Coronary Vasculitis in Takayasu's: A Case Report and Review of the Literature on Optimal Surgical Intervention.

IF 0.8 Q3 MEDICINE, GENERAL & INTERNAL
Elizabeth Konon, Anum Shahzad, Raymundo Quintana Quezada, Jason Kolfenbach
{"title":"Coronary Vasculitis in Takayasu's: A Case Report and Review of the Literature on Optimal Surgical Intervention.","authors":"Elizabeth Konon, Anum Shahzad, Raymundo Quintana Quezada, Jason Kolfenbach","doi":"10.1177/23247096251342427","DOIUrl":null,"url":null,"abstract":"<p><p>Takayasu's arteritis (TAK) is a rare, large-vessel vasculitis that typically involves the aorta and its major branches. Patients may experience coronary involvement, most commonly the left main coronary ostia. Patients with coronary artery occlusion often require emergent revascularization; however, there is debate regarding the optimal timing and type of surgical intervention in the setting of TAK. Herein we describe a 32-year-old female presenting with non-ST elevation myocardial infarction (NSTEMI) who underwent percutaneous intervention (PCI) with drug-eluting stent (DES) placement and was subsequently diagnosed with TAK. A 32-year-old female presented to the emergency department with chest pressure and dyspnea. Her electrocardiogram findings and troponin elevation were consistent with NSTEMI and she underwent coronary angiography with DES placement. During angiography, aortic insufficiency was noted. Transesophageal echocardiogram confirmed intimal thickening of the aortic root with aortic regurgitation. She was diagnosed with TAK, started on high-dose steroids, and transferred to a tertiary care center for rheumatology consultation. This patient's clinical course raised several questions regarding surgical intervention in TAK. The optimal timing of surgery and preferred approach (endovascular intervention vs coronary artery bypass grafting [CABG]) were specifically critiqued. While endovascular intervention (PCI with angioplasty or stent) is typically less invasive than CABG, it may be associated with a higher risk of postsurgical re-stenosis and studies are conflicting regarding the optimal approach. Further research is necessary to determine the long-term efficacy and safety of these interventions, as well as their timing in the overall management plan.</p>","PeriodicalId":16198,"journal":{"name":"Journal of investigative medicine high impact case reports","volume":"13 ","pages":"23247096251342427"},"PeriodicalIF":0.8000,"publicationDate":"2025-01-01","publicationTypes":"Journal Article","fieldsOfStudy":null,"isOpenAccess":false,"openAccessPdf":"https://www.ncbi.nlm.nih.gov/pmc/articles/PMC12106977/pdf/","citationCount":"0","resultStr":null,"platform":"Semanticscholar","paperid":null,"PeriodicalName":"Journal of investigative medicine high impact case reports","FirstCategoryId":"1085","ListUrlMain":"https://doi.org/10.1177/23247096251342427","RegionNum":0,"RegionCategory":null,"ArticlePicture":[],"TitleCN":null,"AbstractTextCN":null,"PMCID":null,"EPubDate":"2025/5/26 0:00:00","PubModel":"Epub","JCR":"Q3","JCRName":"MEDICINE, GENERAL & INTERNAL","Score":null,"Total":0}
引用次数: 0

Abstract

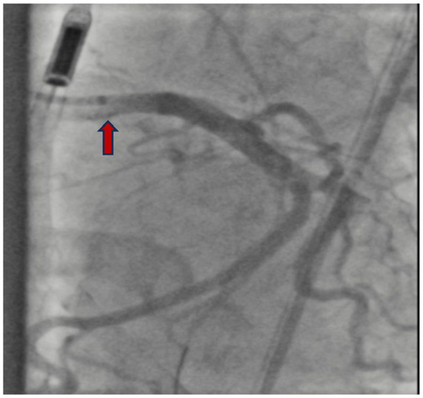
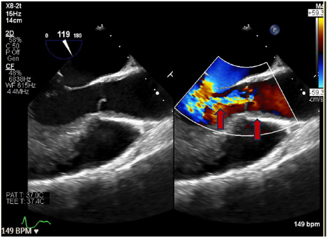
Takayasu's arteritis (TAK) is a rare, large-vessel vasculitis that typically involves the aorta and its major branches. Patients may experience coronary involvement, most commonly the left main coronary ostia. Patients with coronary artery occlusion often require emergent revascularization; however, there is debate regarding the optimal timing and type of surgical intervention in the setting of TAK. Herein we describe a 32-year-old female presenting with non-ST elevation myocardial infarction (NSTEMI) who underwent percutaneous intervention (PCI) with drug-eluting stent (DES) placement and was subsequently diagnosed with TAK. A 32-year-old female presented to the emergency department with chest pressure and dyspnea. Her electrocardiogram findings and troponin elevation were consistent with NSTEMI and she underwent coronary angiography with DES placement. During angiography, aortic insufficiency was noted. Transesophageal echocardiogram confirmed intimal thickening of the aortic root with aortic regurgitation. She was diagnosed with TAK, started on high-dose steroids, and transferred to a tertiary care center for rheumatology consultation. This patient's clinical course raised several questions regarding surgical intervention in TAK. The optimal timing of surgery and preferred approach (endovascular intervention vs coronary artery bypass grafting [CABG]) were specifically critiqued. While endovascular intervention (PCI with angioplasty or stent) is typically less invasive than CABG, it may be associated with a higher risk of postsurgical re-stenosis and studies are conflicting regarding the optimal approach. Further research is necessary to determine the long-term efficacy and safety of these interventions, as well as their timing in the overall management plan.

Abstract Image

Abstract Image

Abstract Image

冠状动脉炎:一例报告及最佳手术干预的文献回顾。
高松动脉炎(Takayasu’s arteritis, TAK)是一种罕见的大血管性血管炎,通常累及主动脉及其主要分支。患者可能出现冠状动脉受累,最常见的是左主干冠状动脉开口。冠状动脉闭塞患者经常需要紧急血运重建术;然而,关于TAK的最佳时机和手术干预类型存在争议。在此,我们描述了一位32岁的女性,以非st段抬高型心肌梗死(NSTEMI)为表现,她接受了药物洗脱支架(DES)置入的经皮介入治疗(PCI),随后被诊断为TAK。一名32岁女性因胸压和呼吸困难就诊于急诊科。她的心电图结果和肌钙蛋白升高与NSTEMI一致,她接受了冠状动脉造影并放置DES。造影时发现主动脉不全。经食管超声心动图证实主动脉根部内膜增厚伴主动脉反流。她被诊断为TAK,开始服用大剂量类固醇,并转到三级保健中心进行风湿病咨询。该患者的临床过程提出了几个关于TAK手术干预的问题。手术的最佳时机和首选方法(血管内介入vs冠状动脉旁路移植术[CABG])特别批评。虽然血管内介入治疗(PCI +血管成形术或支架)的侵入性通常小于CABG,但它可能与术后再狭窄的高风险相关,并且关于最佳方法的研究存在矛盾。需要进一步的研究来确定这些干预措施的长期有效性和安全性,以及它们在总体管理计划中的时机。
本文章由计算机程序翻译,如有差异,请以英文原文为准。
求助全文
约1分钟内获得全文 求助全文
来源期刊
CiteScore
1.90
自引率
0.00%
发文量
165
审稿时长
12 weeks
期刊介绍: The AFMR is committed to enhancing the training and career development of our members and to furthering its mission to facilitate the conduct of research to improve medical care. Case reports represent an important avenue for trainees (interns, residents, and fellows) and early-stage faculty to demonstrate productive, scholarly activity.
×
引用
GB/T 7714-2015
复制
MLA
复制
APA
复制
导出至
BibTeX EndNote RefMan NoteFirst NoteExpress
×
提示
您的信息不完整,为了账户安全,请先补充。
现在去补充
×
提示
您因"违规操作"
具体请查看互助需知
我知道了
×
提示
确定
请完成安全验证×
copy
已复制链接
快去分享给好友吧!
我知道了
右上角分享
点击右上角分享
0
联系我们:info@booksci.cn Book学术提供免费学术资源搜索服务,方便国内外学者检索中英文文献。致力于提供最便捷和优质的服务体验。 Copyright © 2023 布克学术 All rights reserved.
京ICP备2023020795号-1
ghs 京公网安备 11010802042870号
Book学术文献互助
Book学术文献互助群
群 号:604180095
Book学术官方微信