Extensive Nail Changes Are a Possible Clue Indicating Multisystem Involvement in Childhood Langerhans Cell Histiocytosis: A Case Report and Literature Review.

IF 0.8 Q4 DERMATOLOGY
Case Reports in Dermatology Pub Date : 2025-04-21 eCollection Date: 2025-01-01 DOI:10.1159/000545567
Xiaofei Gao, Bin Yu, Jiaotian Huang, Haixia Yang, Zhu Wei
{"title":"Extensive Nail Changes Are a Possible Clue Indicating Multisystem Involvement in Childhood Langerhans Cell Histiocytosis: A Case Report and Literature Review.","authors":"Xiaofei Gao, Bin Yu, Jiaotian Huang, Haixia Yang, Zhu Wei","doi":"10.1159/000545567","DOIUrl":null,"url":null,"abstract":"<p><strong>Introduction: </strong>Langerhans cell histiocytosis (LCH) is a rare myeloid neoplasm that can involve nearly any organ, leading to multisystem damage. Nail involvement in LCH is particularly uncommon. Here we report a case of a young boy with multisystem LCH initially presenting with nail changes.</p><p><strong>Case presentation: </strong>We described a boy who presented with a 2-year history of asymptomatic changes characterized by onycholysis, subungual hyperkeratosis, and purpuric striae affecting most fingernails and toenails, initially attributed to onychomycosis. Two years later, he developed multisystem involvement affecting the pituitary gland, lungs, skin, liver, and spleen. The patient succumbed shortly after histopathological confirmation via skin biopsy due to massive gastrointestinal hemorrhage secondary to cirrhosis-induced portal hypertension.</p><p><strong>Discussion: </strong>Nail lesions may serve as the initial manifestation of LCH, often preceding other characteristic disease symptoms. This early presentation provides critical diagnostic opportunities for timely intervention. Consideration of LCH, biopsy, and comprehensive evaluation of organ involvement is essential to reduce the rate of misdiagnosis and the potential for unrecognized high-risk disease.</p><p><strong>Conclusion: </strong>Nail involvement in LCH, while rare, may serve as an early clinical indicator of multisystem disease.</p>","PeriodicalId":9619,"journal":{"name":"Case Reports in Dermatology","volume":"17 1","pages":"165-173"},"PeriodicalIF":0.8000,"publicationDate":"2025-04-21","publicationTypes":"Journal Article","fieldsOfStudy":null,"isOpenAccess":false,"openAccessPdf":"https://www.ncbi.nlm.nih.gov/pmc/articles/PMC12097764/pdf/","citationCount":"0","resultStr":null,"platform":"Semanticscholar","paperid":null,"PeriodicalName":"Case Reports in Dermatology","FirstCategoryId":"1085","ListUrlMain":"https://doi.org/10.1159/000545567","RegionNum":0,"RegionCategory":null,"ArticlePicture":[],"TitleCN":null,"AbstractTextCN":null,"PMCID":null,"EPubDate":"2025/1/1 0:00:00","PubModel":"eCollection","JCR":"Q4","JCRName":"DERMATOLOGY","Score":null,"Total":0}
引用次数: 0

Abstract

Introduction: Langerhans cell histiocytosis (LCH) is a rare myeloid neoplasm that can involve nearly any organ, leading to multisystem damage. Nail involvement in LCH is particularly uncommon. Here we report a case of a young boy with multisystem LCH initially presenting with nail changes.

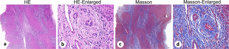
Case presentation: We described a boy who presented with a 2-year history of asymptomatic changes characterized by onycholysis, subungual hyperkeratosis, and purpuric striae affecting most fingernails and toenails, initially attributed to onychomycosis. Two years later, he developed multisystem involvement affecting the pituitary gland, lungs, skin, liver, and spleen. The patient succumbed shortly after histopathological confirmation via skin biopsy due to massive gastrointestinal hemorrhage secondary to cirrhosis-induced portal hypertension.

Discussion: Nail lesions may serve as the initial manifestation of LCH, often preceding other characteristic disease symptoms. This early presentation provides critical diagnostic opportunities for timely intervention. Consideration of LCH, biopsy, and comprehensive evaluation of organ involvement is essential to reduce the rate of misdiagnosis and the potential for unrecognized high-risk disease.

Conclusion: Nail involvement in LCH, while rare, may serve as an early clinical indicator of multisystem disease.

Abstract Image

Abstract Image

Abstract Image

广泛的指甲变化是儿童朗格汉斯细胞组织细胞增多症多系统参与的可能线索:一个病例报告和文献复习。
朗格汉斯细胞组织细胞增生症(LCH)是一种罕见的髓系肿瘤,几乎可以累及任何器官,导致多系统损害。LCH的指甲受累尤其罕见。在此,我们报告一例患有多系统LCH的小男孩,最初表现为指甲改变。病例介绍:我们描述了一个男孩,他有2年的无症状改变史,其特征是甲溶解,甲下角化过度,以及影响大部分指甲和脚趾甲的紫癜纹,最初归因于甲真菌病。两年后,他出现多系统累及,包括脑垂体、肺、皮肤、肝脏和脾脏。患者因肝硬化致门静脉高压症继发大量胃肠出血,经皮肤活检证实后不久死亡。讨论:指甲病变可作为LCH的初始表现,通常先于其他特征性疾病症状。这种早期表现为及时干预提供了关键的诊断机会。考虑LCH、活检和器官受累的综合评估对于降低误诊率和潜在的未被识别的高风险疾病是必不可少的。结论:LCH的甲部受累虽罕见,但可作为多系统疾病的早期临床指标。
本文章由计算机程序翻译,如有差异,请以英文原文为准。
求助全文
约1分钟内获得全文 求助全文
来源期刊
CiteScore
1.60
自引率
0.00%
发文量
57
审稿时长
9 weeks
×
引用
GB/T 7714-2015
复制
MLA
复制
APA
复制
导出至
BibTeX EndNote RefMan NoteFirst NoteExpress
×
提示
您的信息不完整,为了账户安全,请先补充。
现在去补充
×
提示
您因"违规操作"
具体请查看互助需知
我知道了
×
提示
确定
请完成安全验证×
copy
已复制链接
快去分享给好友吧!
我知道了
右上角分享
点击右上角分享
0
联系我们:info@booksci.cn Book学术提供免费学术资源搜索服务,方便国内外学者检索中英文文献。致力于提供最便捷和优质的服务体验。 Copyright © 2023 布克学术 All rights reserved.
京ICP备2023020795号-1
ghs 京公网安备 11010802042870号
Book学术文献互助
Book学术文献互助群
群 号:604180095
Book学术官方微信