Gastroprotective effect of the hydroethanolic extract of geopropolis produced by Melipona subnitida (Meliponinae, Apidae) in Wistar rats.

IF 0.8 4区 农林科学 Q3 VETERINARY SCIENCES
Veterinarni Medicina Pub Date : 2025-04-28 eCollection Date: 2025-04-01 DOI:10.17221/98/2024-VETMED
Jael Soares Batista, Tiago da Silva Teofilo, Helio Noberto de Araujo Junior, Natanael Silva Felix, Kaliane Alessandra Rodrigues de Paiva, Tabatta Arrivabene Neves, Lucas Dos Santos Reboucas, Gerard Vicente Dantas de Medeiros, Kizzy Millenn de Freitas Mendonca Costa, Francisco Antonio Felix Xavier Junior, Giuseppina Negri, Antonio Salatino, Carmem Eusebia Palacios Jara
{"title":"Gastroprotective effect of the hydroethanolic extract of geopropolis produced by <i>Melipona subnitida</i> (Meliponinae, Apidae) in Wistar rats.","authors":"Jael Soares Batista, Tiago da Silva Teofilo, Helio Noberto de Araujo Junior, Natanael Silva Felix, Kaliane Alessandra Rodrigues de Paiva, Tabatta Arrivabene Neves, Lucas Dos Santos Reboucas, Gerard Vicente Dantas de Medeiros, Kizzy Millenn de Freitas Mendonca Costa, Francisco Antonio Felix Xavier Junior, Giuseppina Negri, Antonio Salatino, Carmem Eusebia Palacios Jara","doi":"10.17221/98/2024-VETMED","DOIUrl":null,"url":null,"abstract":"<p><p>The jandaíra bee (<i>Melipona subnitida</i>) is a species native to northeastern Brazil that produces geopropolis, a mixture of clay and propolis, used in folk medicine. Geopropolis has traditionally been used in folk medicine because of its potential therapeutic properties, including antimicrobial, anti-inflammatory, and wound-healing effects. Recent studies have highlighted the rich composition of bioactive compounds such as flavonoids and phenolic acids, contributing to their pharmacological potential. Despite these findings, the gastroprotective properties of geopropolis and the underlying mechanisms remain underexplored and warrant further investigation. Therefore, we aimed to evaluate the gastroprotective effects of a hydroethanolic extract of geopropolis (HEG) produced by <i>M. subnitida</i> in Wistar rats, focusing on its antioxidant activity and the role of its bioactive compounds in preventing gastric mucosal damage. The gastroprotective potential was evaluated in Wistar rats pre-treated with HEG (250, 500, and 1 000 mg/kg, orally) for seven days and subjected to acute gastric lesions with ethanol (0.2 ml/animal, orally). One group of rats that received only distilled water served as the negative control, whereas the other group that received only ethanol served as the positive control. The stomachs were evaluated to determine the following parameters: evidence of macroscopic and histological changes, volume of mucus-containing mucin, stomach pH, and index of ulcerative lesions. Kolmogorov-Smirnov and Levene tests were performed, followed by the Tukey test, with values considered significant at <i>P < </i>0.05. HEG reduced the severity of the ulcerative lesions at all doses tested. Additionally, there was no significant difference in the pH values of gastric secretions, mucus volume, and mucin content in the stomachs of animals pretreated with HEG compared to the negative control group. These results indicate that HEG has gastroprotective activity, which may be related to the presence of phenolic compounds and its high antioxidant activity.</p>","PeriodicalId":23532,"journal":{"name":"Veterinarni Medicina","volume":"70 4","pages":"134-142"},"PeriodicalIF":0.8000,"publicationDate":"2025-04-28","publicationTypes":"Journal Article","fieldsOfStudy":null,"isOpenAccess":false,"openAccessPdf":"https://www.ncbi.nlm.nih.gov/pmc/articles/PMC12093462/pdf/","citationCount":"0","resultStr":null,"platform":"Semanticscholar","paperid":null,"PeriodicalName":"Veterinarni Medicina","FirstCategoryId":"97","ListUrlMain":"https://doi.org/10.17221/98/2024-VETMED","RegionNum":4,"RegionCategory":"农林科学","ArticlePicture":[],"TitleCN":null,"AbstractTextCN":null,"PMCID":null,"EPubDate":"2025/4/1 0:00:00","PubModel":"eCollection","JCR":"Q3","JCRName":"VETERINARY SCIENCES","Score":null,"Total":0}
引用次数: 0

Abstract

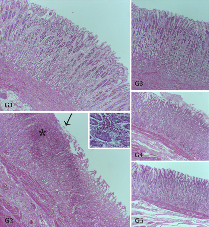
The jandaíra bee (Melipona subnitida) is a species native to northeastern Brazil that produces geopropolis, a mixture of clay and propolis, used in folk medicine. Geopropolis has traditionally been used in folk medicine because of its potential therapeutic properties, including antimicrobial, anti-inflammatory, and wound-healing effects. Recent studies have highlighted the rich composition of bioactive compounds such as flavonoids and phenolic acids, contributing to their pharmacological potential. Despite these findings, the gastroprotective properties of geopropolis and the underlying mechanisms remain underexplored and warrant further investigation. Therefore, we aimed to evaluate the gastroprotective effects of a hydroethanolic extract of geopropolis (HEG) produced by M. subnitida in Wistar rats, focusing on its antioxidant activity and the role of its bioactive compounds in preventing gastric mucosal damage. The gastroprotective potential was evaluated in Wistar rats pre-treated with HEG (250, 500, and 1 000 mg/kg, orally) for seven days and subjected to acute gastric lesions with ethanol (0.2 ml/animal, orally). One group of rats that received only distilled water served as the negative control, whereas the other group that received only ethanol served as the positive control. The stomachs were evaluated to determine the following parameters: evidence of macroscopic and histological changes, volume of mucus-containing mucin, stomach pH, and index of ulcerative lesions. Kolmogorov-Smirnov and Levene tests were performed, followed by the Tukey test, with values considered significant at P < 0.05. HEG reduced the severity of the ulcerative lesions at all doses tested. Additionally, there was no significant difference in the pH values of gastric secretions, mucus volume, and mucin content in the stomachs of animals pretreated with HEG compared to the negative control group. These results indicate that HEG has gastroprotective activity, which may be related to the presence of phenolic compounds and its high antioxidant activity.

Abstract Image

Abstract Image

雪梨蜂胶水乙醇提取物对Wistar大鼠胃保护作用的研究。
jandaíra蜜蜂(Melipona subnitida)是一种原产于巴西东北部的物种,它生产土工蜂胶,一种粘土和蜂胶的混合物,用于民间医学。土产蜂胶传统上被用于民间医学,因为它具有潜在的治疗特性,包括抗菌、抗炎和伤口愈合作用。最近的研究强调了黄酮类化合物和酚酸等生物活性化合物的丰富成分,这有助于它们的药理潜力。尽管有这些发现,土工蜂胶的胃保护特性及其潜在机制仍未得到充分探索,需要进一步研究。因此,本研究旨在评价亚硝酸菌地蜂胶氢乙醇提取物(HEG)对Wistar大鼠的胃保护作用,重点研究其抗氧化活性及其生物活性化合物在防止胃粘膜损伤中的作用。用HEG(250、500和1 000 mg/kg,口服)预处理Wistar大鼠7天,用乙醇(0.2 ml/只,口服)处理急性胃损伤,评估其胃保护潜能。一组只接受蒸馏水的大鼠作为阴性对照,而另一组只接受乙醇的大鼠作为阳性对照。对胃进行评估,以确定以下参数:宏观和组织学变化的证据、含黏液黏蛋白的体积、胃pH值和溃疡病变指数。进行Kolmogorov-Smirnov检验和Levene检验,然后进行Tukey检验,其值认为P 0.05显著。HEG在所有测试剂量下都降低了溃疡病变的严重程度。此外,经HEG预处理的动物胃分泌物pH值、粘液体积和粘蛋白含量与阴性对照组相比无显著差异。这些结果表明,HEG具有胃保护作用,这可能与其酚类化合物的存在和高抗氧化活性有关。
本文章由计算机程序翻译,如有差异,请以英文原文为准。
求助全文
约1分钟内获得全文 求助全文
来源期刊
Veterinarni Medicina
Veterinarni Medicina Veterinary Sciences-兽医学
CiteScore
1.30
自引率
0.00%
发文量
62
审稿时长
18-36 weeks
期刊介绍: The journal Veterinarni Medicina publishes in English original papers, short communications, critical reviews and case reports from all fields of veterinary and biomedical sciences.
×
引用
GB/T 7714-2015
复制
MLA
复制
APA
复制
导出至
BibTeX EndNote RefMan NoteFirst NoteExpress
×
提示
您的信息不完整,为了账户安全,请先补充。
现在去补充
×
提示
您因"违规操作"
具体请查看互助需知
我知道了
×
提示
确定
请完成安全验证×
copy
已复制链接
快去分享给好友吧!
我知道了
右上角分享
点击右上角分享
0
联系我们:info@booksci.cn Book学术提供免费学术资源搜索服务,方便国内外学者检索中英文文献。致力于提供最便捷和优质的服务体验。 Copyright © 2023 布克学术 All rights reserved.
京ICP备2023020795号-1
ghs 京公网安备 11010802042870号
Book学术文献互助
Book学术文献互助群
群 号:604180095
Book学术官方微信