Assembly of ascovirus HvAV-3h long DNA fragment using the Transformation-Associated Recombination (TAR) approach in yeast cells.

IF 3.4 3区 生物学 Q2 BIOTECHNOLOGY & APPLIED MICROBIOLOGY
Heba A H Zaghloul, Zhengkun Xiao, Hengrui Hu, Guo-Hua Huang
{"title":"Assembly of ascovirus HvAV-3h long DNA fragment using the Transformation-Associated Recombination (TAR) approach in yeast cells.","authors":"Heba A H Zaghloul, Zhengkun Xiao, Hengrui Hu, Guo-Hua Huang","doi":"10.1186/s12896-025-00964-8","DOIUrl":null,"url":null,"abstract":"<p><strong>Background: </strong>Synthetic biology is a young but rapidly growing field that allows for assembling long DNA fragments, including complete chromosomes. A key approach for long-DNA assembly is the Transformation Associated Recombination (TAR), which relies on efficient homologous recombination in yeast cells. Recent reports indicate that the TAR method efficiently assembles some human and animal viruses characterized by their large DNA genome size. The application of the TAR method to synthesize long DNA fragments derived from insect viruses is scarce. Therefore, this study aimed to explore the TAR approach for the construction of a long DNA fragment (>44.6 Kb) from the insecticidal Heliothesis virescens ascovirus 3h (HvAV-3h) dsDNA genome to assess the suitability of this approach in genome-wide engineering studies in this family of viruses.</p><p><strong>Results: </strong>The long DNA fragment assembly process involved three stages: first, we amplified 15 segments of about 2.9-3.2 Kb each via PCR. Next, we recombined these segments through three parallel TAR cycles, producing medium-sized fragments of about 15 Kb. Finally, we assembled these fragments in a single TAR cycle to form a long DNA fragment of about 44.6 kb. We identified some positive clones by colony PCR or restriction digestion pattern. To assess the quality of the assembled DNA fragment, we conducted next-generation sequencing (NGS). A comparative analysis of Sanger sequencing for medium-sized fragments and NGS data from the synthesized long-DNA fragment demonstrated a nearly matched mutation profile, suggesting that the identified mutations and deletions were present at initial synthesis. Both datasets aligned with the reference HvAV-3h strain, revealing three specific nucleotide mutations and three unique mutation regions.</p><p><strong>Conclusions: </strong>Overall, the in vivo TAR assembly method efficiently assembled a long DNA fragment derived from the ascovirus genome as a template. The process is cost-effective and can be scaled up to synthesize the entire genome for gene functional studies.</p>","PeriodicalId":8905,"journal":{"name":"BMC Biotechnology","volume":"25 1","pages":"42"},"PeriodicalIF":3.4000,"publicationDate":"2025-05-22","publicationTypes":"Journal Article","fieldsOfStudy":null,"isOpenAccess":false,"openAccessPdf":"https://www.ncbi.nlm.nih.gov/pmc/articles/PMC12100921/pdf/","citationCount":"0","resultStr":null,"platform":"Semanticscholar","paperid":null,"PeriodicalName":"BMC Biotechnology","FirstCategoryId":"5","ListUrlMain":"https://doi.org/10.1186/s12896-025-00964-8","RegionNum":3,"RegionCategory":"生物学","ArticlePicture":[],"TitleCN":null,"AbstractTextCN":null,"PMCID":null,"EPubDate":"","PubModel":"","JCR":"Q2","JCRName":"BIOTECHNOLOGY & APPLIED MICROBIOLOGY","Score":null,"Total":0}
引用次数: 0

Abstract

Background: Synthetic biology is a young but rapidly growing field that allows for assembling long DNA fragments, including complete chromosomes. A key approach for long-DNA assembly is the Transformation Associated Recombination (TAR), which relies on efficient homologous recombination in yeast cells. Recent reports indicate that the TAR method efficiently assembles some human and animal viruses characterized by their large DNA genome size. The application of the TAR method to synthesize long DNA fragments derived from insect viruses is scarce. Therefore, this study aimed to explore the TAR approach for the construction of a long DNA fragment (>44.6 Kb) from the insecticidal Heliothesis virescens ascovirus 3h (HvAV-3h) dsDNA genome to assess the suitability of this approach in genome-wide engineering studies in this family of viruses.

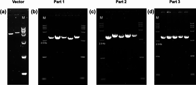
Results: The long DNA fragment assembly process involved three stages: first, we amplified 15 segments of about 2.9-3.2 Kb each via PCR. Next, we recombined these segments through three parallel TAR cycles, producing medium-sized fragments of about 15 Kb. Finally, we assembled these fragments in a single TAR cycle to form a long DNA fragment of about 44.6 kb. We identified some positive clones by colony PCR or restriction digestion pattern. To assess the quality of the assembled DNA fragment, we conducted next-generation sequencing (NGS). A comparative analysis of Sanger sequencing for medium-sized fragments and NGS data from the synthesized long-DNA fragment demonstrated a nearly matched mutation profile, suggesting that the identified mutations and deletions were present at initial synthesis. Both datasets aligned with the reference HvAV-3h strain, revealing three specific nucleotide mutations and three unique mutation regions.

Conclusions: Overall, the in vivo TAR assembly method efficiently assembled a long DNA fragment derived from the ascovirus genome as a template. The process is cost-effective and can be scaled up to synthesize the entire genome for gene functional studies.

Abstract Image

Abstract Image

Abstract Image

利用转化相关重组(TAR)方法在酵母细胞中组装ascov -3h长DNA片段
背景:合成生物学是一个年轻但发展迅速的领域,它允许组装长DNA片段,包括完整的染色体。长dna组装的关键方法是转化相关重组(TAR),它依赖于酵母细胞中有效的同源重组。最近的报告表明,TAR方法有效地组装了一些以DNA基因组大为特征的人类和动物病毒。应用TAR方法合成来自昆虫病毒的长DNA片段的研究很少。因此,本研究旨在探索利用TAR方法构建杀虫毒Heliothesis virescens ascovirus 3h (HvAV-3h) dsDNA基因组的长DNA片段(>44.6 Kb),以评估该方法在该病毒科全基因组工程研究中的适用性。结果:DNA长片段组装过程分为三个阶段:首先,我们通过PCR扩增出15个片段,每个片段约为2.9-3.2 Kb;接下来,我们通过三个平行的TAR循环重新组合这些片段,产生大约15 Kb的中等大小的片段。最后,我们将这些片段组装在一个单一的TAR循环中,形成一个长约44.6 kb的DNA片段。通过集落PCR或限制性酶切法鉴定出部分阳性克隆。为了评估组装DNA片段的质量,我们进行了下一代测序(NGS)。对中型片段的Sanger测序和合成的长dna片段的NGS数据进行比较分析显示,突变谱几乎匹配,表明鉴定的突变和缺失存在于最初的合成中。这两个数据集与参考HvAV-3h菌株一致,揭示了三个特定的核苷酸突变和三个独特的突变区域。结论:总体而言,体内TAR组装方法有效地组装了来自子囊病毒基因组的长DNA片段作为模板。该过程具有成本效益,并且可以扩大到合成整个基因组用于基因功能研究。
本文章由计算机程序翻译,如有差异,请以英文原文为准。
求助全文
约1分钟内获得全文 求助全文
来源期刊
BMC Biotechnology
BMC Biotechnology 工程技术-生物工程与应用微生物
CiteScore
6.60
自引率
0.00%
发文量
34
审稿时长
2 months
期刊介绍: BMC Biotechnology is an open access, peer-reviewed journal that considers articles on the manipulation of biological macromolecules or organisms for use in experimental procedures, cellular and tissue engineering or in the pharmaceutical, agricultural biotechnology and allied industries.
×
引用
GB/T 7714-2015
复制
MLA
复制
APA
复制
导出至
BibTeX EndNote RefMan NoteFirst NoteExpress
×
提示
您的信息不完整,为了账户安全,请先补充。
现在去补充
×
提示
您因"违规操作"
具体请查看互助需知
我知道了
×
提示
确定
请完成安全验证×
copy
已复制链接
快去分享给好友吧!
我知道了
右上角分享
点击右上角分享
0
联系我们:info@booksci.cn Book学术提供免费学术资源搜索服务,方便国内外学者检索中英文文献。致力于提供最便捷和优质的服务体验。 Copyright © 2023 布克学术 All rights reserved.
京ICP备2023020795号-1
ghs 京公网安备 11010802042870号
Book学术文献互助
Book学术文献互助群
群 号:604180095
Book学术官方微信