Bone Marrow Infection by Pneumocystis jirovecii in a Patient with AIDS: A Case Report and Literature Review.

IF 2.4 Q2 INFECTIOUS DISEASES
Diego Alejandro Cubides-Diaz, Valentina Negrette-Lazaro, Viviana Poveda-Hurtado, Juan Pablo López-Salazar, Carlos Mauricio Calderón-Vargas, Carlos Arturo Álvarez-Moreno
{"title":"Bone Marrow Infection by <i>Pneumocystis jirovecii</i> in a Patient with AIDS: A Case Report and Literature Review.","authors":"Diego Alejandro Cubides-Diaz, Valentina Negrette-Lazaro, Viviana Poveda-Hurtado, Juan Pablo López-Salazar, Carlos Mauricio Calderón-Vargas, Carlos Arturo Álvarez-Moreno","doi":"10.3390/idr17030047","DOIUrl":null,"url":null,"abstract":"<p><strong>Background: </strong><i>Pneumocystis jirovecii</i> primarily causes pneumonia in immunosuppressed individuals, particularly those living with advanced HIV/AIDS. Extrapulmonary dissemination is uncommon, with bone marrow involvement described in only a handful of cases globally. Bone marrow infection occurs in the setting of severe immunosuppression, poses diagnostic challenges, and carries a high mortality rate.</p><p><strong>Methods: </strong>We describe the case of a 34-year-old man newly diagnosed with HIV/AIDS, presenting with severe immunosuppression and <i>Pneumocystis jirovecii</i> pneumonia. The patient initially improved with cotrimoxazole and corticosteroids, but was readmitted shortly after discharge with abdominal pain, diarrhea, and worsening pancytopenia. A bone marrow biopsy revealed <i>Pneumocystis jirovecii</i> cysts, confirming disseminated infection. Concomitant Kaposi sarcoma involving the skin and gastrointestinal tract was also diagnosed. Despite antimicrobial therapy, the patient's condition worsened, leading to multisystem organ failure and death two months later.</p><p><strong>Conclusions: </strong>This case highlights a rare presentation of disseminated <i>Pneumocystis jirovecii</i> infection with bone marrow involvement in a patient with advanced HIV/AIDS. Although infrequent, this complication should be considered in individuals with <i>Pneumocystis jirovecii</i> pneumonia who develop persistent cytopenias and systemic symptoms. Diagnosis depends on histopathologic confirmation, which may lead to under-recognition. Early suspicion and individualized management are essential, though the optimal treatment approach for extrapulmonary infection remains undefined.</p>","PeriodicalId":13579,"journal":{"name":"Infectious Disease Reports","volume":"17 3","pages":""},"PeriodicalIF":2.4000,"publicationDate":"2025-05-02","publicationTypes":"Journal Article","fieldsOfStudy":null,"isOpenAccess":false,"openAccessPdf":"https://www.ncbi.nlm.nih.gov/pmc/articles/PMC12101389/pdf/","citationCount":"0","resultStr":null,"platform":"Semanticscholar","paperid":null,"PeriodicalName":"Infectious Disease Reports","FirstCategoryId":"1085","ListUrlMain":"https://doi.org/10.3390/idr17030047","RegionNum":0,"RegionCategory":null,"ArticlePicture":[],"TitleCN":null,"AbstractTextCN":null,"PMCID":null,"EPubDate":"","PubModel":"","JCR":"Q2","JCRName":"INFECTIOUS DISEASES","Score":null,"Total":0}
引用次数: 0

Abstract

Background: Pneumocystis jirovecii primarily causes pneumonia in immunosuppressed individuals, particularly those living with advanced HIV/AIDS. Extrapulmonary dissemination is uncommon, with bone marrow involvement described in only a handful of cases globally. Bone marrow infection occurs in the setting of severe immunosuppression, poses diagnostic challenges, and carries a high mortality rate.

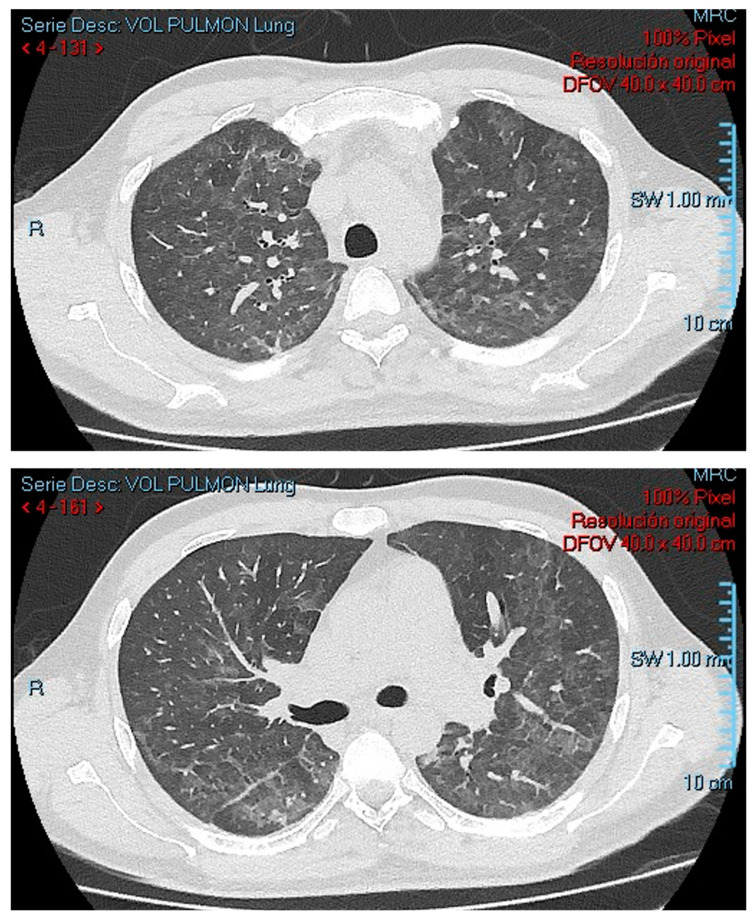
Methods: We describe the case of a 34-year-old man newly diagnosed with HIV/AIDS, presenting with severe immunosuppression and Pneumocystis jirovecii pneumonia. The patient initially improved with cotrimoxazole and corticosteroids, but was readmitted shortly after discharge with abdominal pain, diarrhea, and worsening pancytopenia. A bone marrow biopsy revealed Pneumocystis jirovecii cysts, confirming disseminated infection. Concomitant Kaposi sarcoma involving the skin and gastrointestinal tract was also diagnosed. Despite antimicrobial therapy, the patient's condition worsened, leading to multisystem organ failure and death two months later.

Conclusions: This case highlights a rare presentation of disseminated Pneumocystis jirovecii infection with bone marrow involvement in a patient with advanced HIV/AIDS. Although infrequent, this complication should be considered in individuals with Pneumocystis jirovecii pneumonia who develop persistent cytopenias and systemic symptoms. Diagnosis depends on histopathologic confirmation, which may lead to under-recognition. Early suspicion and individualized management are essential, though the optimal treatment approach for extrapulmonary infection remains undefined.

Abstract Image

Abstract Image

Abstract Image

艾滋病患者骨髓感染齐罗氏肺囊虫1例并文献复习。
背景:耶氏肺囊虫主要引起免疫抑制个体的肺炎,特别是晚期HIV/AIDS患者。肺外播散不常见,在全球范围内只有少数病例累及骨髓。骨髓感染发生在严重免疫抑制的情况下,给诊断带来挑战,并具有高死亡率。方法:我们描述了一个34岁的男性新诊断为艾滋病毒/艾滋病,表现为严重的免疫抑制和肺囊虫肺炎。患者最初在复方新诺明和皮质类固醇治疗下有所改善,但出院后不久因腹痛、腹泻和全细胞减少症加重再次入院。骨髓活检显示乙氏肺囊虫囊肿,确认播散性感染。并发卡波西肉瘤累及皮肤和胃肠道也被诊断。尽管进行了抗菌治疗,但患者病情恶化,导致多系统器官衰竭,两个月后死亡。结论:本病例是一例罕见的弥散性肺囊虫感染伴骨髓浸润的晚期HIV/AIDS患者。虽然这种并发症并不常见,但对于出现持续性细胞减少和全身性症状的乙氏肺囊虫肺炎患者,应考虑这种并发症。诊断依赖于组织病理学确认,这可能导致识别不足。尽管肺外感染的最佳治疗方法仍不明确,但早期怀疑和个性化管理是必不可少的。
本文章由计算机程序翻译,如有差异,请以英文原文为准。
求助全文
约1分钟内获得全文 求助全文
来源期刊
Infectious Disease Reports
Infectious Disease Reports INFECTIOUS DISEASES-
CiteScore
5.10
自引率
0.00%
发文量
82
审稿时长
11 weeks
×
引用
GB/T 7714-2015
复制
MLA
复制
APA
复制
导出至
BibTeX EndNote RefMan NoteFirst NoteExpress
×
提示
您的信息不完整,为了账户安全,请先补充。
现在去补充
×
提示
您因"违规操作"
具体请查看互助需知
我知道了
×
提示
确定
请完成安全验证×
copy
已复制链接
快去分享给好友吧!
我知道了
右上角分享
点击右上角分享
0
联系我们:info@booksci.cn Book学术提供免费学术资源搜索服务,方便国内外学者检索中英文文献。致力于提供最便捷和优质的服务体验。 Copyright © 2023 布克学术 All rights reserved.
京ICP备2023020795号-1
ghs 京公网安备 11010802042870号
Book学术文献互助
Book学术文献互助群
群 号:604180095
Book学术官方微信