"Colon"ised by the unexpected: a case of extrauterine epithelioid trophoblastic tumour.

IF 2.3 3区 医学 Q2 PATHOLOGY
Shalini Radhakrishnan, Nischitha N Suvarna, Saraswathy Sreeram, Srirama Bhat
{"title":"\"Colon\"ised by the unexpected: a case of extrauterine epithelioid trophoblastic tumour.","authors":"Shalini Radhakrishnan, Nischitha N Suvarna, Saraswathy Sreeram, Srirama Bhat","doi":"10.1186/s13000-025-01617-2","DOIUrl":null,"url":null,"abstract":"<p><strong>Introduction: </strong>Extrauterine epithelioid trophoblastic tumour is an exceedingly rare and aggressive form of gestational trophoblastic disease that arises outside the uterus and is characterised by the proliferation of intermediate trophoblastic cells. Unlike more common forms of gestational trophoblastic diseases, such as hydatidiform moles and choriocarcinoma, this entity presents unique diagnostic and therapeutic challenges due to its atypical location and clinical features. Thus far, no documented cases of this entity have been reported in the colon.</p><p><strong>Case presentation: </strong>We report the case of a 42-year-old woman who presented with complaints of lower abdominal pain and a palpable mass in the left iliac fossa, initially suspected to be an ectopic pregnancy. On radiological evaluation, a provisional diagnosis of gastrointestinal stromal tumour was made, following which the patient underwent a left colectomy with resection and anastomosis, and the excised specimen on comprehensive histopathological and immunohistochemical analysis was diagnosed as a case of extrauterine epithelioid trophoblastic tumour. However, the patient's condition deteriorated, and she succumbed to the disease one month after the diagnosis.</p><p><strong>Conclusion: </strong>The rarity of extrauterine trophoblastic tumours contributes to limited clinical experience and treatment protocols, resulting in poor prognoses. This case report highlights the importance of histopathological examination for a confirmatory diagnosis, ensuring timely identification and improving patient outcomes.</p>","PeriodicalId":11237,"journal":{"name":"Diagnostic Pathology","volume":"20 1","pages":"61"},"PeriodicalIF":2.3000,"publicationDate":"2025-05-24","publicationTypes":"Journal Article","fieldsOfStudy":null,"isOpenAccess":false,"openAccessPdf":"https://www.ncbi.nlm.nih.gov/pmc/articles/PMC12102896/pdf/","citationCount":"0","resultStr":null,"platform":"Semanticscholar","paperid":null,"PeriodicalName":"Diagnostic Pathology","FirstCategoryId":"3","ListUrlMain":"https://doi.org/10.1186/s13000-025-01617-2","RegionNum":3,"RegionCategory":"医学","ArticlePicture":[],"TitleCN":null,"AbstractTextCN":null,"PMCID":null,"EPubDate":"","PubModel":"","JCR":"Q2","JCRName":"PATHOLOGY","Score":null,"Total":0}
引用次数: 0

Abstract

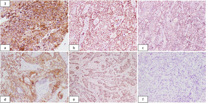
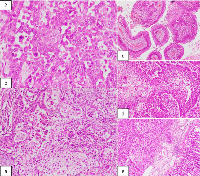
Introduction: Extrauterine epithelioid trophoblastic tumour is an exceedingly rare and aggressive form of gestational trophoblastic disease that arises outside the uterus and is characterised by the proliferation of intermediate trophoblastic cells. Unlike more common forms of gestational trophoblastic diseases, such as hydatidiform moles and choriocarcinoma, this entity presents unique diagnostic and therapeutic challenges due to its atypical location and clinical features. Thus far, no documented cases of this entity have been reported in the colon.

Case presentation: We report the case of a 42-year-old woman who presented with complaints of lower abdominal pain and a palpable mass in the left iliac fossa, initially suspected to be an ectopic pregnancy. On radiological evaluation, a provisional diagnosis of gastrointestinal stromal tumour was made, following which the patient underwent a left colectomy with resection and anastomosis, and the excised specimen on comprehensive histopathological and immunohistochemical analysis was diagnosed as a case of extrauterine epithelioid trophoblastic tumour. However, the patient's condition deteriorated, and she succumbed to the disease one month after the diagnosis.

Conclusion: The rarity of extrauterine trophoblastic tumours contributes to limited clinical experience and treatment protocols, resulting in poor prognoses. This case report highlights the importance of histopathological examination for a confirmatory diagnosis, ensuring timely identification and improving patient outcomes.

Abstract Image

Abstract Image

Abstract Image

出乎意料的“结肠”:一例子宫外上皮样滋养细胞肿瘤。
引言:子宫外上皮样滋养细胞肿瘤是一种极为罕见的侵袭性妊娠滋养细胞疾病,发生于子宫外,以中间滋养细胞增殖为特征。不同于更常见的妊娠滋养细胞疾病,如包膜样痣和绒毛膜癌,由于其不典型的位置和临床特征,这种疾病呈现出独特的诊断和治疗挑战。到目前为止,还没有在结肠中报告这种实体的记录病例。病例介绍:我们报告一例42岁的女性,她以下腹疼痛和左侧髂窝可触及的肿块为主诉,最初怀疑是异位妊娠。经影像学检查,初步诊断为胃肠道间质瘤,随后行左结肠切除术切除吻合,经综合组织病理学及免疫组化分析,切除标本诊断为子宫外上皮样滋养细胞瘤。然而,病人的病情恶化,她在诊断一个月后死于该病。结论:子宫外滋养细胞肿瘤罕见,临床经验和治疗方案有限,预后较差。本病例报告强调了组织病理学检查的重要性,以确认诊断,确保及时识别和改善患者的结果。
本文章由计算机程序翻译,如有差异,请以英文原文为准。
求助全文
约1分钟内获得全文 求助全文
来源期刊
Diagnostic Pathology
Diagnostic Pathology 医学-病理学
CiteScore
4.60
自引率
0.00%
发文量
93
审稿时长
1 months
期刊介绍: Diagnostic Pathology is an open access, peer-reviewed, online journal that considers research in surgical and clinical pathology, immunology, and biology, with a special focus on cutting-edge approaches in diagnostic pathology and tissue-based therapy. The journal covers all aspects of surgical pathology, including classic diagnostic pathology, prognosis-related diagnosis (tumor stages, prognosis markers, such as MIB-percentage, hormone receptors, etc.), and therapy-related findings. The journal also focuses on the technological aspects of pathology, including molecular biology techniques, morphometry aspects (stereology, DNA analysis, syntactic structure analysis), communication aspects (telecommunication, virtual microscopy, virtual pathology institutions, etc.), and electronic education and quality assurance (for example interactive publication, on-line references with automated updating, etc.).
×
引用
GB/T 7714-2015
复制
MLA
复制
APA
复制
导出至
BibTeX EndNote RefMan NoteFirst NoteExpress
×
提示
您的信息不完整,为了账户安全,请先补充。
现在去补充
×
提示
您因"违规操作"
具体请查看互助需知
我知道了
×
提示
确定
请完成安全验证×
copy
已复制链接
快去分享给好友吧!
我知道了
右上角分享
点击右上角分享
0
联系我们:info@booksci.cn Book学术提供免费学术资源搜索服务,方便国内外学者检索中英文文献。致力于提供最便捷和优质的服务体验。 Copyright © 2023 布克学术 All rights reserved.
京ICP备2023020795号-1
ghs 京公网安备 11010802042870号
Book学术文献互助
Book学术文献互助群
群 号:604180095
Book学术官方微信