A Tumultuous Journey of Metastatic Pancreatic Neuroendocrine Tumor with Carcinoid Syndrome.

IF 1.2 Q4 ENDOCRINOLOGY & METABOLISM
Somdatta Giri, Sadishkumar Kamalanathan, Kalayarasan Raja, Nandini Pandit, Dukhabandhu Naik, Jayaprakash Sahoo
{"title":"A Tumultuous Journey of Metastatic Pancreatic Neuroendocrine Tumor with Carcinoid Syndrome.","authors":"Somdatta Giri, Sadishkumar Kamalanathan, Kalayarasan Raja, Nandini Pandit, Dukhabandhu Naik, Jayaprakash Sahoo","doi":"10.15605/jafes.040.01.04","DOIUrl":null,"url":null,"abstract":"<p><p>A 25-year-old woman presented with metastatic pancreatic neuroendocrine tumor with carcinoid syndrome. She was refractory to octreotide and did not respond well to chemotherapy. Although surgical debulking remains the primary approach for managing these tumours, it entails inherent risks, including potentially exacerbating carcinoid syndrome. We strategically delivered the one Peptide Receptor Radionuclide Therapy cycle before tumor debulking, a decision that yielded a remarkable response, stabilizing her condition.</p>","PeriodicalId":41792,"journal":{"name":"Journal of the ASEAN Federation of Endocrine Societies","volume":"40 1","pages":"112-116"},"PeriodicalIF":1.2000,"publicationDate":"2025-05-01","publicationTypes":"Journal Article","fieldsOfStudy":null,"isOpenAccess":false,"openAccessPdf":"https://www.ncbi.nlm.nih.gov/pmc/articles/PMC12102652/pdf/","citationCount":"0","resultStr":null,"platform":"Semanticscholar","paperid":null,"PeriodicalName":"Journal of the ASEAN Federation of Endocrine Societies","FirstCategoryId":"1085","ListUrlMain":"https://doi.org/10.15605/jafes.040.01.04","RegionNum":0,"RegionCategory":null,"ArticlePicture":[],"TitleCN":null,"AbstractTextCN":null,"PMCID":null,"EPubDate":"2025/4/20 0:00:00","PubModel":"Epub","JCR":"Q4","JCRName":"ENDOCRINOLOGY & METABOLISM","Score":null,"Total":0}
引用次数: 0

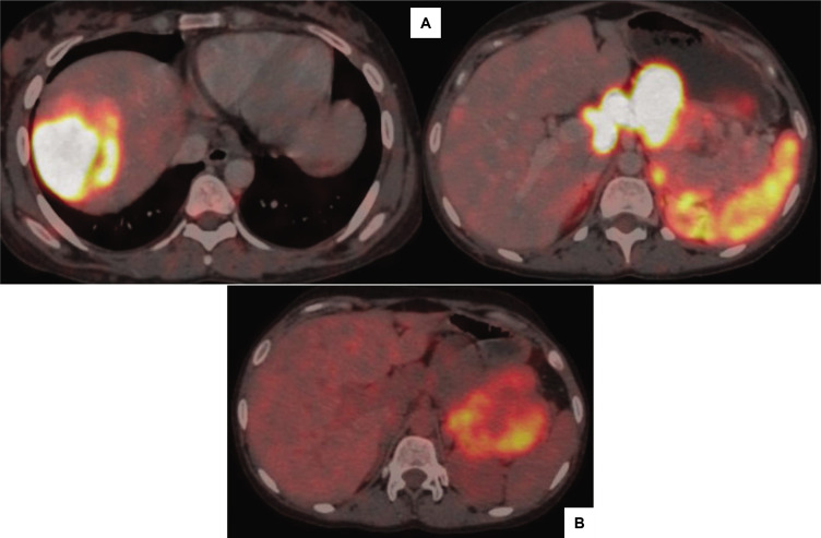
Abstract

A 25-year-old woman presented with metastatic pancreatic neuroendocrine tumor with carcinoid syndrome. She was refractory to octreotide and did not respond well to chemotherapy. Although surgical debulking remains the primary approach for managing these tumours, it entails inherent risks, including potentially exacerbating carcinoid syndrome. We strategically delivered the one Peptide Receptor Radionuclide Therapy cycle before tumor debulking, a decision that yielded a remarkable response, stabilizing her condition.

Abstract Image

Abstract Image

Abstract Image

转移性胰腺神经内分泌肿瘤伴类癌综合征的动荡之旅。
一个25岁的女性提出转移性胰腺神经内分泌肿瘤伴类癌综合征。她对奥曲肽难治,化疗反应不佳。尽管手术切除肿瘤仍然是治疗这些肿瘤的主要方法,但它具有固有的风险,包括可能加剧类癌综合征。我们在肿瘤缩小之前策略性地给予了一个肽受体放射性核素治疗周期,这一决定产生了显著的反应,稳定了她的病情。
本文章由计算机程序翻译,如有差异,请以英文原文为准。
求助全文
约1分钟内获得全文 求助全文
来源期刊
CiteScore
1.20
自引率
0.00%
发文量
22
审稿时长
8 weeks
期刊介绍: The Journal of the ASEAN Federation of Endocrine Societies (JAFES) is an OPEN ACCESS, internationally peer-reviewed, English language, medical and health science journal that is published in print two times a year by the ASEAN Federation of Endocrine Societies. It shall serve as the endocrine window between the ASEAN region and the world, featuring original papers and publishing key findings from specialists and experts of endocrinology.
×
引用
GB/T 7714-2015
复制
MLA
复制
APA
复制
导出至
BibTeX EndNote RefMan NoteFirst NoteExpress
×
提示
您的信息不完整,为了账户安全,请先补充。
现在去补充
×
提示
您因"违规操作"
具体请查看互助需知
我知道了
×
提示
确定
请完成安全验证×
copy
已复制链接
快去分享给好友吧!
我知道了
右上角分享
点击右上角分享
0
联系我们:info@booksci.cn Book学术提供免费学术资源搜索服务,方便国内外学者检索中英文文献。致力于提供最便捷和优质的服务体验。 Copyright © 2023 布克学术 All rights reserved.
京ICP备2023020795号-1
ghs 京公网安备 11010802042870号
Book学术文献互助
Book学术文献互助群
群 号:604180095
Book学术官方微信