Synthetic magnetic resonance-based relaxometry in differentiating central nervous system tuberculoma and glioblastoma.

Polish journal of radiology Pub Date : 2025-04-29 eCollection Date: 2025-01-01 DOI:10.5114/pjr/202175
Sanket Dash, Sameer Vyas, Chirag Kamal Ahuja, Paramjeet Singh, Sarfraj Ahmad
{"title":"Synthetic magnetic resonance-based relaxometry in differentiating central nervous system tuberculoma and glioblastoma.","authors":"Sanket Dash, Sameer Vyas, Chirag Kamal Ahuja, Paramjeet Singh, Sarfraj Ahmad","doi":"10.5114/pjr/202175","DOIUrl":null,"url":null,"abstract":"<p><strong>Purpose: </strong>Synthetic magnetic resonance imaging (MRI) allows reconstruction of multiple contrast-weighted images from a single acquisition of multiple delay multiple echo (MDME) sequence with quantitative relaxometry (longitudinal relaxation rate [R1], transverse relaxation rate [R2], and proton density [PD]) in a shorter acquisition time. We tried to explore synthetic MR-based relaxometry to differentiate central nervous system (CNS) tuberculomas from primary CNS neoplasm like glioblastoma.</p><p><strong>Material and methods: </strong>Ten cases of CNS tuberculoma and 14 cases of glioblastoma underwent pre- and post-contrast synthetic MRI. R1, R2, and PD values were calculated from lesion core, wall, and perilesional oedema using free-hand region of interest and compared across the 2 groups.</p><p><strong>Results: </strong>Both pre- and post-contrast R1 and R2 relaxation rates from core were significantly higher in tuberculoma (mean pre-contrast R1 - 0.93, R2 - 15.02; post-contrast R1 - 1.51, R2 - 15.48) from glioblastoma (mean pre-contrast R1 - 0.36, R2 - 4.58; post-contrast R1 - 0.43, R2 - 4.78). The same values were higher in perilesional oedema of glioblastoma (mean pre-contrast R1 - 0.75, R2 - 9.9; post-contrast R1 - 0.78, R2 - 10.48) compared to tuberculoma (mean pre-contrast R1 - 0.68, R2 - 8.57; post-contrast R1 - 0.72, R2 - 8.67). No significant difference was seen between relaxometry parameters from the walls of lesions.</p><p><strong>Conclusions: </strong>Synthetic MR-based relaxometry can be useful in distinguishing CNS tuberculomas from glioblastoma. R1 and R2 relaxation rates from core of the lesions are most important in differentiating the two with R1 value > 0.852 and R2 value > 11.565 from core strongly suggests tuberculoma over glioblastoma.</p>","PeriodicalId":94174,"journal":{"name":"Polish journal of radiology","volume":"90 ","pages":"e198-e206"},"PeriodicalIF":0.0000,"publicationDate":"2025-04-29","publicationTypes":"Journal Article","fieldsOfStudy":null,"isOpenAccess":false,"openAccessPdf":"https://www.ncbi.nlm.nih.gov/pmc/articles/PMC12099202/pdf/","citationCount":"0","resultStr":null,"platform":"Semanticscholar","paperid":null,"PeriodicalName":"Polish journal of radiology","FirstCategoryId":"1085","ListUrlMain":"https://doi.org/10.5114/pjr/202175","RegionNum":0,"RegionCategory":null,"ArticlePicture":[],"TitleCN":null,"AbstractTextCN":null,"PMCID":null,"EPubDate":"2025/1/1 0:00:00","PubModel":"eCollection","JCR":"","JCRName":"","Score":null,"Total":0}
引用次数: 0

Abstract

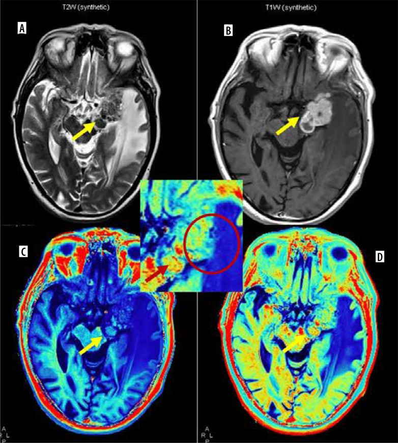
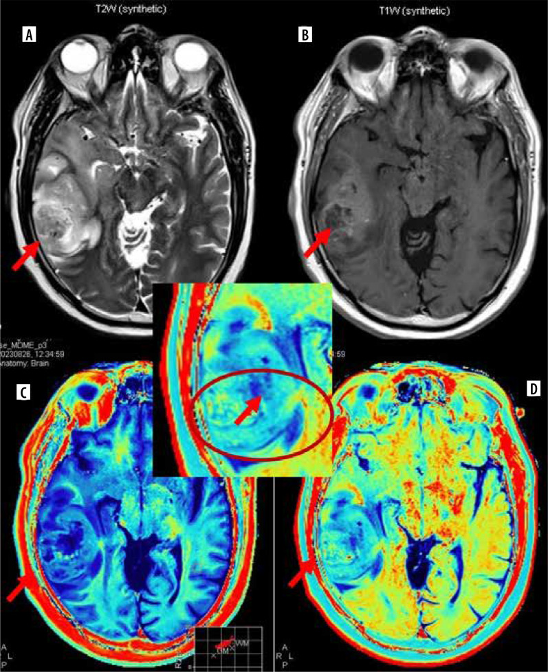
Purpose: Synthetic magnetic resonance imaging (MRI) allows reconstruction of multiple contrast-weighted images from a single acquisition of multiple delay multiple echo (MDME) sequence with quantitative relaxometry (longitudinal relaxation rate [R1], transverse relaxation rate [R2], and proton density [PD]) in a shorter acquisition time. We tried to explore synthetic MR-based relaxometry to differentiate central nervous system (CNS) tuberculomas from primary CNS neoplasm like glioblastoma.

Material and methods: Ten cases of CNS tuberculoma and 14 cases of glioblastoma underwent pre- and post-contrast synthetic MRI. R1, R2, and PD values were calculated from lesion core, wall, and perilesional oedema using free-hand region of interest and compared across the 2 groups.

Results: Both pre- and post-contrast R1 and R2 relaxation rates from core were significantly higher in tuberculoma (mean pre-contrast R1 - 0.93, R2 - 15.02; post-contrast R1 - 1.51, R2 - 15.48) from glioblastoma (mean pre-contrast R1 - 0.36, R2 - 4.58; post-contrast R1 - 0.43, R2 - 4.78). The same values were higher in perilesional oedema of glioblastoma (mean pre-contrast R1 - 0.75, R2 - 9.9; post-contrast R1 - 0.78, R2 - 10.48) compared to tuberculoma (mean pre-contrast R1 - 0.68, R2 - 8.57; post-contrast R1 - 0.72, R2 - 8.67). No significant difference was seen between relaxometry parameters from the walls of lesions.

Conclusions: Synthetic MR-based relaxometry can be useful in distinguishing CNS tuberculomas from glioblastoma. R1 and R2 relaxation rates from core of the lesions are most important in differentiating the two with R1 value > 0.852 and R2 value > 11.565 from core strongly suggests tuberculoma over glioblastoma.

Abstract Image

Abstract Image

Abstract Image

合成磁共振弛豫法鉴别中枢神经系统结核瘤和胶质母细胞瘤。
目的:合成磁共振成像(MRI)可以在较短的采集时间内,通过定量弛豫测量(纵向弛豫率[R1]、横向弛豫率[R2]和质子密度[PD]),从单次采集的多重延迟多重回波(MDME)序列中重建多个对比加权图像。我们试图探索基于合成磁共振弛豫仪的中枢神经系统(CNS)结核瘤与原发性中枢神经系统肿瘤如胶质母细胞瘤的鉴别。材料与方法:对10例中枢神经系统结核瘤和14例胶质母细胞瘤行造影前后合成MRI检查。R1、R2和PD值由病变核心、壁和病灶周围水肿计算,使用徒手感兴趣区域,并在两组之间进行比较。结果:在结核瘤中,对比前和对比后R1和R2松弛率均显著升高(对比前平均R1 - 0.93, R2 - 15.02;对比后R1 - 1.51, R2 - 15.48)(对比前平均R1 - 0.36, R2 - 4.58;对比后R1 - 0.43, R2 - 4.78)。胶质母细胞瘤的病灶周围水肿也有相同的数值(对比前平均R1 - 0.75, R2 - 9.9;对比后R1 - 0.78, R2 - 10.48)与结核瘤相比(对比前平均R1 - 0.68, R2 - 8.57;对比后R1 - 0.72, R2 - 8.67)。病变壁的松弛测量参数无明显差异。结论:合成磁共振弛豫仪可用于鉴别中枢神经系统结核瘤和胶质母细胞瘤。病灶核心区R1和R2松弛率是鉴别两者的最重要指标,核心区R1值> 0.852,R2值> 11.565强烈提示为结核瘤而非胶质母细胞瘤。
本文章由计算机程序翻译,如有差异,请以英文原文为准。
求助全文
约1分钟内获得全文 求助全文
来源期刊
CiteScore
2.10
自引率
0.00%
发文量
0
×
引用
GB/T 7714-2015
复制
MLA
复制
APA
复制
导出至
BibTeX EndNote RefMan NoteFirst NoteExpress
×
提示
您的信息不完整,为了账户安全,请先补充。
现在去补充
×
提示
您因"违规操作"
具体请查看互助需知
我知道了
×
提示
确定
请完成安全验证×
copy
已复制链接
快去分享给好友吧!
我知道了
右上角分享
点击右上角分享
0
联系我们:info@booksci.cn Book学术提供免费学术资源搜索服务,方便国内外学者检索中英文文献。致力于提供最便捷和优质的服务体验。 Copyright © 2023 布克学术 All rights reserved.
京ICP备2023020795号-1
ghs 京公网安备 11010802042870号
Book学术文献互助
Book学术文献互助群
群 号:604180095
Book学术官方微信