Hypoalbuminemia and Generalized Edema as the Presenting Symptoms of Celiac Disease in a Two-Year-Old Girl: A Case Report.

IF 0.6 Q4 GASTROENTEROLOGY & HEPATOLOGY
Case Reports in Gastroenterology Pub Date : 2025-05-26 eCollection Date: 2025-01-01 DOI:10.1159/000545732
Michael R Weaver, William C Schultz, Ahmed Rafay Afzal, Kara L Oliver, Osama F Almadhoun
{"title":"Hypoalbuminemia and Generalized Edema as the Presenting Symptoms of Celiac Disease in a Two-Year-Old Girl: A Case Report.","authors":"Michael R Weaver, William C Schultz, Ahmed Rafay Afzal, Kara L Oliver, Osama F Almadhoun","doi":"10.1159/000545732","DOIUrl":null,"url":null,"abstract":"<p><strong>Introduction: </strong>Celiac disease (CD) is a systemic, immune-mediated enteropathy that occurs following dietary consumption of gluten in genetically susceptible individuals. The global prevalence of celiac disease is estimated to be approximately 1.4%, with variation based on age, sex, and geographic location. CD typically presents early in life with diarrhea, abdominal pain, abdominal distention, weight loss, and impaired growth. In severe cases, patients with CD can present in a state of celiac crisis (CC), classically characterized with profuse diarrhea and life-threatening metabolic derangements.</p><p><strong>Case presentation: </strong>In this report, we discuss a 23-month-old girl in a state of CC who presented atypically with hypoalbuminemia, generalized edema, and constipation.</p><p><strong>Conclusion: </strong>Even in the presence of atypical symptoms, such as edema or constipation, CD should be considered as a differential diagnosis in pediatric patients with severe gastrointestinal disturbances. Additionally, we propose a revised definition of CC that is specific to the pediatric population.</p>","PeriodicalId":9614,"journal":{"name":"Case Reports in Gastroenterology","volume":"19 1","pages":"373-380"},"PeriodicalIF":0.6000,"publicationDate":"2025-05-26","publicationTypes":"Journal Article","fieldsOfStudy":null,"isOpenAccess":false,"openAccessPdf":"https://www.ncbi.nlm.nih.gov/pmc/articles/PMC12105830/pdf/","citationCount":"0","resultStr":null,"platform":"Semanticscholar","paperid":null,"PeriodicalName":"Case Reports in Gastroenterology","FirstCategoryId":"1085","ListUrlMain":"https://doi.org/10.1159/000545732","RegionNum":0,"RegionCategory":null,"ArticlePicture":[],"TitleCN":null,"AbstractTextCN":null,"PMCID":null,"EPubDate":"2025/1/1 0:00:00","PubModel":"eCollection","JCR":"Q4","JCRName":"GASTROENTEROLOGY & HEPATOLOGY","Score":null,"Total":0}
引用次数: 0

Abstract

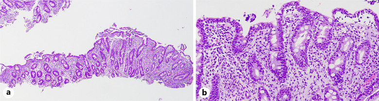
Introduction: Celiac disease (CD) is a systemic, immune-mediated enteropathy that occurs following dietary consumption of gluten in genetically susceptible individuals. The global prevalence of celiac disease is estimated to be approximately 1.4%, with variation based on age, sex, and geographic location. CD typically presents early in life with diarrhea, abdominal pain, abdominal distention, weight loss, and impaired growth. In severe cases, patients with CD can present in a state of celiac crisis (CC), classically characterized with profuse diarrhea and life-threatening metabolic derangements.

Case presentation: In this report, we discuss a 23-month-old girl in a state of CC who presented atypically with hypoalbuminemia, generalized edema, and constipation.

Conclusion: Even in the presence of atypical symptoms, such as edema or constipation, CD should be considered as a differential diagnosis in pediatric patients with severe gastrointestinal disturbances. Additionally, we propose a revised definition of CC that is specific to the pediatric population.

Abstract Image

低白蛋白血症和全身性水肿是2岁女童乳糜泻的主要症状:1例报告
简介:乳糜泻(CD)是一种全身性免疫介导的肠病,发生在遗传易感个体食用谷蛋白后。乳糜泻的全球患病率估计约为1.4%,因年龄、性别和地理位置而异。乳糜泻通常在生命早期表现为腹泻、腹痛、腹胀、体重减轻和生长受损。在严重的情况下,乳糜泻患者可以表现为乳糜泻危象(CC),典型特征是大量腹泻和危及生命的代谢紊乱。病例介绍:在本报告中,我们讨论了一个23个月大的CC状态的女孩,她表现出非典型的低白蛋白血症,全身性水肿和便秘。结论:即使存在非典型症状,如水肿或便秘,也应将乳糜泻作为严重胃肠道紊乱的儿科患者的鉴别诊断。此外,我们提出了针对儿科人群的CC的修订定义。
本文章由计算机程序翻译,如有差异,请以英文原文为准。
求助全文
约1分钟内获得全文 求助全文
来源期刊
Case Reports in Gastroenterology
Case Reports in Gastroenterology Medicine-Gastroenterology
CiteScore
1.10
自引率
0.00%
发文量
99
审稿时长
7 weeks
期刊介绍:
×
引用
GB/T 7714-2015
复制
MLA
复制
APA
复制
导出至
BibTeX EndNote RefMan NoteFirst NoteExpress
×
提示
您的信息不完整,为了账户安全,请先补充。
现在去补充
×
提示
您因"违规操作"
具体请查看互助需知
我知道了
×
提示
确定
请完成安全验证×
copy
已复制链接
快去分享给好友吧!
我知道了
右上角分享
点击右上角分享
0
联系我们:info@booksci.cn Book学术提供免费学术资源搜索服务,方便国内外学者检索中英文文献。致力于提供最便捷和优质的服务体验。 Copyright © 2023 布克学术 All rights reserved.
京ICP备2023020795号-1
ghs 京公网安备 11010802042870号
Book学术文献互助
Book学术文献互助群
群 号:604180095
Book学术官方微信