Echoes of Dormancy: Anomic Aphasia Unveils Neurocysticercosis Reactivation in a Patient on Semaglutide.

IF 2 Q3 CLINICAL NEUROLOGY
NeuroSci Pub Date : 2025-05-05 DOI:10.3390/neurosci6020040
Marcos Osorio Borjas, Robert J Hernandez, Angelo Lopez-Lacayo, Dalina Laffita Perez, Yanie Oliva, Julio Mercado, Hussain Hussain
{"title":"Echoes of Dormancy: Anomic Aphasia Unveils Neurocysticercosis Reactivation in a Patient on Semaglutide.","authors":"Marcos Osorio Borjas, Robert J Hernandez, Angelo Lopez-Lacayo, Dalina Laffita Perez, Yanie Oliva, Julio Mercado, Hussain Hussain","doi":"10.3390/neurosci6020040","DOIUrl":null,"url":null,"abstract":"<p><p>Neurocysticercosis (NCC), a parasitic infection caused by <i>Taenia solium</i> larvae, remains a leading cause of acquired epilepsy worldwide, particularly in regions with inadequate sanitation and healthcare access. We present a case of NCC reactivation in a 64-year-old female who developed anomic aphasia-a rare manifestation of NCC-decades after her initial diagnosis. The patient's clinical course was complicated by a potential trigger of semaglutide, which potentially attenuated the protective inflammatory response maintained by astrocytes and microglia, leading to the reactivation of dormant cysts. Brain imaging confirmed localized cystic changes, and treatment with antiparasitic agents and corticosteroids led to marked clinical improvement. This case highlights the complexity of NCC reactivation, highlighting the interplay of metabolic, immune, and parasitic factors. It emphasizes the need for vigilance in managing patients with dormant infections and investigating potential risks associated with novel therapeutic agents like GLP-1 receptor agonists. Further research is essential to unravel the mechanisms linking metabolic modulation to parasitic reactivation, offering insights into prevention and treatment strategies.</p>","PeriodicalId":74294,"journal":{"name":"NeuroSci","volume":"6 2","pages":""},"PeriodicalIF":2.0000,"publicationDate":"2025-05-05","publicationTypes":"Journal Article","fieldsOfStudy":null,"isOpenAccess":false,"openAccessPdf":"https://www.ncbi.nlm.nih.gov/pmc/articles/PMC12101238/pdf/","citationCount":"0","resultStr":null,"platform":"Semanticscholar","paperid":null,"PeriodicalName":"NeuroSci","FirstCategoryId":"1085","ListUrlMain":"https://doi.org/10.3390/neurosci6020040","RegionNum":0,"RegionCategory":null,"ArticlePicture":[],"TitleCN":null,"AbstractTextCN":null,"PMCID":null,"EPubDate":"","PubModel":"","JCR":"Q3","JCRName":"CLINICAL NEUROLOGY","Score":null,"Total":0}
引用次数: 0

Abstract

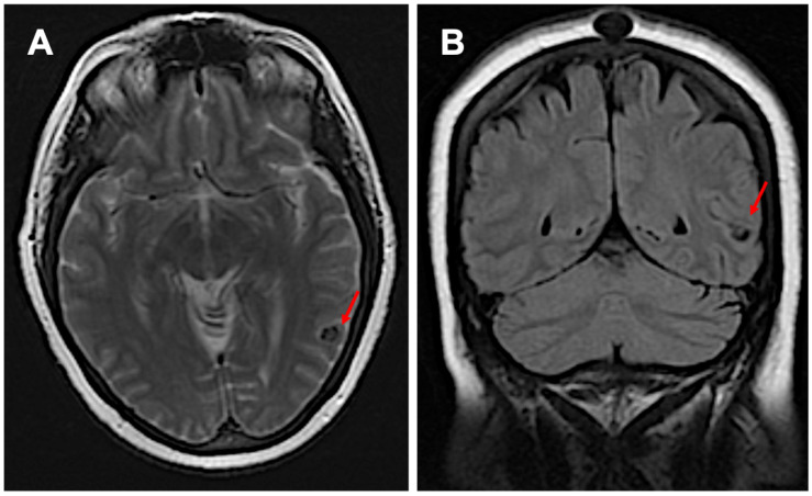
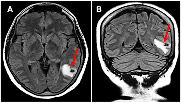
Neurocysticercosis (NCC), a parasitic infection caused by Taenia solium larvae, remains a leading cause of acquired epilepsy worldwide, particularly in regions with inadequate sanitation and healthcare access. We present a case of NCC reactivation in a 64-year-old female who developed anomic aphasia-a rare manifestation of NCC-decades after her initial diagnosis. The patient's clinical course was complicated by a potential trigger of semaglutide, which potentially attenuated the protective inflammatory response maintained by astrocytes and microglia, leading to the reactivation of dormant cysts. Brain imaging confirmed localized cystic changes, and treatment with antiparasitic agents and corticosteroids led to marked clinical improvement. This case highlights the complexity of NCC reactivation, highlighting the interplay of metabolic, immune, and parasitic factors. It emphasizes the need for vigilance in managing patients with dormant infections and investigating potential risks associated with novel therapeutic agents like GLP-1 receptor agonists. Further research is essential to unravel the mechanisms linking metabolic modulation to parasitic reactivation, offering insights into prevention and treatment strategies.

Abstract Image

Abstract Image

休眠的回声:在服用Semaglutide的患者中,失语症揭示了神经囊虫病的再激活。
神经囊虫病(NCC)是一种由猪带绦虫幼虫引起的寄生虫感染,仍然是世界范围内获得性癫痫的主要原因,特别是在卫生设施和卫生保健服务不足的地区。我们报告了一个64岁女性NCC再激活的病例,她在最初诊断几十年后患上了失语症,这是一种罕见的NCC表现。患者的临床过程因西马鲁肽的潜在触发而复杂化,它可能减弱星形胶质细胞和小胶质细胞维持的保护性炎症反应,导致休眠囊肿的重新激活。脑成像证实了局限性囊性改变,抗寄生虫药物和皮质类固醇治疗导致了显着的临床改善。该病例突出了NCC再激活的复杂性,突出了代谢、免疫和寄生因素的相互作用。它强调在管理潜伏性感染患者时需要保持警惕,并调查与GLP-1受体激动剂等新型治疗药物相关的潜在风险。进一步的研究是必要的,以揭示代谢调节与寄生再激活的机制,为预防和治疗策略提供见解。
本文章由计算机程序翻译,如有差异,请以英文原文为准。
求助全文
约1分钟内获得全文 求助全文
来源期刊
自引率
0.00%
发文量
0
审稿时长
11 weeks
×
引用
GB/T 7714-2015
复制
MLA
复制
APA
复制
导出至
BibTeX EndNote RefMan NoteFirst NoteExpress
×
提示
您的信息不完整,为了账户安全,请先补充。
现在去补充
×
提示
您因"违规操作"
具体请查看互助需知
我知道了
×
提示
确定
请完成安全验证×
copy
已复制链接
快去分享给好友吧!
我知道了
右上角分享
点击右上角分享
0
联系我们:info@booksci.cn Book学术提供免费学术资源搜索服务,方便国内外学者检索中英文文献。致力于提供最便捷和优质的服务体验。 Copyright © 2023 布克学术 All rights reserved.
京ICP备2023020795号-1
ghs 京公网安备 11010802042870号
Book学术文献互助
Book学术文献互助群
群 号:604180095
Book学术官方微信