Obinutuzumab-Induced Inflammatory Bowel Disease-Like Colitis.

IF 0.7 Q4 ONCOLOGY
Case Reports in Oncology Pub Date : 2025-04-18 eCollection Date: 2025-01-01 DOI:10.1159/000545677
Nadav Weijel, Safwat Odeh, Amjad Mousa, Nina Nazarov, Olga Zelman, Ilana Levy Yurkovski
{"title":"Obinutuzumab-Induced Inflammatory Bowel Disease-Like Colitis.","authors":"Nadav Weijel, Safwat Odeh, Amjad Mousa, Nina Nazarov, Olga Zelman, Ilana Levy Yurkovski","doi":"10.1159/000545677","DOIUrl":null,"url":null,"abstract":"<p><strong>Introduction: </strong>Obinutuzumab, an anti-CD20 antibody, is widely used in the treatment of B-cell lymphomas. While diarrhea is a known side effect, obinutuzumab-induced inflammatory bowel disease (IBD)-like conditions are rarely reported. Here, we present a case of obinutuzumab-induced pancolitis.</p><p><strong>Case presentation: </strong>A 69-year-old male with stage IV follicular lymphoma, treated with obinutuzumab-CHOP and subsequent obinutuzumab maintenance therapy, developed non-bloody diarrhea after his third maintenance dose. Endoscopic and histological findings mimicked Crohn's disease, leading to a diagnosis of obinutuzumab-induced pancolitis. Obinutuzumab was discontinued, and the patient was transitioned to infliximab therapy, leading to partial improvement.</p><p><strong>Conclusion: </strong>This case demonstrates a severe instance of obinutuzumab-induced pancolitis with IBD-like features, emphasizing the need for clinicians to consider drug-induced etiologies in patients presenting with new gastrointestinal symptoms during obinutuzumab therapy. Timely diagnosis and a multidisciplinary approach are crucial for effective management. Further reports are needed to better understand the full spectrum of gastrointestinal toxicity associated with obinutuzumab and guide future treatment.</p>","PeriodicalId":9625,"journal":{"name":"Case Reports in Oncology","volume":"18 1","pages":"613-619"},"PeriodicalIF":0.7000,"publicationDate":"2025-04-18","publicationTypes":"Journal Article","fieldsOfStudy":null,"isOpenAccess":false,"openAccessPdf":"https://www.ncbi.nlm.nih.gov/pmc/articles/PMC12105832/pdf/","citationCount":"0","resultStr":null,"platform":"Semanticscholar","paperid":null,"PeriodicalName":"Case Reports in Oncology","FirstCategoryId":"1085","ListUrlMain":"https://doi.org/10.1159/000545677","RegionNum":0,"RegionCategory":null,"ArticlePicture":[],"TitleCN":null,"AbstractTextCN":null,"PMCID":null,"EPubDate":"2025/1/1 0:00:00","PubModel":"eCollection","JCR":"Q4","JCRName":"ONCOLOGY","Score":null,"Total":0}
引用次数: 0

Abstract

Introduction: Obinutuzumab, an anti-CD20 antibody, is widely used in the treatment of B-cell lymphomas. While diarrhea is a known side effect, obinutuzumab-induced inflammatory bowel disease (IBD)-like conditions are rarely reported. Here, we present a case of obinutuzumab-induced pancolitis.

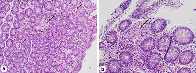
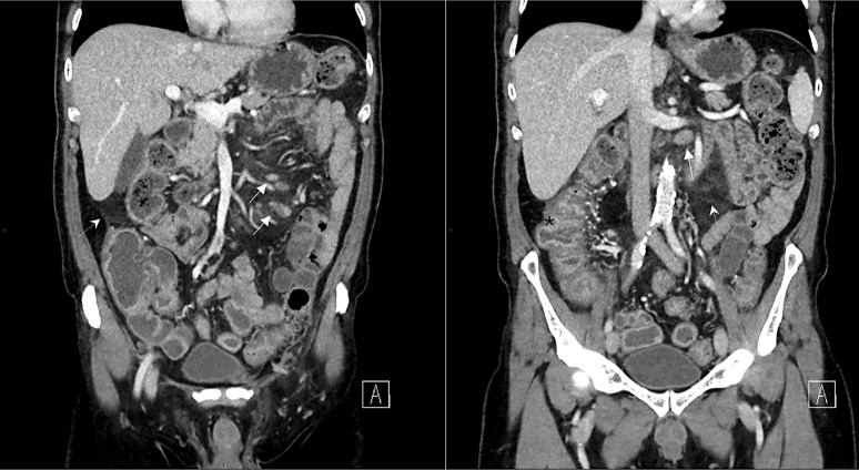
Case presentation: A 69-year-old male with stage IV follicular lymphoma, treated with obinutuzumab-CHOP and subsequent obinutuzumab maintenance therapy, developed non-bloody diarrhea after his third maintenance dose. Endoscopic and histological findings mimicked Crohn's disease, leading to a diagnosis of obinutuzumab-induced pancolitis. Obinutuzumab was discontinued, and the patient was transitioned to infliximab therapy, leading to partial improvement.

Conclusion: This case demonstrates a severe instance of obinutuzumab-induced pancolitis with IBD-like features, emphasizing the need for clinicians to consider drug-induced etiologies in patients presenting with new gastrointestinal symptoms during obinutuzumab therapy. Timely diagnosis and a multidisciplinary approach are crucial for effective management. Further reports are needed to better understand the full spectrum of gastrointestinal toxicity associated with obinutuzumab and guide future treatment.

Abstract Image

Abstract Image

Abstract Image

obinutuzumab诱导炎性肠病样结肠炎。
简介:Obinutuzumab是一种抗cd20抗体,广泛用于治疗b细胞淋巴瘤。虽然腹泻是一种已知的副作用,但obinutuzumab诱导的炎症性肠病(IBD)样疾病很少报道。在这里,我们提出一个病例的obinutuzumab诱导的全结肠炎。病例介绍:一名69岁男性IV期滤泡性淋巴瘤患者,接受了obinutuzumab- chop和随后的obinutuzumab维持治疗,在他的第三次维持剂量后出现非血性腹泻。内窥镜和组织学检查结果模拟克罗恩病,导致诊断为obinutuzumab诱导的全结肠炎。停用Obinutuzumab,患者转入英夫利昔单抗治疗,导致部分改善。结论:该病例显示了具有ibd样特征的严重的obinutuzumab诱导的全结肠炎,强调临床医生需要考虑在obinutuzumab治疗期间出现新的胃肠道症状的患者的药物诱导病因。及时诊断和多学科治疗对有效治疗至关重要。需要进一步的报告来更好地了解与obinutuzumab相关的胃肠道毒性的全谱,并指导未来的治疗。
本文章由计算机程序翻译,如有差异,请以英文原文为准。
求助全文
约1分钟内获得全文 求助全文
来源期刊
CiteScore
1.40
自引率
12.50%
发文量
151
审稿时长
7 weeks
×
引用
GB/T 7714-2015
复制
MLA
复制
APA
复制
导出至
BibTeX EndNote RefMan NoteFirst NoteExpress
×
提示
您的信息不完整,为了账户安全,请先补充。
现在去补充
×
提示
您因"违规操作"
具体请查看互助需知
我知道了
×
提示
确定
请完成安全验证×
copy
已复制链接
快去分享给好友吧!
我知道了
右上角分享
点击右上角分享
0
联系我们:info@booksci.cn Book学术提供免费学术资源搜索服务,方便国内外学者检索中英文文献。致力于提供最便捷和优质的服务体验。 Copyright © 2023 布克学术 All rights reserved.
京ICP备2023020795号-1
ghs 京公网安备 11010802042870号
Book学术文献互助
Book学术文献互助群
群 号:604180095
Book学术官方微信