A Case of Primary Squamous Cell Carcinoma of the Small Intestine: A Case Report.

IF 0.7 Q4 ONCOLOGY
Case Reports in Oncology Pub Date : 2025-04-24 eCollection Date: 2025-01-01 DOI:10.1159/000545101
Guangxing Li, Chuanji Han, Jin Cao, Yongcun Zhu, Shengbo Sun
{"title":"A Case of Primary Squamous Cell Carcinoma of the Small Intestine: A Case Report.","authors":"Guangxing Li, Chuanji Han, Jin Cao, Yongcun Zhu, Shengbo Sun","doi":"10.1159/000545101","DOIUrl":null,"url":null,"abstract":"<p><strong>Introduction: </strong>Primary squamous cell carcinoma (SCC) of the small intestine is an exceptionally rare malignancy, with limited cases reported in the literature. The rarity of this condition, combined with nonspecific clinical manifestations, poses significant diagnostic and therapeutic challenges.</p><p><strong>Case presentation: </strong>We report the case of a 47-year-old woman who presented with a 2-month history of left lower abdominal pain and discomfort. Imaging studies, including enhanced abdominal CT and PET-CT, revealed a suspicious mass in the jejunum. Comprehensive diagnostic evaluations excluded metastatic origins, and a diagnosis of primary small intestinal SCC was confirmed by histopathology and immunohistochemistry. The patient underwent radical surgical resection, which revealed a poorly differentiated SCC invading the serosa and regional lymph nodes. Postoperative management included infection prevention and fluid rehydration, with recommendations for adjuvant chemotherapy and immunotherapy based on multidisciplinary consultation. Despite the advanced disease stage, the patient recovered well post-surgery and is undergoing regular follow-up.</p><p><strong>Conclusion: </strong>This case underscores the importance of thorough diagnostic evaluation to distinguish primary SCC from metastatic lesions. Early surgical intervention is critical for improving prognosis of this rare malignancy. The findings contribute to the limited knowledge of the primary SCC of the small intestine and emphasize the need for further research to guide optimal management strategies.</p>","PeriodicalId":9625,"journal":{"name":"Case Reports in Oncology","volume":"18 1","pages":"582-592"},"PeriodicalIF":0.7000,"publicationDate":"2025-04-24","publicationTypes":"Journal Article","fieldsOfStudy":null,"isOpenAccess":false,"openAccessPdf":"https://www.ncbi.nlm.nih.gov/pmc/articles/PMC12097762/pdf/","citationCount":"0","resultStr":null,"platform":"Semanticscholar","paperid":null,"PeriodicalName":"Case Reports in Oncology","FirstCategoryId":"1085","ListUrlMain":"https://doi.org/10.1159/000545101","RegionNum":0,"RegionCategory":null,"ArticlePicture":[],"TitleCN":null,"AbstractTextCN":null,"PMCID":null,"EPubDate":"2025/1/1 0:00:00","PubModel":"eCollection","JCR":"Q4","JCRName":"ONCOLOGY","Score":null,"Total":0}
引用次数: 0

Abstract

Introduction: Primary squamous cell carcinoma (SCC) of the small intestine is an exceptionally rare malignancy, with limited cases reported in the literature. The rarity of this condition, combined with nonspecific clinical manifestations, poses significant diagnostic and therapeutic challenges.

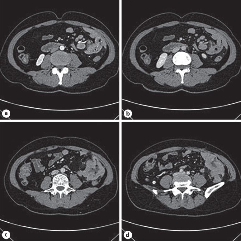
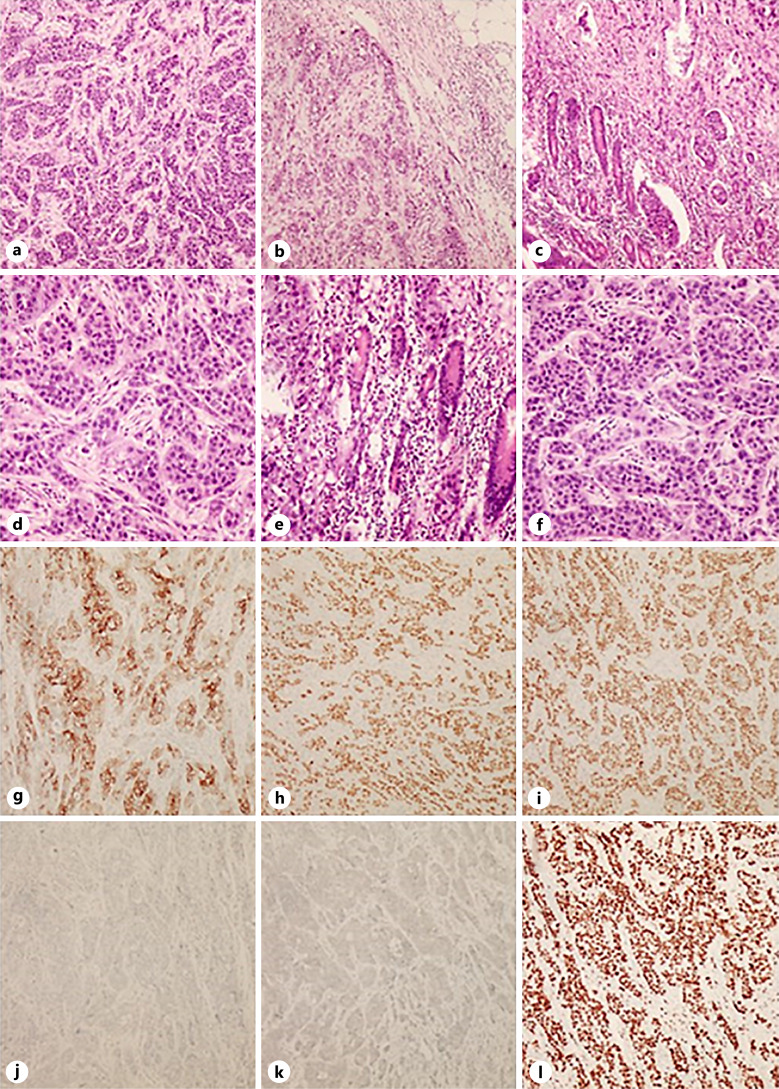
Case presentation: We report the case of a 47-year-old woman who presented with a 2-month history of left lower abdominal pain and discomfort. Imaging studies, including enhanced abdominal CT and PET-CT, revealed a suspicious mass in the jejunum. Comprehensive diagnostic evaluations excluded metastatic origins, and a diagnosis of primary small intestinal SCC was confirmed by histopathology and immunohistochemistry. The patient underwent radical surgical resection, which revealed a poorly differentiated SCC invading the serosa and regional lymph nodes. Postoperative management included infection prevention and fluid rehydration, with recommendations for adjuvant chemotherapy and immunotherapy based on multidisciplinary consultation. Despite the advanced disease stage, the patient recovered well post-surgery and is undergoing regular follow-up.

Conclusion: This case underscores the importance of thorough diagnostic evaluation to distinguish primary SCC from metastatic lesions. Early surgical intervention is critical for improving prognosis of this rare malignancy. The findings contribute to the limited knowledge of the primary SCC of the small intestine and emphasize the need for further research to guide optimal management strategies.

Abstract Image

Abstract Image

Abstract Image

原发性小肠鳞状细胞癌1例报告。
简介:原发性小肠鳞状细胞癌(SCC)是一种非常罕见的恶性肿瘤,文献中报道的病例有限。这种疾病的罕见性,加上非特异性临床表现,给诊断和治疗带来了重大挑战。病例介绍:我们报告一位47岁的女性,她有2个月的左下腹部疼痛和不适的病史。影像学检查,包括增强腹部CT和PET-CT,显示空肠可疑肿块。综合诊断评估排除了转移性来源,组织病理学和免疫组织化学证实了原发性小肠鳞状细胞癌的诊断。患者接受根治性手术切除,发现低分化SCC侵袭浆膜和区域淋巴结。术后处理包括预防感染和补液,并建议在多学科会诊的基础上进行辅助化疗和免疫治疗。尽管病情晚期,患者术后恢复良好,正在定期随访。结论:该病例强调了彻底的诊断评估对区分原发性SCC和转移性病变的重要性。早期手术干预对改善这种罕见恶性肿瘤的预后至关重要。这些发现有助于对小肠原发性SCC的有限认识,并强调需要进一步研究以指导最佳管理策略。
本文章由计算机程序翻译,如有差异,请以英文原文为准。
求助全文
约1分钟内获得全文 求助全文
来源期刊
CiteScore
1.40
自引率
12.50%
发文量
151
审稿时长
7 weeks
×
引用
GB/T 7714-2015
复制
MLA
复制
APA
复制
导出至
BibTeX EndNote RefMan NoteFirst NoteExpress
×
提示
您的信息不完整,为了账户安全,请先补充。
现在去补充
×
提示
您因"违规操作"
具体请查看互助需知
我知道了
×
提示
确定
请完成安全验证×
copy
已复制链接
快去分享给好友吧!
我知道了
右上角分享
点击右上角分享
0
联系我们:info@booksci.cn Book学术提供免费学术资源搜索服务,方便国内外学者检索中英文文献。致力于提供最便捷和优质的服务体验。 Copyright © 2023 布克学术 All rights reserved.
京ICP备2023020795号-1
ghs 京公网安备 11010802042870号
Book学术文献互助
Book学术文献互助群
群 号:604180095
Book学术官方微信