Management of Fused Primary Anterior Teeth: A Case Series.

IF 0.9 Q4 DENTISTRY, ORAL SURGERY & MEDICINE
Case Reports in Dentistry Pub Date : 2025-05-14 eCollection Date: 2025-01-01 DOI:10.1155/crid/6187804
Mohamed Salah Shalaby, Osama Ibrahim El Shahawy
{"title":"Management of Fused Primary Anterior Teeth: A Case Series.","authors":"Mohamed Salah Shalaby, Osama Ibrahim El Shahawy","doi":"10.1155/crid/6187804","DOIUrl":null,"url":null,"abstract":"<p><p>Fusion is a developmental dental anomaly that may affect both dentitions. The condition occurs during the developmental stage when two different tooth buds fuse. Depending on the degree of fusion, teeth may be diagnosed with fusion, gemination, or macrodontia. This defect is typically described as primary double teeth. The main clinical problems associated with primary double teeth include dental caries, crowding, occlusal discrepancies, and poor aesthetics. This report presents the clinical experience of managing 13 primary fused anterior teeth. The aim was to preserve and restore the decayed teeth while maintaining function and aesthetics. Treatment varied from the application of preventive measures to the separation of fused teeth. Clinical and radiographic diagnoses were used to determine the appropriate treatment plan. Decay removal was followed by restoration using either composite or zirconia crowns. Some teeth required pulp treatment before final restoration; therefore, pulpectomy was performed, and the canals were sealed with a calcium hydroxide and iodoform mix. Evaluation criteria included clinical success, gingival health, function, and aesthetic preservation. Follow-up periods ranged from 1 to 4 years. The follow-up of the presented cases demonstrated that the selected preventive, restorative, and surgical approaches successfully retained the affected teeth in a stable and healthy condition.</p>","PeriodicalId":46841,"journal":{"name":"Case Reports in Dentistry","volume":"2025 ","pages":"6187804"},"PeriodicalIF":0.9000,"publicationDate":"2025-05-14","publicationTypes":"Journal Article","fieldsOfStudy":null,"isOpenAccess":false,"openAccessPdf":"https://www.ncbi.nlm.nih.gov/pmc/articles/PMC12094869/pdf/","citationCount":"0","resultStr":null,"platform":"Semanticscholar","paperid":null,"PeriodicalName":"Case Reports in Dentistry","FirstCategoryId":"1085","ListUrlMain":"https://doi.org/10.1155/crid/6187804","RegionNum":0,"RegionCategory":null,"ArticlePicture":[],"TitleCN":null,"AbstractTextCN":null,"PMCID":null,"EPubDate":"2025/1/1 0:00:00","PubModel":"eCollection","JCR":"Q4","JCRName":"DENTISTRY, ORAL SURGERY & MEDICINE","Score":null,"Total":0}
引用次数: 0

Abstract

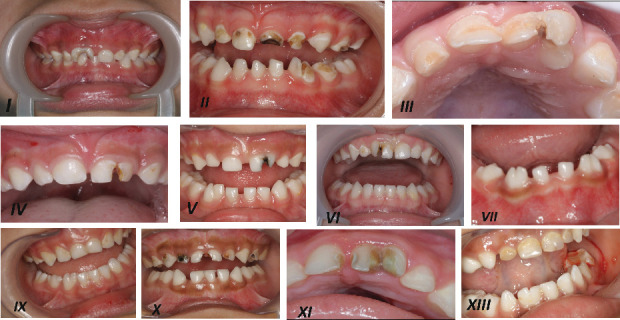
Fusion is a developmental dental anomaly that may affect both dentitions. The condition occurs during the developmental stage when two different tooth buds fuse. Depending on the degree of fusion, teeth may be diagnosed with fusion, gemination, or macrodontia. This defect is typically described as primary double teeth. The main clinical problems associated with primary double teeth include dental caries, crowding, occlusal discrepancies, and poor aesthetics. This report presents the clinical experience of managing 13 primary fused anterior teeth. The aim was to preserve and restore the decayed teeth while maintaining function and aesthetics. Treatment varied from the application of preventive measures to the separation of fused teeth. Clinical and radiographic diagnoses were used to determine the appropriate treatment plan. Decay removal was followed by restoration using either composite or zirconia crowns. Some teeth required pulp treatment before final restoration; therefore, pulpectomy was performed, and the canals were sealed with a calcium hydroxide and iodoform mix. Evaluation criteria included clinical success, gingival health, function, and aesthetic preservation. Follow-up periods ranged from 1 to 4 years. The follow-up of the presented cases demonstrated that the selected preventive, restorative, and surgical approaches successfully retained the affected teeth in a stable and healthy condition.

Abstract Image

Abstract Image

Abstract Image

处理融合的初级前牙:一个案例系列。
融合是一种发育性的牙齿异常,可能影响两个牙齿。这种情况发生在发育阶段,两个不同的牙芽融合在一起。根据融合的程度,牙齿可以被诊断为融合、长牙或大牙畸形。这种缺陷通常被描述为初级双牙。与乳牙相关的主要临床问题包括龋齿、拥挤、咬合不一致和美观不良。本文报告处理13颗乳牙融合前牙的临床经验。目的是保护和修复蛀牙,同时保持功能和美观。治疗方法各不相同,从预防措施的应用到牙融合分离。临床和影像学诊断用于确定合适的治疗方案。然后用复合冠或氧化锆冠进行修复。部分牙齿在最终修复前需要进行牙髓治疗;因此,行髓质切除术,并用氢氧化钙和碘仿混合物封闭管。评估标准包括临床成功、牙龈健康、功能和美观。随访期为1至4年。这些病例的随访表明,所选择的预防、修复和手术方法成功地使患牙保持在稳定和健康的状态。
本文章由计算机程序翻译,如有差异,请以英文原文为准。
求助全文
约1分钟内获得全文 求助全文
来源期刊
Case Reports in Dentistry
Case Reports in Dentistry DENTISTRY, ORAL SURGERY & MEDICINE-
CiteScore
1.40
自引率
12.50%
发文量
107
审稿时长
14 weeks
期刊介绍: Case Reports in Dentistry is a peer-reviewed, Open Access journal that publishes case reports and case series in all areas of dentistry, including periodontal diseases, dental implants, oral pathology, as well as oral and maxillofacial surgery.
×
引用
GB/T 7714-2015
复制
MLA
复制
APA
复制
导出至
BibTeX EndNote RefMan NoteFirst NoteExpress
×
提示
您的信息不完整,为了账户安全,请先补充。
现在去补充
×
提示
您因"违规操作"
具体请查看互助需知
我知道了
×
提示
确定
请完成安全验证×
copy
已复制链接
快去分享给好友吧!
我知道了
右上角分享
点击右上角分享
0
联系我们:info@booksci.cn Book学术提供免费学术资源搜索服务,方便国内外学者检索中英文文献。致力于提供最便捷和优质的服务体验。 Copyright © 2023 布克学术 All rights reserved.
京ICP备2023020795号-1
ghs 京公网安备 11010802042870号
Book学术文献互助
Book学术文献互助群
群 号:604180095
Book学术官方微信