Therapeutic potential of young plasma in reversing age-related liver inflammation via modulation of NLRP3 inflammasome and necroptosis.

IF 4.1 4区 医学 Q1 GERIATRICS & GERONTOLOGY
Burcu Baba, Taha Ceylani, Hikmet Taner Teker, Seda Keskin, Aysun Inan Genc, Rafig Gurbanov, Eda Acikgoz
{"title":"Therapeutic potential of young plasma in reversing age-related liver inflammation via modulation of NLRP3 inflammasome and necroptosis.","authors":"Burcu Baba, Taha Ceylani, Hikmet Taner Teker, Seda Keskin, Aysun Inan Genc, Rafig Gurbanov, Eda Acikgoz","doi":"10.1007/s10522-025-10260-9","DOIUrl":null,"url":null,"abstract":"<p><p>The phenomenon of inflammaging, characterized by an increase in low-grade chronic inflammation, is closely associated with diseases related to liver dysfunction. This study investigated daily plasma exchange between 5-week-old and 24-month-old Sprague Dawley rats for 30 days, focusing on protein secondary structures, NLRP3 inflammasome, and necroptosis. Conformation changes in protein secondary structures were identified by infrared spectroscopy-based pattern recognition analysis. Liver biopsies with histochemical and immunohistochemical staining were used to assess molecules associated with inflammation, necroptosis and NLRP3 inflammasome complex. Expression levels of NLRP3 components were determined by qPCR. Enhanced random coils, 3<sub>10</sub> helices, β-turns, and loop structures were identified in old rats and young rats with old plasma. Young rats and old rats with young plasma displayed higher α-helices and β-sheet structures. Young rats with old plasma showed increased NLRP3, ASC, caspase-1, IL-1β, and IL-18 mRNA levels, indicating an inflammatory response. Whereas old rats with young plasma exhibited lower inflammation levels. Histological evaluations revealed that young rats receiving aged plasma showed significantly increased levels of NLRP3, ASC, caspase-1, IL-1β, TNF-α, VEGFR2, RIPK1, and MLKL immunoreactivity, whereas decreased immunoreactivity in aged rats receiving young plasma. These findings suggest that young plasma reduces NLRP3 inflammasome activation and necroptosis in aged rats.</p>","PeriodicalId":8909,"journal":{"name":"Biogerontology","volume":"26 3","pages":"117"},"PeriodicalIF":4.1000,"publicationDate":"2025-05-26","publicationTypes":"Journal Article","fieldsOfStudy":null,"isOpenAccess":false,"openAccessPdf":"https://www.ncbi.nlm.nih.gov/pmc/articles/PMC12106525/pdf/","citationCount":"0","resultStr":null,"platform":"Semanticscholar","paperid":null,"PeriodicalName":"Biogerontology","FirstCategoryId":"3","ListUrlMain":"https://doi.org/10.1007/s10522-025-10260-9","RegionNum":4,"RegionCategory":"医学","ArticlePicture":[],"TitleCN":null,"AbstractTextCN":null,"PMCID":null,"EPubDate":"","PubModel":"","JCR":"Q1","JCRName":"GERIATRICS & GERONTOLOGY","Score":null,"Total":0}
引用次数: 0

Abstract

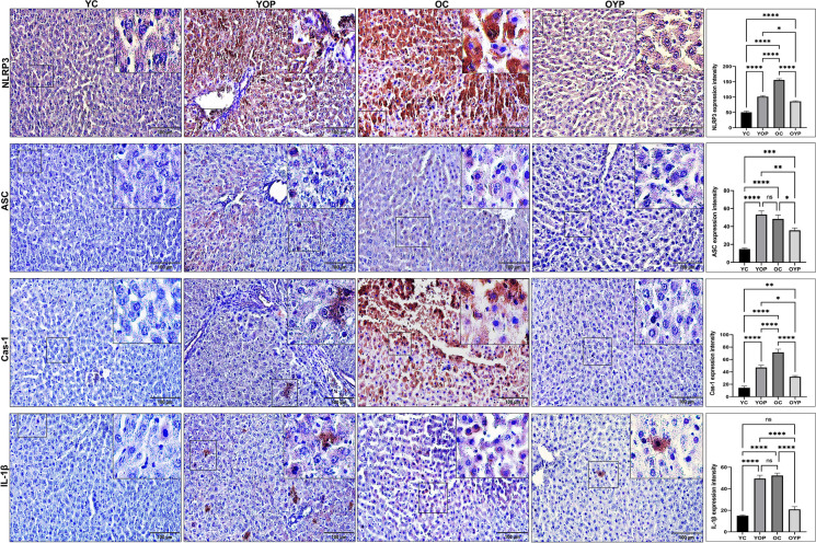
The phenomenon of inflammaging, characterized by an increase in low-grade chronic inflammation, is closely associated with diseases related to liver dysfunction. This study investigated daily plasma exchange between 5-week-old and 24-month-old Sprague Dawley rats for 30 days, focusing on protein secondary structures, NLRP3 inflammasome, and necroptosis. Conformation changes in protein secondary structures were identified by infrared spectroscopy-based pattern recognition analysis. Liver biopsies with histochemical and immunohistochemical staining were used to assess molecules associated with inflammation, necroptosis and NLRP3 inflammasome complex. Expression levels of NLRP3 components were determined by qPCR. Enhanced random coils, 310 helices, β-turns, and loop structures were identified in old rats and young rats with old plasma. Young rats and old rats with young plasma displayed higher α-helices and β-sheet structures. Young rats with old plasma showed increased NLRP3, ASC, caspase-1, IL-1β, and IL-18 mRNA levels, indicating an inflammatory response. Whereas old rats with young plasma exhibited lower inflammation levels. Histological evaluations revealed that young rats receiving aged plasma showed significantly increased levels of NLRP3, ASC, caspase-1, IL-1β, TNF-α, VEGFR2, RIPK1, and MLKL immunoreactivity, whereas decreased immunoreactivity in aged rats receiving young plasma. These findings suggest that young plasma reduces NLRP3 inflammasome activation and necroptosis in aged rats.

Abstract Image

Abstract Image

Abstract Image

年轻血浆通过调节NLRP3炎性体和坏死下垂逆转年龄相关性肝脏炎症的治疗潜力。
以低度慢性炎症增加为特征的炎症现象与肝功能障碍相关疾病密切相关。本研究对5周龄和24月龄的Sprague Dawley大鼠进行了为期30天的每日血浆交换,重点研究了蛋白质二级结构、NLRP3炎性体和坏死性上睑垂。利用基于红外光谱的模式识别分析方法对蛋白质二级结构的构象变化进行了识别。采用组织化学和免疫组织化学染色进行肝活检,评估与炎症、坏死下垂和NLRP3炎性小体复合物相关的分子。采用qPCR检测NLRP3各组分的表达水平。在老年大鼠和老年血浆的年轻大鼠中发现了增强的随机线圈、310螺旋、β-匝和环状结构。年轻血浆的幼龄大鼠和老年大鼠表现出更高的α-螺旋和β-片结构。老龄血浆的年轻大鼠NLRP3、ASC、caspase-1、IL-1β和IL-18 mRNA水平升高,表明炎症反应。而有年轻血浆的老年大鼠则表现出较低的炎症水平。组织学评价显示,接受老龄血浆的幼龄大鼠NLRP3、ASC、caspase-1、IL-1β、TNF-α、VEGFR2、RIPK1和MLKL的免疫反应性显著升高,而接受老龄血浆的幼龄大鼠免疫反应性则明显降低。这些发现表明,年轻血浆可减少老龄大鼠NLRP3炎性体的激活和坏死性下垂。
本文章由计算机程序翻译,如有差异,请以英文原文为准。
求助全文
约1分钟内获得全文 求助全文
来源期刊
Biogerontology
Biogerontology 医学-老年医学
CiteScore
8.00
自引率
4.40%
发文量
54
审稿时长
>12 weeks
期刊介绍: The journal Biogerontology offers a platform for research which aims primarily at achieving healthy old age accompanied by improved longevity. The focus is on efforts to understand, prevent, cure or minimize age-related impairments. Biogerontology provides a peer-reviewed forum for publishing original research data, new ideas and discussions on modulating the aging process by physical, chemical and biological means, including transgenic and knockout organisms; cell culture systems to develop new approaches and health care products for maintaining or recovering the lost biochemical functions; immunology, autoimmunity and infection in aging; vertebrates, invertebrates, micro-organisms and plants for experimental studies on genetic determinants of aging and longevity; biodemography and theoretical models linking aging and survival kinetics.
×
引用
GB/T 7714-2015
复制
MLA
复制
APA
复制
导出至
BibTeX EndNote RefMan NoteFirst NoteExpress
×
提示
您的信息不完整,为了账户安全,请先补充。
现在去补充
×
提示
您因"违规操作"
具体请查看互助需知
我知道了
×
提示
确定
请完成安全验证×
copy
已复制链接
快去分享给好友吧!
我知道了
右上角分享
点击右上角分享
0
联系我们:info@booksci.cn Book学术提供免费学术资源搜索服务,方便国内外学者检索中英文文献。致力于提供最便捷和优质的服务体验。 Copyright © 2023 布克学术 All rights reserved.
京ICP备2023020795号-1
ghs 京公网安备 11010802042870号
Book学术文献互助
Book学术文献互助群
群 号:604180095
Book学术官方微信