[Application Value of an AI-based Imaging Feature Parameter Model 
for Predicting the Malignancy of Part-solid Pulmonary Nodule].

Q4 Medicine
Mingzhi Lin, Yiming Hui, Bin Li, Peilin Zhao, Zhizhong Zheng, Zhuowen Yang, Zhipeng Su, Yuqi Meng, Tieniu Song
{"title":"[Application Value of an AI-based Imaging Feature Parameter Model \u2029for Predicting the Malignancy of Part-solid Pulmonary Nodule].","authors":"Mingzhi Lin, Yiming Hui, Bin Li, Peilin Zhao, Zhizhong Zheng, Zhuowen Yang, Zhipeng Su, Yuqi Meng, Tieniu Song","doi":"10.3779/j.issn.1009-3419.2025.102.13","DOIUrl":null,"url":null,"abstract":"<p><strong>Background: </strong>Lung cancer is one of the most common malignant tumors worldwide and a major cause of cancer-related deaths. Early-stage lung cancer is often manifested as pulmonary nodules, and accurate assessment of the malignancy risk is crucial for prolonging survival and avoiding overtreatment. This study aims to construct a model based on image feature parameters automatically extracted by artificial intelligence (AI) to evaluate its effectiveness in predicting the malignancy of part-solid nodule (PSN).</p><p><strong>Methods: </strong>This retrospective study analyzed 229 PSN from 222 patients who underwent pulmonary nodule resection at Lanzhou University Second Hospital between October 2020 and February 2025. According to pathological results, 45 cases of benign lesions and precursor glandular lesion were categorized into the non-malignant group, and 184 cases of pulmonary malignancies were categorized into the malignant group. All patients underwent preoperative chest computed tomography (CT), and AI software was used to extract imaging feature parameters. Univariate analysis was used to screen significant variables; variance inflation factor (VIF) was calculated to exclude highly collinear variables, and LASSO regression was further applied to identify key features. Multivariate Logistic regression was used to determine independent risk factors. Based on the selected variables, five models were constructed: Logistic regression, random forest, XGBoost, LightGBM, and support vector machine (SVM). Receiver operating characteristic (ROC) curves were used to assess the performance of the models.</p><p><strong>Results: </strong>The independent risk factors for the malignancy of PSN include roughness (ngtdm), dependence variance (gldm), and short run low gray-level emphasis (glrlm). Logistic regression achieved area under the curves ( AUCs) of 0.86 and 0.89 in the training and testing sets, respectively, showing good performance. XGBoost had AUCs of 0.78 and 0.77, respectively, demonstrating relatively balanced performance, but with lower accuracy. SVM showed an AUC of 0.93 in the training set, which decreased to 0.80 in the testing set, indicating overfitting. LightGBM performed excellently in the training set with an AUC of 0.94, but its performance declined in the testing set, with an AUC of 0.88. In contrast, random forest demonstrated stable performance in both the training and testing sets, with AUCs of 0.89 and 0.91, respectively, exhibiting high stability and excellent generalizability.</p><p><strong>Conclusions: </strong>The random forest model constructed based on independent risk factors demonstrated the best performance in predicting the malignancy of PSN and could provide effective auxiliary predictions for clinicians, supporting individualized treatment decisions.\u2029.</p>","PeriodicalId":39317,"journal":{"name":"中国肺癌杂志","volume":"28 4","pages":"281-290"},"PeriodicalIF":0.0000,"publicationDate":"2025-04-20","publicationTypes":"Journal Article","fieldsOfStudy":null,"isOpenAccess":false,"openAccessPdf":"https://www.ncbi.nlm.nih.gov/pmc/articles/PMC12096090/pdf/","citationCount":"0","resultStr":null,"platform":"Semanticscholar","paperid":null,"PeriodicalName":"中国肺癌杂志","FirstCategoryId":"3","ListUrlMain":"https://doi.org/10.3779/j.issn.1009-3419.2025.102.13","RegionNum":0,"RegionCategory":null,"ArticlePicture":[],"TitleCN":null,"AbstractTextCN":null,"PMCID":null,"EPubDate":"","PubModel":"","JCR":"Q4","JCRName":"Medicine","Score":null,"Total":0}
引用次数: 0

Abstract

Background: Lung cancer is one of the most common malignant tumors worldwide and a major cause of cancer-related deaths. Early-stage lung cancer is often manifested as pulmonary nodules, and accurate assessment of the malignancy risk is crucial for prolonging survival and avoiding overtreatment. This study aims to construct a model based on image feature parameters automatically extracted by artificial intelligence (AI) to evaluate its effectiveness in predicting the malignancy of part-solid nodule (PSN).

Methods: This retrospective study analyzed 229 PSN from 222 patients who underwent pulmonary nodule resection at Lanzhou University Second Hospital between October 2020 and February 2025. According to pathological results, 45 cases of benign lesions and precursor glandular lesion were categorized into the non-malignant group, and 184 cases of pulmonary malignancies were categorized into the malignant group. All patients underwent preoperative chest computed tomography (CT), and AI software was used to extract imaging feature parameters. Univariate analysis was used to screen significant variables; variance inflation factor (VIF) was calculated to exclude highly collinear variables, and LASSO regression was further applied to identify key features. Multivariate Logistic regression was used to determine independent risk factors. Based on the selected variables, five models were constructed: Logistic regression, random forest, XGBoost, LightGBM, and support vector machine (SVM). Receiver operating characteristic (ROC) curves were used to assess the performance of the models.

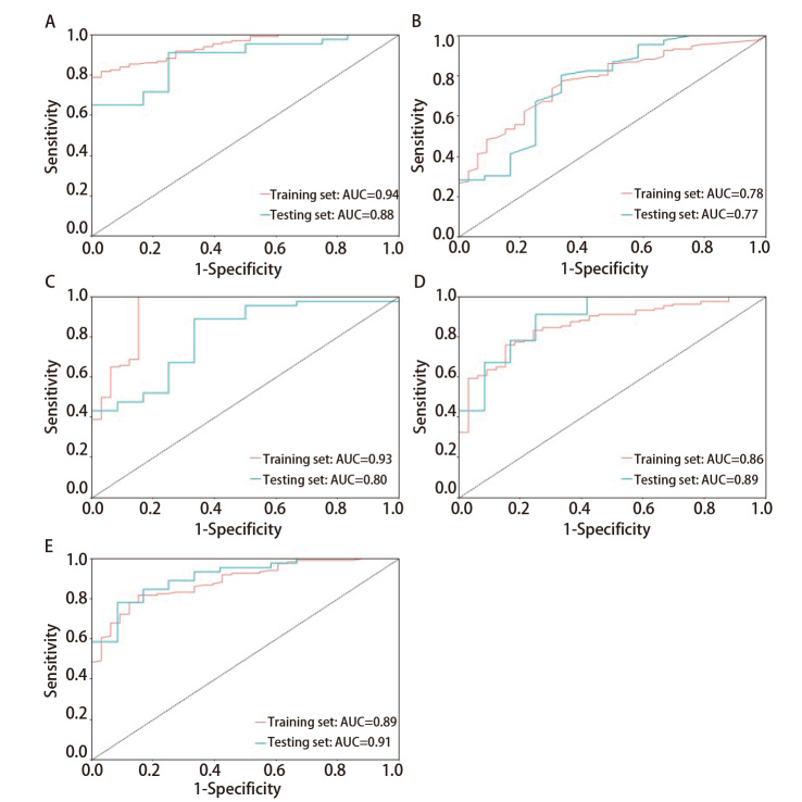
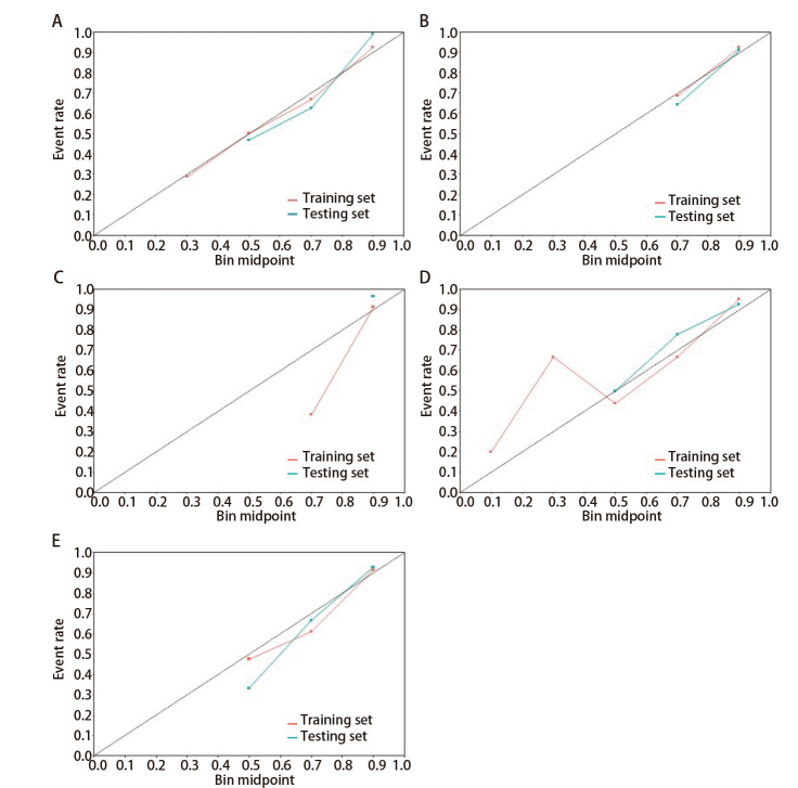
Results: The independent risk factors for the malignancy of PSN include roughness (ngtdm), dependence variance (gldm), and short run low gray-level emphasis (glrlm). Logistic regression achieved area under the curves ( AUCs) of 0.86 and 0.89 in the training and testing sets, respectively, showing good performance. XGBoost had AUCs of 0.78 and 0.77, respectively, demonstrating relatively balanced performance, but with lower accuracy. SVM showed an AUC of 0.93 in the training set, which decreased to 0.80 in the testing set, indicating overfitting. LightGBM performed excellently in the training set with an AUC of 0.94, but its performance declined in the testing set, with an AUC of 0.88. In contrast, random forest demonstrated stable performance in both the training and testing sets, with AUCs of 0.89 and 0.91, respectively, exhibiting high stability and excellent generalizability.

Conclusions: The random forest model constructed based on independent risk factors demonstrated the best performance in predicting the malignancy of PSN and could provide effective auxiliary predictions for clinicians, supporting individualized treatment decisions.
.

Abstract Image

Abstract Image

Abstract Image

[基于人工智能的影像特征参数模型
在预测部分实性肺结节恶性程度中的应用价值]。
背景:肺癌是世界范围内最常见的恶性肿瘤之一,也是癌症相关死亡的主要原因之一。早期肺癌多表现为肺结节,准确评估恶性风险对延长生存期和避免过度治疗至关重要。本研究旨在构建基于人工智能(AI)自动提取的图像特征参数的模型,评估其对部分实性结节(PSN)恶性程度预测的有效性。方法:本回顾性研究分析了2020年10月至2025年2月在兰州大学第二医院行肺结节切除术的222例患者的229例PSN。根据病理结果将45例良性病变及前体腺病变归为非恶性组,184例肺恶性病变归为恶性组。所有患者术前均行胸部计算机断层扫描(CT),使用AI软件提取影像学特征参数。采用单因素分析筛选显著变量;计算方差膨胀因子(VIF)以排除高度共线性变量,并进一步应用LASSO回归识别关键特征。采用多因素Logistic回归确定独立危险因素。基于选取的变量,构建了Logistic回归、随机森林、XGBoost、LightGBM和支持向量机(SVM)五个模型。采用受试者工作特征(ROC)曲线评估模型的性能。结果:PSN恶性的独立危险因素包括粗糙度(ngtdm)、依赖方差(gldm)和短期低灰度强调(glrlm)。Logistic回归在训练集和测试集的曲线下面积(auc)分别为0.86和0.89,表现出较好的性能。XGBoost的auc分别为0.78和0.77,表现出相对平衡的性能,但精度较低。SVM在训练集中AUC为0.93,在测试集中AUC降至0.80,表明过拟合。LightGBM在训练集中表现优异,AUC为0.94,但在测试集中表现下降,AUC为0.88。相比之下,随机森林在训练集和测试集上都表现出稳定的性能,auc分别为0.89和0.91,具有较高的稳定性和良好的泛化能力。结论:基于独立危险因素构建的随机森林模型预测PSN恶性程度的效果最好,可为临床医生提供有效的辅助预测,支持个性化治疗决策。
本文章由计算机程序翻译,如有差异,请以英文原文为准。
求助全文
约1分钟内获得全文 求助全文
来源期刊
中国肺癌杂志
中国肺癌杂志 Medicine-Pulmonary and Respiratory Medicine
CiteScore
1.40
自引率
0.00%
发文量
5131
审稿时长
14 weeks
期刊介绍: Chinese Journal of Lung Cancer(CJLC, pISSN 1009-3419, eISSN 1999-6187), a monthly Open Access journal, is hosted by Chinese Anti-Cancer Association, Chinese Antituberculosis Association, Tianjin Medical University General Hospital. CJLC was indexed in DOAJ, EMBASE/SCOPUS, Chemical Abstract(CA), CSA-Biological Science, HINARI, EBSCO-CINAHL,CABI Abstract, Global Health, CNKI, etc. Editor-in-Chief: Professor Qinghua ZHOU.
×
引用
GB/T 7714-2015
复制
MLA
复制
APA
复制
导出至
BibTeX EndNote RefMan NoteFirst NoteExpress
×
提示
您的信息不完整,为了账户安全,请先补充。
现在去补充
×
提示
您因"违规操作"
具体请查看互助需知
我知道了
×
提示
确定
请完成安全验证×
copy
已复制链接
快去分享给好友吧!
我知道了
右上角分享
点击右上角分享
0
联系我们:info@booksci.cn Book学术提供免费学术资源搜索服务,方便国内外学者检索中英文文献。致力于提供最便捷和优质的服务体验。 Copyright © 2023 布克学术 All rights reserved.
京ICP备2023020795号-1
ghs 京公网安备 11010802042870号
Book学术文献互助
Book学术文献互助群
群 号:604180095
Book学术官方微信