Post-traumatic and iatrogenic silent sinus syndrome: a case series.

IF 1.8
E M Strabbing, O Engin, M A J Telleman, A P Nagtegaal, E B Wolvius
{"title":"Post-traumatic and iatrogenic silent sinus syndrome: a case series.","authors":"E M Strabbing, O Engin, M A J Telleman, A P Nagtegaal, E B Wolvius","doi":"10.1007/s10006-025-01391-x","DOIUrl":null,"url":null,"abstract":"<p><strong>Objectives: </strong>Silent sinus syndrome (SSS) is a rare condition characterized by progressive maxillary sinus collapse, causing enophthalmos and hypoglobus without sinusitis symptoms. Secondary SSS arises from trauma or surgery disrupting mucociliary clearance. This study aims to analyze CT scan features, evaluate the timeline of SSS development, and identify contributing factors.</p><p><strong>Materials and methods: </strong>Patients diagnosed with secondary (post-traumatic or iatrogenic) SSS between January 2015 and January 2024 at the Erasmus Medical Center were reviewed. Characteristics from pre-SSS (T1) and post-SSS (T2) stages, management, and clinical outcomes were recorded. Data on patient demographics, symptoms, orthoptic findings, and the time interval between trauma or surgery and SSS onset were also collected.</p><p><strong>Results: </strong>Nine patients (six males and three females) met the inclusion criteria. The time from trauma or surgery to SSS onset ranged from one to thirty-six months, with a median of three months in the posttraumatic group. All patients presented with unilateral enophthalmos or hypoglobus; eight reported diplopia. Surgical management, including retrograde uncinectomy and orbital reconstruction, restored orbital anatomy and resolved symptoms.</p><p><strong>Conclusion: </strong>Secondary SSS is a rare but significant condition requiring early recognition to prevent severe cosmetic and functional complications.</p><p><strong>Clinical relevance: </strong>Secondary SSS should be considered when patients present with unexplained orbital changes following trauma or surgery. Regular follow-up is recommended, especially in patients with orbital trauma or surgery involving the inferomedial strut. Further studies are necessary to clarify risk factors associated with secondary SSS.</p><p><strong>Clinical trial number: </strong>Not applicable.</p>","PeriodicalId":520733,"journal":{"name":"Oral and maxillofacial surgery","volume":"29 1","pages":"106"},"PeriodicalIF":1.8000,"publicationDate":"2025-05-22","publicationTypes":"Journal Article","fieldsOfStudy":null,"isOpenAccess":false,"openAccessPdf":"https://www.ncbi.nlm.nih.gov/pmc/articles/PMC12098178/pdf/","citationCount":"0","resultStr":null,"platform":"Semanticscholar","paperid":null,"PeriodicalName":"Oral and maxillofacial surgery","FirstCategoryId":"1085","ListUrlMain":"https://doi.org/10.1007/s10006-025-01391-x","RegionNum":0,"RegionCategory":null,"ArticlePicture":[],"TitleCN":null,"AbstractTextCN":null,"PMCID":null,"EPubDate":"","PubModel":"","JCR":"","JCRName":"","Score":null,"Total":0}
引用次数: 0

Abstract

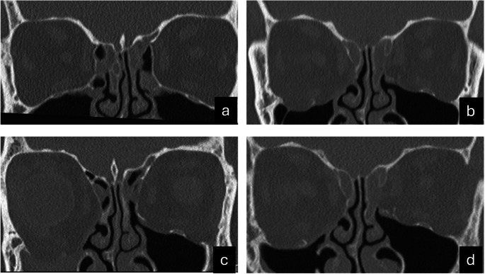
Objectives: Silent sinus syndrome (SSS) is a rare condition characterized by progressive maxillary sinus collapse, causing enophthalmos and hypoglobus without sinusitis symptoms. Secondary SSS arises from trauma or surgery disrupting mucociliary clearance. This study aims to analyze CT scan features, evaluate the timeline of SSS development, and identify contributing factors.

Materials and methods: Patients diagnosed with secondary (post-traumatic or iatrogenic) SSS between January 2015 and January 2024 at the Erasmus Medical Center were reviewed. Characteristics from pre-SSS (T1) and post-SSS (T2) stages, management, and clinical outcomes were recorded. Data on patient demographics, symptoms, orthoptic findings, and the time interval between trauma or surgery and SSS onset were also collected.

Results: Nine patients (six males and three females) met the inclusion criteria. The time from trauma or surgery to SSS onset ranged from one to thirty-six months, with a median of three months in the posttraumatic group. All patients presented with unilateral enophthalmos or hypoglobus; eight reported diplopia. Surgical management, including retrograde uncinectomy and orbital reconstruction, restored orbital anatomy and resolved symptoms.

Conclusion: Secondary SSS is a rare but significant condition requiring early recognition to prevent severe cosmetic and functional complications.

Clinical relevance: Secondary SSS should be considered when patients present with unexplained orbital changes following trauma or surgery. Regular follow-up is recommended, especially in patients with orbital trauma or surgery involving the inferomedial strut. Further studies are necessary to clarify risk factors associated with secondary SSS.

Clinical trial number: Not applicable.

Abstract Image

Abstract Image

创伤后和医源性沉默窦综合征:一个病例系列。
目的:沉默窦综合征(SSS)是一种罕见的疾病,其特征是上颌窦进行性塌陷,引起眼球内陷和球下,而没有鼻窦炎症状。继发性SSS是由于创伤或手术破坏了纤毛粘液的清除。本研究旨在分析CT扫描特征,评估SSS的发展时间表,并确定影响因素。材料和方法:回顾2015年1月至2024年1月在伊拉斯谟医学中心诊断为继发性(创伤后或医源性)SSS的患者。记录sss前(T1)和sss后(T2)分期、治疗和临床结果的特征。还收集了患者人口统计学、症状、正视检查结果以及创伤或手术与SSS发病之间的时间间隔的数据。结果:9例患者(男6例,女3例)符合纳入标准。从创伤或手术到SSS发作的时间从1到36个月不等,创伤后组的中位时间为3个月。所有患者均表现为单侧眼内陷或球下;8例报告复视。手术治疗,包括逆行阑尾切除术和眼眶重建,眼眶解剖结构恢复,症状缓解。结论:继发性SSS是一种罕见但重要的疾病,需要早期发现,以防止严重的美容和功能并发症。临床相关性:当患者在外伤或手术后出现不明原因的眼眶改变时,应考虑继发性SSS。建议定期随访,特别是眼眶外伤或手术涉及内侧支架的患者。需要进一步的研究来阐明继发性SSS的相关危险因素。临床试验号:不适用。
本文章由计算机程序翻译,如有差异,请以英文原文为准。
求助全文
约1分钟内获得全文 求助全文
来源期刊
自引率
0.00%
发文量
0
×
引用
GB/T 7714-2015
复制
MLA
复制
APA
复制
导出至
BibTeX EndNote RefMan NoteFirst NoteExpress
×
提示
您的信息不完整,为了账户安全,请先补充。
现在去补充
×
提示
您因"违规操作"
具体请查看互助需知
我知道了
×
提示
确定
请完成安全验证×
copy
已复制链接
快去分享给好友吧!
我知道了
右上角分享
点击右上角分享
0
联系我们:info@booksci.cn Book学术提供免费学术资源搜索服务,方便国内外学者检索中英文文献。致力于提供最便捷和优质的服务体验。 Copyright © 2023 布克学术 All rights reserved.
京ICP备2023020795号-1
ghs 京公网安备 11010802042870号
Book学术文献互助
Book学术文献互助群
群 号:604180095
Book学术官方微信