Infant With a Severe Form of GLRX5-Related Atypical Hyperglycinemia Exhibiting Novel Cardiac and Neurologic Disease Manifestations at Autopsy.

IF 1.3
Elizabeth O Ferreira, Marc R Del Bigio, Jason Morin, Patrick Frosk
{"title":"Infant With a Severe Form of <i>GLRX5</i>-Related Atypical Hyperglycinemia Exhibiting Novel Cardiac and Neurologic Disease Manifestations at Autopsy.","authors":"Elizabeth O Ferreira, Marc R Del Bigio, Jason Morin, Patrick Frosk","doi":"10.1177/10935266251335065","DOIUrl":null,"url":null,"abstract":"<p><p>Glutaredoxin 5 (GLRX5) is a mitochondrial protein encoded by the GLRX5 gene, which is essential for cellular redox homoeostasis, lipoic acid synthesis, and iron-sulfur cluster transfer. Rare cases of pathogenic GLRX5 mutations have been associated with sideroblastic anemia and non-ketotic hyperglycinemia with progressive spasticity and cavitating leukoencephalopathy. We report an 11-month-old child, who died following aspiration, with severe cardiomyocyte mitochondrial abnormalities and cerebral white matter degeneration in the context of a homozygous GLRX5 variant (c.208A>G, p.S70G).</p>","PeriodicalId":520743,"journal":{"name":"Pediatric and developmental pathology : the official journal of the Society for Pediatric Pathology and the Paediatric Pathology Society","volume":" ","pages":"390-394"},"PeriodicalIF":1.3000,"publicationDate":"2025-09-01","publicationTypes":"Journal Article","fieldsOfStudy":null,"isOpenAccess":false,"openAccessPdf":"https://www.ncbi.nlm.nih.gov/pmc/articles/PMC12426336/pdf/","citationCount":"0","resultStr":null,"platform":"Semanticscholar","paperid":null,"PeriodicalName":"Pediatric and developmental pathology : the official journal of the Society for Pediatric Pathology and the Paediatric Pathology Society","FirstCategoryId":"1085","ListUrlMain":"https://doi.org/10.1177/10935266251335065","RegionNum":0,"RegionCategory":null,"ArticlePicture":[],"TitleCN":null,"AbstractTextCN":null,"PMCID":null,"EPubDate":"2025/5/26 0:00:00","PubModel":"Epub","JCR":"","JCRName":"","Score":null,"Total":0}
引用次数: 0

Abstract

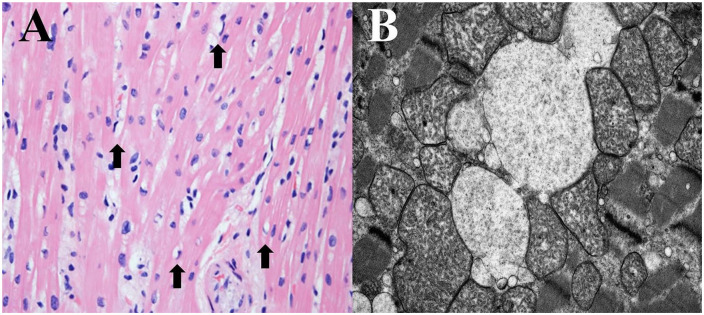
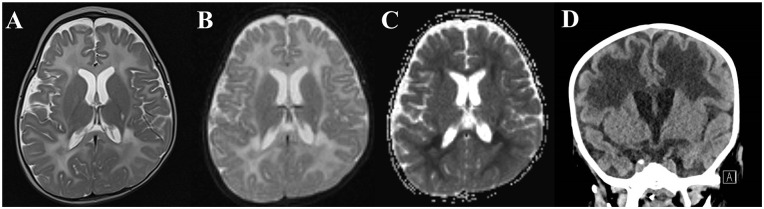
Glutaredoxin 5 (GLRX5) is a mitochondrial protein encoded by the GLRX5 gene, which is essential for cellular redox homoeostasis, lipoic acid synthesis, and iron-sulfur cluster transfer. Rare cases of pathogenic GLRX5 mutations have been associated with sideroblastic anemia and non-ketotic hyperglycinemia with progressive spasticity and cavitating leukoencephalopathy. We report an 11-month-old child, who died following aspiration, with severe cardiomyocyte mitochondrial abnormalities and cerebral white matter degeneration in the context of a homozygous GLRX5 variant (c.208A>G, p.S70G).

Abstract Image

Abstract Image

Abstract Image

婴儿与glrx5相关的严重形式的不典型高血糖在尸检中表现出新的心脏和神经疾病的表现
Glutaredoxin 5 (GLRX5)是由GLRX5基因编码的线粒体蛋白,对细胞氧化还原平衡、硫辛酸合成和铁硫簇转移至关重要。罕见的致病性GLRX5突变病例与铁母细胞性贫血和非酮症高血糖症伴进行性痉挛和空化性脑白质病有关。我们报告了一例11个月大的婴儿,在GLRX5纯合子变异(c.208A >g, p.S70G)的背景下,因严重的心肌细胞线粒体异常和脑白质变性而死于误吸。
本文章由计算机程序翻译,如有差异,请以英文原文为准。
求助全文
约1分钟内获得全文 求助全文
来源期刊
自引率
0.00%
发文量
0
×
引用
GB/T 7714-2015
复制
MLA
复制
APA
复制
导出至
BibTeX EndNote RefMan NoteFirst NoteExpress
×
提示
您的信息不完整,为了账户安全,请先补充。
现在去补充
×
提示
您因"违规操作"
具体请查看互助需知
我知道了
×
提示
确定
请完成安全验证×
copy
已复制链接
快去分享给好友吧!
我知道了
右上角分享
点击右上角分享
0
联系我们:info@booksci.cn Book学术提供免费学术资源搜索服务,方便国内外学者检索中英文文献。致力于提供最便捷和优质的服务体验。 Copyright © 2023 布克学术 All rights reserved.
京ICP备2023020795号-1
ghs 京公网安备 11010802042870号
Book学术文献互助
Book学术文献互助群
群 号:604180095
Book学术官方微信