Determination of the effect of Tarantula cubensis alcoholic extract on cadmium embryotoxicity.

IF 1.1 4区 农林科学 Q3 ZOOLOGY
Veterinary Research Forum Pub Date : 2025-01-01 Epub Date: 2025-04-15 DOI:10.30466/vrf.2024.2031444.4313
Rahmi Canbar, Gokhan Akcakavak, Muhittin Uslu, Mustafa Sedat Arslan, Harun Kizilay
{"title":"Determination of the effect of <i>Tarantula cubensis</i> alcoholic extract on cadmium embryotoxicity.","authors":"Rahmi Canbar, Gokhan Akcakavak, Muhittin Uslu, Mustafa Sedat Arslan, Harun Kizilay","doi":"10.30466/vrf.2024.2031444.4313","DOIUrl":null,"url":null,"abstract":"<p><p><i>Tarantula cubensis</i> alcoholic extract (TCAE) is a homeopathic product used in the veterinary field. This study aimed to determine the effects of TCAE on cadmium (Cd) toxicity in the embryo. The study used 220 fertile, incubated chicken eggs divided into 11 equal groups on the 7<sup>th</sup> day of incubation. The groups comprised untreated and physiological saline control groups, a group with TCAE alone, four groups with varying doses of Cd alone and four groups with the same doses of Cd plus TCAE. At the end of the incubation period, the eggs were opened, kidney and liver tissue samples were taken for histopathology and the number of dead and living embryos were recorded. In the prsent study, the median lethal dose of Cd was determined to be 0.029 mg <i>per</i> egg and the median lethal dose of Cd plus TCAE was determined to be 0.020 mg <i>per</i> egg. The histopathological examinations determined that kidney and liver damage were increased when TCAE and Cd were administered together, that was higher than when Cd was given alone. Thus, TCAE, which had no toxic effect on the embryo when used alone, might increase the embryotoxic activity of Cd. However, more detailed studies are needed.</p>","PeriodicalId":23989,"journal":{"name":"Veterinary Research Forum","volume":"16 4","pages":"203-208"},"PeriodicalIF":1.1000,"publicationDate":"2025-01-01","publicationTypes":"Journal Article","fieldsOfStudy":null,"isOpenAccess":false,"openAccessPdf":"https://www.ncbi.nlm.nih.gov/pmc/articles/PMC12091261/pdf/","citationCount":"0","resultStr":null,"platform":"Semanticscholar","paperid":null,"PeriodicalName":"Veterinary Research Forum","FirstCategoryId":"97","ListUrlMain":"https://doi.org/10.30466/vrf.2024.2031444.4313","RegionNum":4,"RegionCategory":"农林科学","ArticlePicture":[],"TitleCN":null,"AbstractTextCN":null,"PMCID":null,"EPubDate":"2025/4/15 0:00:00","PubModel":"Epub","JCR":"Q3","JCRName":"ZOOLOGY","Score":null,"Total":0}
引用次数: 0

Abstract

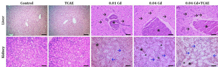
Tarantula cubensis alcoholic extract (TCAE) is a homeopathic product used in the veterinary field. This study aimed to determine the effects of TCAE on cadmium (Cd) toxicity in the embryo. The study used 220 fertile, incubated chicken eggs divided into 11 equal groups on the 7th day of incubation. The groups comprised untreated and physiological saline control groups, a group with TCAE alone, four groups with varying doses of Cd alone and four groups with the same doses of Cd plus TCAE. At the end of the incubation period, the eggs were opened, kidney and liver tissue samples were taken for histopathology and the number of dead and living embryos were recorded. In the prsent study, the median lethal dose of Cd was determined to be 0.029 mg per egg and the median lethal dose of Cd plus TCAE was determined to be 0.020 mg per egg. The histopathological examinations determined that kidney and liver damage were increased when TCAE and Cd were administered together, that was higher than when Cd was given alone. Thus, TCAE, which had no toxic effect on the embryo when used alone, might increase the embryotoxic activity of Cd. However, more detailed studies are needed.

Abstract Image

狼蛛酒精提取物对镉胚胎毒性影响的测定。
狼蛛酒精提取物(TCAE)是一种用于兽医领域的顺势疗法产品。本研究旨在确定TCAE对胚胎镉(Cd)毒性的影响。研究人员在孵化第7天将220枚可受精的鸡蛋分成11组。这些组包括未经治疗组和生理盐水对照组,单独使用TCAE组,单独使用不同剂量Cd的四组和相同剂量Cd加TCAE的四组。孵育结束后,取卵,取肾、肝组织标本进行组织病理学检查,记录死胚和活胚数量。在本研究中,Cd的中位致死剂量被确定为每只蛋0.029 mg, Cd加TCAE的中位致死剂量被确定为每只蛋0.020 mg。组织病理学检查发现,TCAE和Cd同时给药时,肾和肝损害加重,且比单独给药时加重。因此,单独使用时对胚胎没有毒性作用的TCAE可能会增加Cd的胚胎毒活性,但还需要更详细的研究。
本文章由计算机程序翻译,如有差异,请以英文原文为准。
求助全文
约1分钟内获得全文 求助全文
来源期刊
Veterinary Research Forum
Veterinary Research Forum Veterinary-General Veterinary
CiteScore
1.50
自引率
0.00%
发文量
0
审稿时长
8 weeks
期刊介绍: Veterinary Research Forum (VRF) is a quarterly international journal committed to publish worldwide contributions on all aspects of veterinary science and medicine, including anatomy and histology, physiology and pharmacology, anatomic and clinical pathology, parasitology, microbiology, immunology and epidemiology, food hygiene, poultry science, fish and aquaculture, anesthesia and surgery, large and small animal internal medicine, large and small animal reproduction, biotechnology and diagnostic imaging of domestic, companion and farm animals.
×
引用
GB/T 7714-2015
复制
MLA
复制
APA
复制
导出至
BibTeX EndNote RefMan NoteFirst NoteExpress
×
提示
您的信息不完整,为了账户安全,请先补充。
现在去补充
×
提示
您因"违规操作"
具体请查看互助需知
我知道了
×
提示
确定
请完成安全验证×
copy
已复制链接
快去分享给好友吧!
我知道了
右上角分享
点击右上角分享
0
联系我们:info@booksci.cn Book学术提供免费学术资源搜索服务,方便国内外学者检索中英文文献。致力于提供最便捷和优质的服务体验。 Copyright © 2023 布克学术 All rights reserved.
京ICP备2023020795号-1
ghs 京公网安备 11010802042870号
Book学术文献互助
Book学术文献互助群
群 号:604180095
Book学术官方微信