Rickettsia parkeri Rickettsiosis Resembling Sweet Syndrome: A Differential Diagnosis for Critical Discussion.

IF 2.4 Q2 INFECTIOUS DISEASES
Lucas S Blanton, Sarah E Muir, Nicole L Mendell, David H Walker
{"title":"<i>Rickettsia parkeri</i> Rickettsiosis Resembling Sweet Syndrome: A Differential Diagnosis for Critical Discussion.","authors":"Lucas S Blanton, Sarah E Muir, Nicole L Mendell, David H Walker","doi":"10.3390/idr17030045","DOIUrl":null,"url":null,"abstract":"<p><p><b>Introduction:</b> Spotted fever group (SFG) rickettsioses are tick-transmitted infections caused by Gram-negative, obligately intracellular bacteria in the genus <i>Rickettsia</i>. They present as an acute undifferentiated febrile illness, and they are often accompanied by rash and/or eschar. Although the rash of SFG rickettsioses usually consists of macules and papules, some, like in <i>Rickettsia parkeri</i> rickettsiosis, can also manifest with papulovesicular or pustular lesions. <b>Case:</b> We herein present a case of SFG rickettsiosis, due to <i>R. parkeri</i>, that masqueraded as Sweet syndrome (the prototype neutrophilic dermatosis) after the initial results of a shave biopsy. Further investigation of the biopsy specimen by immunohistochemical and PCR analysis would eventually confirm SFG rickettsiosis, with <i>R. parkeri</i> being detected by real-time PCR. <b>Discussion:</b><i>Rickettsia parkeri</i> is transmitted by the Gulf Coast tick (<i>Amblyomma maculatum</i>) and is an increasingly recognized cause of SFG rickettsiosis in the United States. <i>Rickettsia parkeri</i> should be considered in those with an acute undifferentiated febrile illness with lesions that are pustular or papulovesicular, as prompt recognition and empirical administration of doxycycline results in the rapid resolution of symptoms.</p>","PeriodicalId":13579,"journal":{"name":"Infectious Disease Reports","volume":"17 3","pages":""},"PeriodicalIF":2.4000,"publicationDate":"2025-05-01","publicationTypes":"Journal Article","fieldsOfStudy":null,"isOpenAccess":false,"openAccessPdf":"https://www.ncbi.nlm.nih.gov/pmc/articles/PMC12101227/pdf/","citationCount":"0","resultStr":null,"platform":"Semanticscholar","paperid":null,"PeriodicalName":"Infectious Disease Reports","FirstCategoryId":"1085","ListUrlMain":"https://doi.org/10.3390/idr17030045","RegionNum":0,"RegionCategory":null,"ArticlePicture":[],"TitleCN":null,"AbstractTextCN":null,"PMCID":null,"EPubDate":"","PubModel":"","JCR":"Q2","JCRName":"INFECTIOUS DISEASES","Score":null,"Total":0}
引用次数: 0

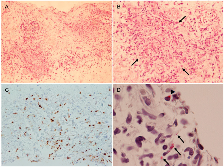
Abstract

Introduction: Spotted fever group (SFG) rickettsioses are tick-transmitted infections caused by Gram-negative, obligately intracellular bacteria in the genus Rickettsia. They present as an acute undifferentiated febrile illness, and they are often accompanied by rash and/or eschar. Although the rash of SFG rickettsioses usually consists of macules and papules, some, like in Rickettsia parkeri rickettsiosis, can also manifest with papulovesicular or pustular lesions. Case: We herein present a case of SFG rickettsiosis, due to R. parkeri, that masqueraded as Sweet syndrome (the prototype neutrophilic dermatosis) after the initial results of a shave biopsy. Further investigation of the biopsy specimen by immunohistochemical and PCR analysis would eventually confirm SFG rickettsiosis, with R. parkeri being detected by real-time PCR. Discussion:Rickettsia parkeri is transmitted by the Gulf Coast tick (Amblyomma maculatum) and is an increasingly recognized cause of SFG rickettsiosis in the United States. Rickettsia parkeri should be considered in those with an acute undifferentiated febrile illness with lesions that are pustular or papulovesicular, as prompt recognition and empirical administration of doxycycline results in the rapid resolution of symptoms.

Abstract Image

类似甜综合征的立克次体病:鉴别诊断的关键讨论。
斑点热组(SFG)立克次体病是由革兰氏阴性立克次体属细胞内专性细菌引起的蜱传播感染。它们表现为急性未分化发热性疾病,常伴有皮疹和/或焦痂。虽然SFG立克次体病的皮疹通常由斑疹和丘疹组成,但有些,如白氏立克次体立克次体,也可以表现为丘疹水疱或脓疱性病变。病例:我们在此报告一例SFG立克次体病,由于R. parkeri,伪装成甜综合征(原型中性粒细胞皮肤病)的初步结果后,剃须活检。进一步对活检标本进行免疫组织化学和PCR分析,最终确认SFG立克次体病,并通过实时PCR检测到parkeri。讨论:白氏立克次体是由墨西哥湾沿岸的蜱虫(斑状弱视)传播的,在美国越来越多地被认为是SFG立克次体病的原因。在那些有脓疱或丘疹样病变的急性未分化发热性疾病中,应考虑白立克次体,因为及时识别并经验性给予强力霉素可迅速缓解症状。
本文章由计算机程序翻译,如有差异,请以英文原文为准。
求助全文
约1分钟内获得全文 求助全文
来源期刊
Infectious Disease Reports
Infectious Disease Reports INFECTIOUS DISEASES-
CiteScore
5.10
自引率
0.00%
发文量
82
审稿时长
11 weeks
×
引用
GB/T 7714-2015
复制
MLA
复制
APA
复制
导出至
BibTeX EndNote RefMan NoteFirst NoteExpress
×
提示
您的信息不完整,为了账户安全,请先补充。
现在去补充
×
提示
您因"违规操作"
具体请查看互助需知
我知道了
×
提示
确定
请完成安全验证×
copy
已复制链接
快去分享给好友吧!
我知道了
右上角分享
点击右上角分享
0
联系我们:info@booksci.cn Book学术提供免费学术资源搜索服务,方便国内外学者检索中英文文献。致力于提供最便捷和优质的服务体验。 Copyright © 2023 布克学术 All rights reserved.
京ICP备2023020795号-1
ghs 京公网安备 11010802042870号
Book学术文献互助
Book学术文献互助群
群 号:604180095
Book学术官方微信