Repeat robotic nephron-sparing surgery for metachronous multifocal tumors in a solitary kidney: a case report.

Q3 Medicine
Stelian Ianiotescu, Constantin Gingu, Irina Balescu, Nicolae Bacalbasa, Ioanel Sinescu
{"title":"Repeat robotic nephron-sparing surgery for metachronous multifocal tumors in a solitary kidney: a case report.","authors":"Stelian Ianiotescu, Constantin Gingu, Irina Balescu, Nicolae Bacalbasa, Ioanel Sinescu","doi":"10.25122/jml-2025-0059","DOIUrl":null,"url":null,"abstract":"<p><p>We report the case of a 58-year-old male with metachronous renal tumors and a solitary kidney who had previously undergone an open right radical nephrectomy with extended lymphadenectomy for an invasive renal cell carcinoma (RCC) (pT3a N0M0) in November 2013. In May 2022, during routine surveillance, a left lower pole lesion measuring 2.5 × 2 × 1.6 cm was detected, and the patient was submitted to robot-assisted partial nephrectomy (RAPN). The histopathological study confirmed the presence of a pT1a Fuhrman grade 3 clear cell renal carcinoma. In October 2024, follow-up imaging revealed a new upper pole lesion measuring 4 × 3 × 2.3 cm in the left kidney. The patient was submitted to a novel robot-assisted partial nephrectomy, which was successfully completed using selective clamping of the renal artery. The clamping time was 28 minutes (versus 17 minutes during the initial procedure), and the estimated blood loss increased to approximately 300 mL compared to about 100 mL previously, with a console time of 98 minutes. The patient was discharged after the second surgery in good functional status. The final pathology revealed clear cell RCC, Fuhrman grade 2/nucleolar grade 2 (WHO/ISUP 2016), and pT1a, with negative margins. Despite increased technical challenges during reoperation, postoperative renal function remained stable, underscoring the feasibility of repeat RAPN in a solitary kidney.</p>","PeriodicalId":16386,"journal":{"name":"Journal of Medicine and Life","volume":"18 4","pages":"393-396"},"PeriodicalIF":0.0000,"publicationDate":"2025-04-01","publicationTypes":"Journal Article","fieldsOfStudy":null,"isOpenAccess":false,"openAccessPdf":"https://www.ncbi.nlm.nih.gov/pmc/articles/PMC12094315/pdf/","citationCount":"0","resultStr":null,"platform":"Semanticscholar","paperid":null,"PeriodicalName":"Journal of Medicine and Life","FirstCategoryId":"1085","ListUrlMain":"https://doi.org/10.25122/jml-2025-0059","RegionNum":0,"RegionCategory":null,"ArticlePicture":[],"TitleCN":null,"AbstractTextCN":null,"PMCID":null,"EPubDate":"","PubModel":"","JCR":"Q3","JCRName":"Medicine","Score":null,"Total":0}
引用次数: 0

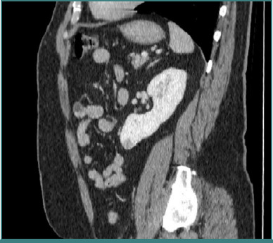
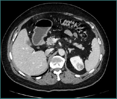
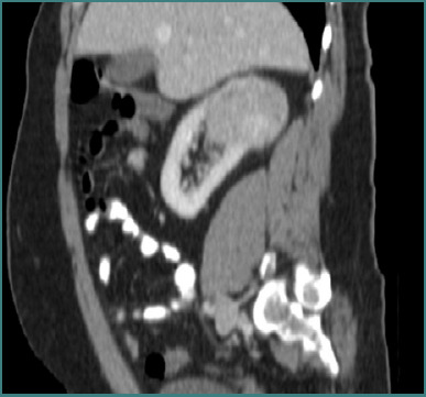
Abstract

We report the case of a 58-year-old male with metachronous renal tumors and a solitary kidney who had previously undergone an open right radical nephrectomy with extended lymphadenectomy for an invasive renal cell carcinoma (RCC) (pT3a N0M0) in November 2013. In May 2022, during routine surveillance, a left lower pole lesion measuring 2.5 × 2 × 1.6 cm was detected, and the patient was submitted to robot-assisted partial nephrectomy (RAPN). The histopathological study confirmed the presence of a pT1a Fuhrman grade 3 clear cell renal carcinoma. In October 2024, follow-up imaging revealed a new upper pole lesion measuring 4 × 3 × 2.3 cm in the left kidney. The patient was submitted to a novel robot-assisted partial nephrectomy, which was successfully completed using selective clamping of the renal artery. The clamping time was 28 minutes (versus 17 minutes during the initial procedure), and the estimated blood loss increased to approximately 300 mL compared to about 100 mL previously, with a console time of 98 minutes. The patient was discharged after the second surgery in good functional status. The final pathology revealed clear cell RCC, Fuhrman grade 2/nucleolar grade 2 (WHO/ISUP 2016), and pT1a, with negative margins. Despite increased technical challenges during reoperation, postoperative renal function remained stable, underscoring the feasibility of repeat RAPN in a solitary kidney.

Abstract Image

Abstract Image

Abstract Image

重复机器人肾保留手术治疗单肾异时性多灶性肿瘤1例报告。
我们报告一例58岁男性异时性肾肿瘤合并单发肾,于2013年11月因侵袭性肾细胞癌(pT3a N0M0)行开放性右侧根治性肾切除术并扩大淋巴结切除术。2022年5月,在常规监测中发现左下极病变2.5 × 2 × 1.6 cm,患者接受机器人辅助部分肾切除术(RAPN)。组织病理学研究证实pT1a Fuhrman 3级透明细胞肾癌的存在。2024年10月,随访影像学显示左肾上极新病灶,尺寸为4 × 3 × 2.3 cm。患者接受了一种新型的机器人辅助部分肾切除术,该手术通过选择性夹紧肾动脉成功完成。夹紧时间为28分钟(初始过程为17分钟),估计失血量增加到约300毫升,而之前约为100毫升,控制时间为98分钟。患者于第二次手术后出院,功能状态良好。最终病理显示透明细胞RCC, Fuhrman 2级/核仁2级(WHO/ISUP 2016)和pT1a,伴有阴性边缘。尽管再手术期间的技术挑战增加,但术后肾功能保持稳定,强调了在孤立肾脏中重复RAPN的可行性。
本文章由计算机程序翻译,如有差异,请以英文原文为准。
求助全文
约1分钟内获得全文 求助全文
来源期刊
Journal of Medicine and Life
Journal of Medicine and Life Medicine-Medicine (all)
CiteScore
1.90
自引率
0.00%
发文量
202
期刊介绍: The Journal of Medicine and Life publishes peer-reviewed articles from various fields of medicine and life sciences, including original research, systematic reviews, special reports, case presentations, major medical breakthroughs and letters to the editor. The Journal focuses on current matters that lie at the intersection of biomedical science and clinical practice and strives to present this information to inform health care delivery and improve patient outcomes. Papers addressing topics such as neuroprotection, neurorehabilitation, neuroplasticity, and neuroregeneration are particularly encouraged, as part of the Journal''s continuous interest in neuroscience research. The Editorial Board of the Journal of Medicine and Life is open to consider manuscripts from all levels of research and areas of biological sciences, including fundamental, experimental or clinical research and matters of public health. As part of our pledge to promote an educational and community-building environment, our issues feature sections designated to informing our readers regarding exciting international congresses, teaching courses and relevant institutional-level events.
×
引用
GB/T 7714-2015
复制
MLA
复制
APA
复制
导出至
BibTeX EndNote RefMan NoteFirst NoteExpress
×
提示
您的信息不完整,为了账户安全,请先补充。
现在去补充
×
提示
您因"违规操作"
具体请查看互助需知
我知道了
×
提示
确定
请完成安全验证×
copy
已复制链接
快去分享给好友吧!
我知道了
右上角分享
点击右上角分享
0
联系我们:info@booksci.cn Book学术提供免费学术资源搜索服务,方便国内外学者检索中英文文献。致力于提供最便捷和优质的服务体验。 Copyright © 2023 布克学术 All rights reserved.
京ICP备2023020795号-1
ghs 京公网安备 11010802042870号
Book学术文献互助
Book学术文献互助群
群 号:604180095
Book学术官方微信