Ames Assay Transferred from the Microtiter Plate to the Planar Assay Format.

IF 4.4 Q1 TOXICOLOGY
Katharina Schmidtmann, Johanna Lemme, Gertrud E Morlock
{"title":"Ames Assay Transferred from the Microtiter Plate to the Planar Assay Format.","authors":"Katharina Schmidtmann, Johanna Lemme, Gertrud E Morlock","doi":"10.3390/jox15030067","DOIUrl":null,"url":null,"abstract":"<p><p>The International Agency for Research on Cancer has studied and classified 1045 potential substances. It is therefore important to develop rapid screening methods to identify the mutagenicity of compounds and, further on, the intensity and number of individual mutagenic substances in complex sample mixtures. The current in vitro Ames assay in the microtiter plate format (MPF) uses a pH-sensitive detection as endpoint, however, acidic substances in complex mixtures may interfere the mutagenicity result. Hence, it was transferred to the planar assay format to be more selective for complex mixture testing. The co-culture of <i>Salmonella</i> Typhimurium strains TA98 and TA100 with an optical density of 0.4 at 600 nm was applied on a high-performance thin-layer chromatography silica gel 60 chromatogram and on-surface incubated for 5 h, which period was limited due to zone diffusion. Various positive controls were tested, and 4-nitrochinolin-<i>N</i>-oxide with a limit of detection of 100 ng was established as a positive control. However, due to the shorter incubation time, no mutagenic compounds were detectable or differentiable in the tested perfumes, herbal teas, margarines, and hand creams. This does not mean that the samples are mutagen-free, but it suggests that further improvements to the bioassay are urgently needed to increase the sensitivity and selectivity of the response. Compared to conventional sum value assays, a planar Ames assay performed on the separated and adsorbed sample components advances toxicology research because mutagenic compounds are separated from interfering molecules due to the integrated separation. It thus would provide a more selective detection of mutagens in complex mixtures and allow testing of large sample volumes or concentrated samples without matrix interference.</p>","PeriodicalId":42356,"journal":{"name":"Journal of Xenobiotics","volume":"15 3","pages":""},"PeriodicalIF":4.4000,"publicationDate":"2025-05-07","publicationTypes":"Journal Article","fieldsOfStudy":null,"isOpenAccess":false,"openAccessPdf":"https://www.ncbi.nlm.nih.gov/pmc/articles/PMC12101383/pdf/","citationCount":"0","resultStr":null,"platform":"Semanticscholar","paperid":null,"PeriodicalName":"Journal of Xenobiotics","FirstCategoryId":"1085","ListUrlMain":"https://doi.org/10.3390/jox15030067","RegionNum":0,"RegionCategory":null,"ArticlePicture":[],"TitleCN":null,"AbstractTextCN":null,"PMCID":null,"EPubDate":"","PubModel":"","JCR":"Q1","JCRName":"TOXICOLOGY","Score":null,"Total":0}
引用次数: 0

Abstract

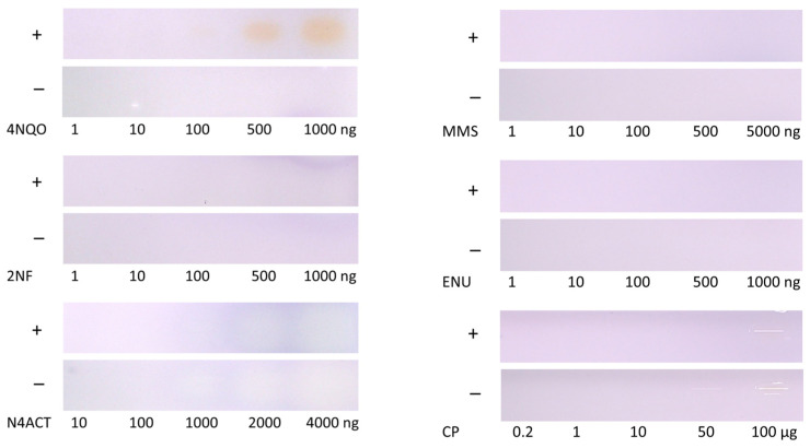
The International Agency for Research on Cancer has studied and classified 1045 potential substances. It is therefore important to develop rapid screening methods to identify the mutagenicity of compounds and, further on, the intensity and number of individual mutagenic substances in complex sample mixtures. The current in vitro Ames assay in the microtiter plate format (MPF) uses a pH-sensitive detection as endpoint, however, acidic substances in complex mixtures may interfere the mutagenicity result. Hence, it was transferred to the planar assay format to be more selective for complex mixture testing. The co-culture of Salmonella Typhimurium strains TA98 and TA100 with an optical density of 0.4 at 600 nm was applied on a high-performance thin-layer chromatography silica gel 60 chromatogram and on-surface incubated for 5 h, which period was limited due to zone diffusion. Various positive controls were tested, and 4-nitrochinolin-N-oxide with a limit of detection of 100 ng was established as a positive control. However, due to the shorter incubation time, no mutagenic compounds were detectable or differentiable in the tested perfumes, herbal teas, margarines, and hand creams. This does not mean that the samples are mutagen-free, but it suggests that further improvements to the bioassay are urgently needed to increase the sensitivity and selectivity of the response. Compared to conventional sum value assays, a planar Ames assay performed on the separated and adsorbed sample components advances toxicology research because mutagenic compounds are separated from interfering molecules due to the integrated separation. It thus would provide a more selective detection of mutagens in complex mixtures and allow testing of large sample volumes or concentrated samples without matrix interference.

Abstract Image

Abstract Image

Abstract Image

艾姆斯分析从微量滴度板转移到平面分析格式。
国际癌症研究机构研究并分类了1045种潜在物质。因此,重要的是发展快速筛选方法,以确定化合物的致突变性,进而确定复杂样品混合物中单个致突变性物质的强度和数量。目前体外微滴板(MPF)的Ames检测使用ph敏感检测作为终点,然而,复杂混合物中的酸性物质可能会干扰致突变性结果。因此,它被转移到平面分析格式,以更有选择性的复杂混合物测试。以600 nm光密度为0.4的鼠伤寒沙门菌TA98和TA100菌株在高效薄层硅胶- 60层色谱上共培养,表面孵育5 h,由于区域扩散,孵育时间有限。以检测限为100 ng的4-硝基喹啉-n -氧化物为阳性对照。然而,由于孵育时间较短,在测试的香水、草药茶、人造黄油和护手霜中没有检测到或区分出致突变化合物。这并不意味着样品不含诱变剂,但它表明,迫切需要进一步改进生物测定,以提高反应的灵敏度和选择性。与传统的和值分析相比,对分离和吸附的样品组分进行平面Ames分析可以推进毒理学研究,因为由于整体分离,诱变化合物与干扰分子分离。因此,它将在复杂混合物中提供更有选择性的诱变剂检测,并允许在没有基质干扰的情况下检测大样本量或浓缩样品。
本文章由计算机程序翻译,如有差异,请以英文原文为准。
求助全文
约1分钟内获得全文 求助全文
来源期刊
CiteScore
5.30
自引率
1.70%
发文量
21
审稿时长
10 weeks
期刊介绍: The Journal of Xenobiotics publishes original studies concerning the beneficial (pharmacology) and detrimental effects (toxicology) of xenobiotics in all organisms. A xenobiotic (“stranger to life”) is defined as a chemical that is not usually found at significant concentrations or expected to reside for long periods in organisms. In addition to man-made chemicals, natural products could also be of interest if they have potent biological properties, special medicinal properties or that a given organism is at risk of exposure in the environment. Topics dealing with abiotic- and biotic-based transformations in various media (xenobiochemistry) and environmental toxicology are also of interest. Areas of interests include the identification of key physical and chemical properties of molecules that predict biological effects and persistence in the environment; the molecular mode of action of xenobiotics; biochemical and physiological interactions leading to change in organism health; pathophysiological interactions of natural and synthetic chemicals; development of biochemical indicators including new “-omics” approaches to identify biomarkers of exposure or effects for xenobiotics.
×
引用
GB/T 7714-2015
复制
MLA
复制
APA
复制
导出至
BibTeX EndNote RefMan NoteFirst NoteExpress
×
提示
您的信息不完整,为了账户安全,请先补充。
现在去补充
×
提示
您因"违规操作"
具体请查看互助需知
我知道了
×
提示
确定
请完成安全验证×
copy
已复制链接
快去分享给好友吧!
我知道了
右上角分享
点击右上角分享
0
联系我们:info@booksci.cn Book学术提供免费学术资源搜索服务,方便国内外学者检索中英文文献。致力于提供最便捷和优质的服务体验。 Copyright © 2023 布克学术 All rights reserved.
京ICP备2023020795号-1
ghs 京公网安备 11010802042870号
Book学术文献互助
Book学术文献互助群
群 号:604180095
Book学术官方微信