Severe gastrointestinal manifestations in childhood-onset lupus: A single-center cohort and review of the literature.

IF 1.9 4区 医学 Q3 RHEUMATOLOGY
Lupus Pub Date : 2025-06-01 Epub Date: 2025-05-21 DOI:10.1177/09612033251345020
James Orozco, Jessica Nguyen, Sara Mm Yasrebi, Marnie Blalock, Sara L Grisales, Craig L Jensen, Marietta M DeGuzman
{"title":"Severe gastrointestinal manifestations in childhood-onset lupus: A single-center cohort and review of the literature.","authors":"James Orozco, Jessica Nguyen, Sara Mm Yasrebi, Marnie Blalock, Sara L Grisales, Craig L Jensen, Marietta M DeGuzman","doi":"10.1177/09612033251345020","DOIUrl":null,"url":null,"abstract":"<p><p>ObjectiveSystemic lupus erythematosus (SLE) is a complex autoimmune condition with diverse manifestations. Childhood-onset SLE (cSLE) presents more severely than adult-onset disease with a higher incidence of severe neurologic or renal manifestations and lower estimated survival rates. There is limited literature on the range of severe gastrointestinal manifestations at presentation in cSLE, and this lack of information results in underappreciation of these potentially life-threatening complications and little guidance regarding management of these patients.MethodsWe reviewed cases of patients with cSLE and severe GI manifestations at presentation diagnosed at our institution and additionally provide a comprehensive review of existing cases in the literature to discuss presenting symptoms, other clinical features, longitudinal course, treatment, and long-term outcomes.ResultsWe identified six cases of cSLE with primary, severe GI symptoms at time of diagnosis at our institution and an additional 25 patients who presented similarly in the literature. Severe GI manifestations included protein-losing enteropathy, thoracoabdominal aortitis, severe pancreatitis, lupus enteritis or mesenteric vasculitis, and intestinal pseudo-obstruction. Delays in diagnosis affected several patients, and 26% of patients required surgical intervention. Many patients required intensive immunomodulatory treatment in addition to prolonged bowel rest and parenteral nutrition. Long-term outcomes of GI manifestations varied overall, however, most patients at our institution achieved clinical remission.ConclusionsUnderstanding these rare cases of severe GI manifestations in cSLE can aid clinicians in prompt diagnosis and collaborative management, improving clinical outcomes for this vulnerable population.</p>","PeriodicalId":18044,"journal":{"name":"Lupus","volume":" ","pages":"721-741"},"PeriodicalIF":1.9000,"publicationDate":"2025-06-01","publicationTypes":"Journal Article","fieldsOfStudy":null,"isOpenAccess":false,"openAccessPdf":"https://www.ncbi.nlm.nih.gov/pmc/articles/PMC12123055/pdf/","citationCount":"0","resultStr":null,"platform":"Semanticscholar","paperid":null,"PeriodicalName":"Lupus","FirstCategoryId":"3","ListUrlMain":"https://doi.org/10.1177/09612033251345020","RegionNum":4,"RegionCategory":"医学","ArticlePicture":[],"TitleCN":null,"AbstractTextCN":null,"PMCID":null,"EPubDate":"2025/5/21 0:00:00","PubModel":"Epub","JCR":"Q3","JCRName":"RHEUMATOLOGY","Score":null,"Total":0}
引用次数: 0

Abstract

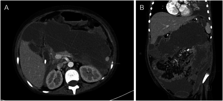
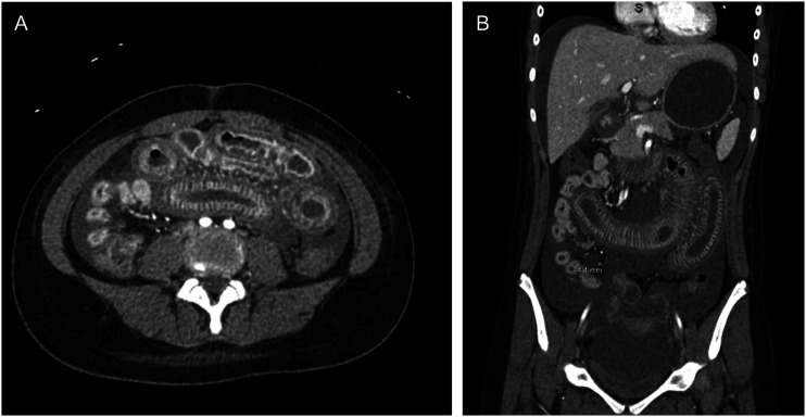
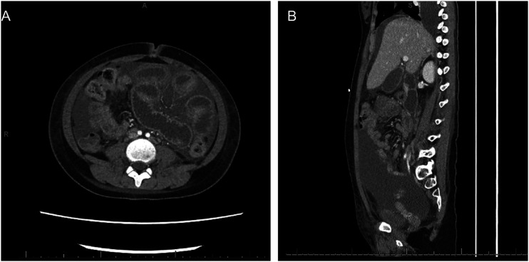
ObjectiveSystemic lupus erythematosus (SLE) is a complex autoimmune condition with diverse manifestations. Childhood-onset SLE (cSLE) presents more severely than adult-onset disease with a higher incidence of severe neurologic or renal manifestations and lower estimated survival rates. There is limited literature on the range of severe gastrointestinal manifestations at presentation in cSLE, and this lack of information results in underappreciation of these potentially life-threatening complications and little guidance regarding management of these patients.MethodsWe reviewed cases of patients with cSLE and severe GI manifestations at presentation diagnosed at our institution and additionally provide a comprehensive review of existing cases in the literature to discuss presenting symptoms, other clinical features, longitudinal course, treatment, and long-term outcomes.ResultsWe identified six cases of cSLE with primary, severe GI symptoms at time of diagnosis at our institution and an additional 25 patients who presented similarly in the literature. Severe GI manifestations included protein-losing enteropathy, thoracoabdominal aortitis, severe pancreatitis, lupus enteritis or mesenteric vasculitis, and intestinal pseudo-obstruction. Delays in diagnosis affected several patients, and 26% of patients required surgical intervention. Many patients required intensive immunomodulatory treatment in addition to prolonged bowel rest and parenteral nutrition. Long-term outcomes of GI manifestations varied overall, however, most patients at our institution achieved clinical remission.ConclusionsUnderstanding these rare cases of severe GI manifestations in cSLE can aid clinicians in prompt diagnosis and collaborative management, improving clinical outcomes for this vulnerable population.

Abstract Image

Abstract Image

Abstract Image

儿童期狼疮的严重胃肠道表现:单中心队列研究和文献回顾。
目的系统性红斑狼疮(SLE)是一种复杂的自身免疫性疾病,具有多种表现。儿童期发作的SLE (cSLE)比成人发作的疾病更严重,严重神经系统或肾脏表现的发生率更高,估计生存率更低。关于cSLE的严重胃肠道表现范围的文献有限,信息的缺乏导致对这些潜在危及生命的并发症的认识不足,并且对这些患者的管理也缺乏指导。方法我们回顾了在本院诊断出的有严重胃肠道症状的cSLE患者的病例,并对文献中已有的病例进行了全面的回顾,以讨论cSLE的症状、其他临床特征、纵向病程、治疗和长期结果。结果:我们确定了6例在本院诊断时伴有原发性严重胃肠道症状的cSLE患者,另外25例在文献中出现类似症状的患者。严重胃肠道表现包括蛋白丢失性肠病、胸腹主动脉炎、严重胰腺炎、狼疮性肠炎或肠系膜血管炎、假性肠梗阻。诊断延误影响了一些患者,26%的患者需要手术干预。许多患者需要强化免疫调节治疗,除了延长肠道休息和肠外营养。胃肠道表现的长期结果总体上各不相同,然而,我们机构的大多数患者都达到了临床缓解。结论了解这些罕见的严重胃肠道症状,有助于临床医生及时诊断和协同治疗,改善这一弱势群体的临床疗效。
本文章由计算机程序翻译,如有差异,请以英文原文为准。
求助全文
约1分钟内获得全文 求助全文
来源期刊
Lupus
Lupus 医学-风湿病学
CiteScore
4.20
自引率
11.50%
发文量
225
审稿时长
1 months
期刊介绍: The only fully peer reviewed international journal devoted exclusively to lupus (and related disease) research. Lupus includes the most promising new clinical and laboratory-based studies from leading specialists in all lupus-related disciplines. Invaluable reading, with extended coverage, lupus-related disciplines include: Rheumatology, Dermatology, Immunology, Obstetrics, Psychiatry and Cardiovascular Research…
×
引用
GB/T 7714-2015
复制
MLA
复制
APA
复制
导出至
BibTeX EndNote RefMan NoteFirst NoteExpress
×
提示
您的信息不完整,为了账户安全,请先补充。
现在去补充
×
提示
您因"违规操作"
具体请查看互助需知
我知道了
×
提示
确定
请完成安全验证×
copy
已复制链接
快去分享给好友吧!
我知道了
右上角分享
点击右上角分享
0
联系我们:info@booksci.cn Book学术提供免费学术资源搜索服务,方便国内外学者检索中英文文献。致力于提供最便捷和优质的服务体验。 Copyright © 2023 布克学术 All rights reserved.
京ICP备2023020795号-1
ghs 京公网安备 11010802042870号
Book学术文献互助
Book学术文献互助群
群 号:604180095
Book学术官方微信