Acute Abdominal Pain with Obstructing Trichobezoar: A Pediatric Case of Rapunzel Syndrome Diagnosed in a Pediatric Emergency Department.

IF 1.4 Q3 PEDIATRICS
Sung-Ha Kim, Jong-In Lee, Soohyun Park, So-Hyun Paek
{"title":"Acute Abdominal Pain with Obstructing Trichobezoar: A Pediatric Case of Rapunzel Syndrome Diagnosed in a Pediatric Emergency Department.","authors":"Sung-Ha Kim, Jong-In Lee, Soohyun Park, So-Hyun Paek","doi":"10.3390/pediatric17030053","DOIUrl":null,"url":null,"abstract":"<p><strong>Introduction: </strong>Acute abdominal pain is a prevalent complaint in pediatric emergency departments. Primary care physicians can find it challenging to treat such pain and, in particular, to determine whether it requires emergent surgical intervention. Acute appendicitis is the most common surgical cause of abdominal pain, but it is important to understand that other rare conditions can also be life-threatening.</p><p><strong>Case presentation: </strong>We report the case of a 6-year-old girl who presented to our pediatric emergency center with complaints of acute abdominal pain, vomiting, and diarrhea. She had no notable medical history, including perinatal, surgical, or psychiatric disorders. After finding a bezoar-like structure through a combined enteritis CT scan, reassessing the child's dietary concerns revealed that the child had experienced symptoms of trichophagia for approximately 3 to 4 years. Enterotomy and the removal of the bezoar were successfully performed. A pediatric psychiatric consultation was carried out to prevent further trichophagia-induced complications.</p><p><strong>Conclusions: </strong>Despite our patient's relatively young age and the failure to obtain a history of trichophagia at the onset, we successfully diagnosed a rare condition called Rapunzel syndrome. Although several cases of this condition have been reported by pediatric surgeons, we emphasize the role of physicians in pediatric emergency departments when examining children with this rare syndrome.</p>","PeriodicalId":45251,"journal":{"name":"Pediatric Reports","volume":"17 3","pages":""},"PeriodicalIF":1.4000,"publicationDate":"2025-04-30","publicationTypes":"Journal Article","fieldsOfStudy":null,"isOpenAccess":false,"openAccessPdf":"https://www.ncbi.nlm.nih.gov/pmc/articles/PMC12101168/pdf/","citationCount":"0","resultStr":null,"platform":"Semanticscholar","paperid":null,"PeriodicalName":"Pediatric Reports","FirstCategoryId":"1085","ListUrlMain":"https://doi.org/10.3390/pediatric17030053","RegionNum":0,"RegionCategory":null,"ArticlePicture":[],"TitleCN":null,"AbstractTextCN":null,"PMCID":null,"EPubDate":"","PubModel":"","JCR":"Q3","JCRName":"PEDIATRICS","Score":null,"Total":0}
引用次数: 0

Abstract

Introduction: Acute abdominal pain is a prevalent complaint in pediatric emergency departments. Primary care physicians can find it challenging to treat such pain and, in particular, to determine whether it requires emergent surgical intervention. Acute appendicitis is the most common surgical cause of abdominal pain, but it is important to understand that other rare conditions can also be life-threatening.

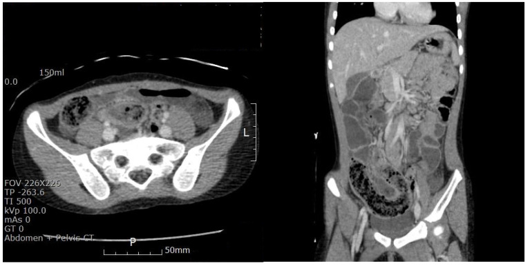
Case presentation: We report the case of a 6-year-old girl who presented to our pediatric emergency center with complaints of acute abdominal pain, vomiting, and diarrhea. She had no notable medical history, including perinatal, surgical, or psychiatric disorders. After finding a bezoar-like structure through a combined enteritis CT scan, reassessing the child's dietary concerns revealed that the child had experienced symptoms of trichophagia for approximately 3 to 4 years. Enterotomy and the removal of the bezoar were successfully performed. A pediatric psychiatric consultation was carried out to prevent further trichophagia-induced complications.

Conclusions: Despite our patient's relatively young age and the failure to obtain a history of trichophagia at the onset, we successfully diagnosed a rare condition called Rapunzel syndrome. Although several cases of this condition have been reported by pediatric surgeons, we emphasize the role of physicians in pediatric emergency departments when examining children with this rare syndrome.

Abstract Image

Abstract Image

Abstract Image

急性腹痛与阻塞毛绒毛:儿童病例莴苣综合征诊断在儿科急诊科。
简介:急性腹痛是儿科急诊科常见的主诉。初级保健医生可能会发现治疗这种疼痛具有挑战性,特别是确定是否需要紧急手术干预。急性阑尾炎是腹痛最常见的手术原因,但重要的是要了解其他罕见的情况也可能危及生命。病例介绍:我们报告一个6岁的女孩,她以急性腹痛、呕吐和腹泻为主诉来到我们的儿科急诊中心。她没有明显的病史,包括围产期、外科或精神疾病。通过联合肠炎CT扫描发现牛黄样结构后,重新评估儿童的饮食问题显示该儿童经历了大约3至4年的食毛症症状。成功地进行了肠切开和牛黄清除。进行了一次儿科精神病学会诊,以防止进一步的拔毛症并发症。结论:尽管我们的患者年龄相对较小,并且在发病时没有获得食毛症的病史,但我们成功地诊断出了一种罕见的疾病,称为Rapunzel综合征。虽然儿科外科医生已经报道了几例这种情况,但我们强调儿科急诊科医生在检查患有这种罕见综合征的儿童时的作用。
本文章由计算机程序翻译,如有差异,请以英文原文为准。
求助全文
约1分钟内获得全文 求助全文
来源期刊
Pediatric Reports
Pediatric Reports PEDIATRICS-
CiteScore
2.10
自引率
0.00%
发文量
55
审稿时长
11 weeks
×
引用
GB/T 7714-2015
复制
MLA
复制
APA
复制
导出至
BibTeX EndNote RefMan NoteFirst NoteExpress
×
提示
您的信息不完整,为了账户安全,请先补充。
现在去补充
×
提示
您因"违规操作"
具体请查看互助需知
我知道了
×
提示
确定
请完成安全验证×
copy
已复制链接
快去分享给好友吧!
我知道了
右上角分享
点击右上角分享
0
联系我们:info@booksci.cn Book学术提供免费学术资源搜索服务,方便国内外学者检索中英文文献。致力于提供最便捷和优质的服务体验。 Copyright © 2023 布克学术 All rights reserved.
京ICP备2023020795号-1
ghs 京公网安备 11010802042870号
Book学术文献互助
Book学术文献互助群
群 号:604180095
Book学术官方微信