A case of hospital-acquired pneumonia associated with Chryseobacterium indologenes infection in a patient with HIV infection and review of the literature.

IF 2.5 4区 医学 Q3 INFECTIOUS DISEASES
Vincenza Chiara Mazzola, Eleonora Bono, Luca Pipitò, Benedetta Romanin, Claudia Gioè, Antonio Anastasia, Sara Cannella, Roberta Virruso, Celestino Bonura, Antonio Cascio
{"title":"A case of hospital-acquired pneumonia associated with Chryseobacterium indologenes infection in a patient with HIV infection and review of the literature.","authors":"Vincenza Chiara Mazzola, Eleonora Bono, Luca Pipitò, Benedetta Romanin, Claudia Gioè, Antonio Anastasia, Sara Cannella, Roberta Virruso, Celestino Bonura, Antonio Cascio","doi":"10.1186/s12981-025-00749-1","DOIUrl":null,"url":null,"abstract":"<p><strong>Background: </strong>Chryseobacterium indologenes is an opportunistic, multidrug-resistant Gram-negative bacillus increasingly recognized as a cause of hospital-acquired infections, particularly in immunocompromised patients. Although rare, its intrinsic resistance to beta-lactams and its ability to colonize medical devices pose significant therapeutic challenges.</p><p><strong>Case presentation: </strong>We describe a case of C. indologenes hospital-acquired pneumonia in a 43-year-old HIV-positive patient with multiple comorbidities, including Kaposi sarcoma, diabetes mellitus, and chronic kidney disease requiring hemodialysis. The patient was initially admitted with fever and elevated inflammatory markers, and empirical broad-spectrum antibiotic therapy was initiated. Despite initial improvement, the patient developed respiratory failure, requiring oxygen therapy. A respiratory panel identified Rhinovirus, while sputum culture revealed C. indologenes, resistant to multiple antibiotics but susceptible to levofloxacin. Targeted therapy led to clinical improvement. However, the course was complicated by Clostridioides difficile-associated diarrhea, followed by fatal sepsis due to Klebsiella pneumoniae. Our review of the literature identified 71 reported cases, with bacteremia (51%) and pneumonia (29%) as the most common clinical presentations. Medical devices and prolonged antibiotic exposure were key risk factors. While C. indologenes is intrinsically resistant to beta-lactams and carbapenems, fluoroquinolones and trimethoprim-sulfamethoxazole demonstrated efficacy in most cases. Emerging therapies, such as cefiderocol, may provide additional options for multidrug-resistant strains. This case highlights the critical need for accurate microbial identification, targeted therapy, and vigilant antimicrobial stewardship to improve outcomes in vulnerable patient populations.</p><p><strong>Conclusion: </strong>C. indologenes infections remain rare but clinically significant in hospitalized patients with immune dysfunction. The pathogen's multidrug resistance profile complicates treatment, necessitating early identification and targeted antimicrobial therapy. Fluoroquinolones, trimethoprim-sulfamethoxazole, and cefiderocol may serve as effective treatment options, emphasizing the importance of susceptibility-guided management.</p>","PeriodicalId":7503,"journal":{"name":"AIDS Research and Therapy","volume":"22 1","pages":"53"},"PeriodicalIF":2.5000,"publicationDate":"2025-05-23","publicationTypes":"Journal Article","fieldsOfStudy":null,"isOpenAccess":false,"openAccessPdf":"https://www.ncbi.nlm.nih.gov/pmc/articles/PMC12102930/pdf/","citationCount":"0","resultStr":null,"platform":"Semanticscholar","paperid":null,"PeriodicalName":"AIDS Research and Therapy","FirstCategoryId":"3","ListUrlMain":"https://doi.org/10.1186/s12981-025-00749-1","RegionNum":4,"RegionCategory":"医学","ArticlePicture":[],"TitleCN":null,"AbstractTextCN":null,"PMCID":null,"EPubDate":"","PubModel":"","JCR":"Q3","JCRName":"INFECTIOUS DISEASES","Score":null,"Total":0}
引用次数: 0

Abstract

Background: Chryseobacterium indologenes is an opportunistic, multidrug-resistant Gram-negative bacillus increasingly recognized as a cause of hospital-acquired infections, particularly in immunocompromised patients. Although rare, its intrinsic resistance to beta-lactams and its ability to colonize medical devices pose significant therapeutic challenges.

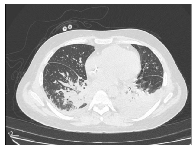
Case presentation: We describe a case of C. indologenes hospital-acquired pneumonia in a 43-year-old HIV-positive patient with multiple comorbidities, including Kaposi sarcoma, diabetes mellitus, and chronic kidney disease requiring hemodialysis. The patient was initially admitted with fever and elevated inflammatory markers, and empirical broad-spectrum antibiotic therapy was initiated. Despite initial improvement, the patient developed respiratory failure, requiring oxygen therapy. A respiratory panel identified Rhinovirus, while sputum culture revealed C. indologenes, resistant to multiple antibiotics but susceptible to levofloxacin. Targeted therapy led to clinical improvement. However, the course was complicated by Clostridioides difficile-associated diarrhea, followed by fatal sepsis due to Klebsiella pneumoniae. Our review of the literature identified 71 reported cases, with bacteremia (51%) and pneumonia (29%) as the most common clinical presentations. Medical devices and prolonged antibiotic exposure were key risk factors. While C. indologenes is intrinsically resistant to beta-lactams and carbapenems, fluoroquinolones and trimethoprim-sulfamethoxazole demonstrated efficacy in most cases. Emerging therapies, such as cefiderocol, may provide additional options for multidrug-resistant strains. This case highlights the critical need for accurate microbial identification, targeted therapy, and vigilant antimicrobial stewardship to improve outcomes in vulnerable patient populations.

Conclusion: C. indologenes infections remain rare but clinically significant in hospitalized patients with immune dysfunction. The pathogen's multidrug resistance profile complicates treatment, necessitating early identification and targeted antimicrobial therapy. Fluoroquinolones, trimethoprim-sulfamethoxazole, and cefiderocol may serve as effective treatment options, emphasizing the importance of susceptibility-guided management.

Abstract Image

1例医院获得性肺炎合并染红黄杆菌感染的HIV感染患者及文献复习。
背景:吲哚黄杆菌是一种机会性、多重耐药的革兰氏阴性杆菌,越来越被认为是医院获得性感染的原因,特别是在免疫功能低下的患者中。虽然罕见,但其对β -内酰胺的内在抗性及其定植医疗设备的能力构成了重大的治疗挑战。病例介绍:我们描述了一例43岁的hiv阳性患者的医院获得性肺炎,包括卡波西肉瘤、糖尿病和需要血液透析的慢性肾脏疾病。患者最初因发烧和炎症标志物升高而入院,并开始经验性广谱抗生素治疗。尽管最初有所改善,但患者出现呼吸衰竭,需要吸氧治疗。呼吸道小组鉴定了鼻病毒,而痰培养显示吲哚原梭菌,对多种抗生素耐药,但对左氧氟沙星敏感。靶向治疗导致临床改善。然而,该过程因艰难梭菌相关腹泻而复杂化,随后因肺炎克雷伯菌导致致命的败血症。我们回顾了71例报告病例,其中菌血症(51%)和肺炎(29%)是最常见的临床表现。医疗器械和长期接触抗生素是主要的危险因素。虽然吲哚原菌本身对β -内酰胺类和碳青霉烯类具有耐药性,但氟喹诺酮类药物和甲氧苄啶-磺胺甲恶唑在大多数病例中显示出疗效。新兴疗法,如头孢地罗,可能为耐多药菌株提供额外的选择。该病例强调了准确的微生物鉴定、靶向治疗和警惕的抗菌药物管理的迫切需要,以改善弱势患者群体的预后。结论:吲哚原梭菌感染在免疫功能障碍住院患者中虽少见,但具有重要的临床意义。该病原体的多药耐药特征使治疗复杂化,需要早期识别和靶向抗菌治疗。氟喹诺酮类药物、甲氧苄啶-磺胺甲恶唑和头孢地罗可作为有效的治疗选择,强调了敏感性指导管理的重要性。
本文章由计算机程序翻译,如有差异,请以英文原文为准。
求助全文
约1分钟内获得全文 求助全文
来源期刊
AIDS Research and Therapy
AIDS Research and Therapy INFECTIOUS DISEASES-
CiteScore
3.80
自引率
4.50%
发文量
51
审稿时长
16 weeks
期刊介绍: AIDS Research and Therapy publishes articles on basic science, translational, clinical, social, epidemiological, behavioral and educational sciences articles focused on the treatment and prevention of HIV/AIDS, and the search for the cure. The Journal publishes articles on novel and developing treatment strategies for AIDS as well as on the outcomes of established treatment strategies. Original research articles on animal models that form an essential part of the AIDS treatment research are also considered
×
引用
GB/T 7714-2015
复制
MLA
复制
APA
复制
导出至
BibTeX EndNote RefMan NoteFirst NoteExpress
×
提示
您的信息不完整,为了账户安全,请先补充。
现在去补充
×
提示
您因"违规操作"
具体请查看互助需知
我知道了
×
提示
确定
请完成安全验证×
copy
已复制链接
快去分享给好友吧!
我知道了
右上角分享
点击右上角分享
0
联系我们:info@booksci.cn Book学术提供免费学术资源搜索服务,方便国内外学者检索中英文文献。致力于提供最便捷和优质的服务体验。 Copyright © 2023 布克学术 All rights reserved.
京ICP备2023020795号-1
ghs 京公网安备 11010802042870号
Book学术文献互助
Book学术文献互助群
群 号:604180095
Book学术官方微信