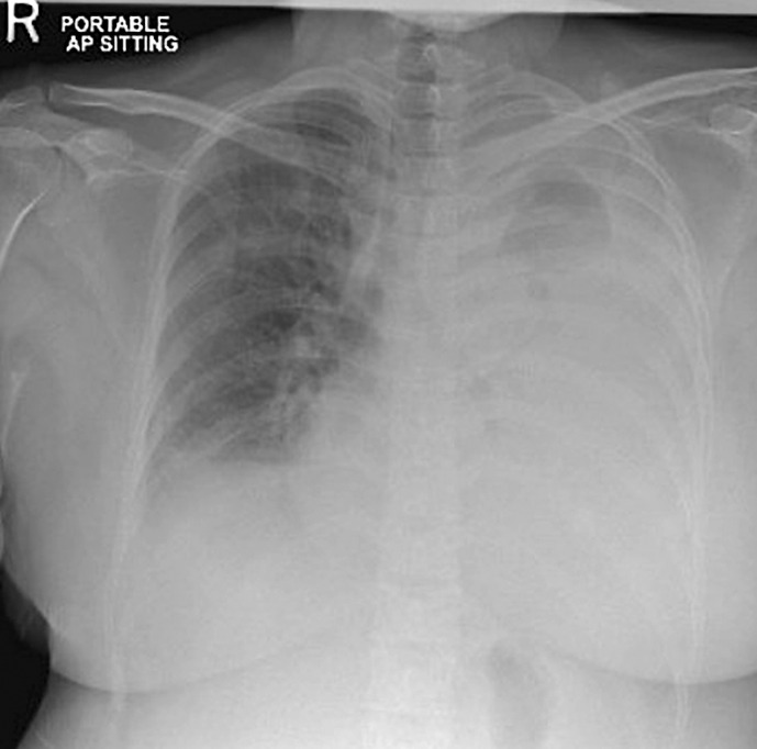
Introduction: Myelomatous pleural effusion (MPE) and pericardial involvement are rare manifestations of multiple myeloma (MM), occurring in less than 1% of cases and carrying historically poor prognoses. We present a unique case where both these rare serous cavity manifestations occurred sequentially in the same patient, demonstrating the evolving treatment landscape with novel targeted therapies.

Case presentation: A 42-year-old Asian female presented with left shoulder pain and swelling, leading to the diagnosis of IgG lambda MM with extensive extramedullary disease. After initial partial response to D-VRD therapy, she developed MPE with complete left lung collapse. Following failure of second-line KPD-PACE therapy, she received teclistamab, achieving complete metabolic and morphological response documented by PET-CT. After maintaining remission for 10 months, she experienced relapse with pericardial involvement presenting as cardiac tamponade.

Conclusion: The patient demonstrated an unprecedented response to BCMA-targeted therapy with teclistamab, achieving complete remission that lasted 10 months - more than doubling the historical median survival of 4 months for MPE. Flow cytometry proved instrumental in rapid diagnosis, showing 11% lambda monotypic plasma cells in the pleural fluid. The subsequent pericardial involvement after initial complete response highlighted the persistent challenges in managing extramedullary disease. This case represents the first documented instance of sequential MPE and pericardial involvement in MM, demonstrating the potential of novel targeted therapies, particularly BCMA-directed approaches, in extending survival and improving outcomes in these rare but aggressive disease manifestations.

Abstract Image

Abstract Image

Abstract Image

多发性骨髓瘤的序贯骨髓瘤性胸膜和心包积液:一例报告证明Teclistamab延长了生存期。
简介:骨髓瘤性胸膜积液(MPE)和心包受累是多发性骨髓瘤(MM)的罕见表现,发生在不到1%的病例中,历史预后较差。我们提出了一个独特的情况下,这两种罕见的浆液腔表现先后发生在同一名患者,展示了不断发展的治疗前景与新的靶向治疗。病例介绍:一名42岁亚洲女性,表现为左肩疼痛和肿胀,诊断为IgG MM伴广泛髓外疾病。在最初对D-VRD治疗有部分反应后,她出现了MPE和完全的左肺萎陷。在二线KPD-PACE治疗失败后,她接受了替司他单抗治疗,PET-CT记录了完全的代谢和形态学反应。在维持缓解期10个月后,她复发并累及心包,表现为心包填塞。结论:患者对teclistamab的bcma靶向治疗表现出前所未有的反应,实现了持续10个月的完全缓解,比MPE历史中位生存期(4个月)增加了一倍多。流式细胞术被证明是快速诊断的工具,在胸膜液中显示11%的λ单型浆细胞。在最初完全缓解后,随后的心包受累突出了管理髓外疾病的持续挑战。该病例是首个有文献记载的MM的序贯MPE和心包受累性病例,证明了新型靶向治疗的潜力,特别是bcma指导的方法,可以延长这些罕见但侵袭性疾病的生存期和改善预后。
本文章由计算机程序翻译,如有差异,请以英文原文为准。
求助全文
约1分钟内获得全文 求助全文
来源期刊
CiteScore
1.40
自引率
12.50%
发文量
151
审稿时长
7 weeks
×
引用
GB/T 7714-2015
复制
MLA
复制
APA
复制
导出至
BibTeX EndNote RefMan NoteFirst NoteExpress
×
提示
您的信息不完整,为了账户安全,请先补充。
现在去补充
×
提示
您因"违规操作"
具体请查看互助需知
我知道了
×
提示
确定
请完成安全验证×
copy
已复制链接
快去分享给好友吧!
我知道了
右上角分享
点击右上角分享
0
联系我们:info@booksci.cn Book学术提供免费学术资源搜索服务,方便国内外学者检索中英文文献。致力于提供最便捷和优质的服务体验。 Copyright © 2023 布克学术 All rights reserved.
京ICP备2023020795号-1
ghs 京公网安备 11010802042870号
Book学术文献互助
Book学术文献互助群
群 号:604180095
Book学术官方微信