Stereotactic ablative radiotherapy for patients with hepatocellular carcinoma: analysis of post-treatment radiology and explant histology.

Nekisa Zakeri, Ramanivas Sundareyan, Owen Cain, James Good, Tahir Shah, Shishir Shetty
{"title":"Stereotactic ablative radiotherapy for patients with hepatocellular carcinoma: analysis of post-treatment radiology and explant histology.","authors":"Nekisa Zakeri, Ramanivas Sundareyan, Owen Cain, James Good, Tahir Shah, Shishir Shetty","doi":"10.1038/s44276-025-00136-3","DOIUrl":null,"url":null,"abstract":"<p><strong>Background: </strong>Stereotactic ablative radiotherapy (SABR) has emerged as a new treatment modality for hepatocellular carcinoma (HCC). Evaluation of tumour responses following SABR are currently based on conventional radiological criteria used for locoregional therapies. Whether these criteria accurately reflect tumour responses following SABR remains unknown. In this study, we provide a direct comparison of post-SABR radiological evaluation and explant histology for patients with HCC who underwent bridging SABR prior to liver transplantation.</p><p><strong>Methods: </strong>Patients with HCC who received SABR as bridging therapy prior to liver transplantation (January 2016-December 2022) in a large UK liver transplant centre were included. Post-SABR imaging was reported by two specialist hepato-pancreato-biliary radiologists, and histological examination of the explanted liver was performed by experienced liver histopathologists.</p><p><strong>Results: </strong>Six patients with residual active HCC received SABR as bridging therapy prior to undergoing liver transplantation in our cohort. Of five patients with viable HCC detected on explant histology, recent radiological evaluation using LI-RADS treatment response criteria had suggested no evidence of residual active HCC for three patients, difficulty delineating residual disease from post-radiotherapy changes for one patient, and accurately identified viable tumour in one patient.</p><p><strong>Conclusion: </strong>In our case series conventional radiological criteria underestimated HCC tumour viability following SABR compared to explant histology. As the role for SABR expands in the management of HCC, caution is needed with radiological interpretation of HCC responses to radiotherapy using standard LI-RADS criteria. Prospective study in a larger cohort is required to identify radiological criteria capable of more conclusively evaluating HCC responses to SABR.</p>","PeriodicalId":519964,"journal":{"name":"BJC reports","volume":"3 1","pages":"36"},"PeriodicalIF":0.0000,"publicationDate":"2025-05-20","publicationTypes":"Journal Article","fieldsOfStudy":null,"isOpenAccess":false,"openAccessPdf":"https://www.ncbi.nlm.nih.gov/pmc/articles/PMC12092826/pdf/","citationCount":"0","resultStr":null,"platform":"Semanticscholar","paperid":null,"PeriodicalName":"BJC reports","FirstCategoryId":"1085","ListUrlMain":"https://doi.org/10.1038/s44276-025-00136-3","RegionNum":0,"RegionCategory":null,"ArticlePicture":[],"TitleCN":null,"AbstractTextCN":null,"PMCID":null,"EPubDate":"","PubModel":"","JCR":"","JCRName":"","Score":null,"Total":0}
引用次数: 0

Abstract

Background: Stereotactic ablative radiotherapy (SABR) has emerged as a new treatment modality for hepatocellular carcinoma (HCC). Evaluation of tumour responses following SABR are currently based on conventional radiological criteria used for locoregional therapies. Whether these criteria accurately reflect tumour responses following SABR remains unknown. In this study, we provide a direct comparison of post-SABR radiological evaluation and explant histology for patients with HCC who underwent bridging SABR prior to liver transplantation.

Methods: Patients with HCC who received SABR as bridging therapy prior to liver transplantation (January 2016-December 2022) in a large UK liver transplant centre were included. Post-SABR imaging was reported by two specialist hepato-pancreato-biliary radiologists, and histological examination of the explanted liver was performed by experienced liver histopathologists.

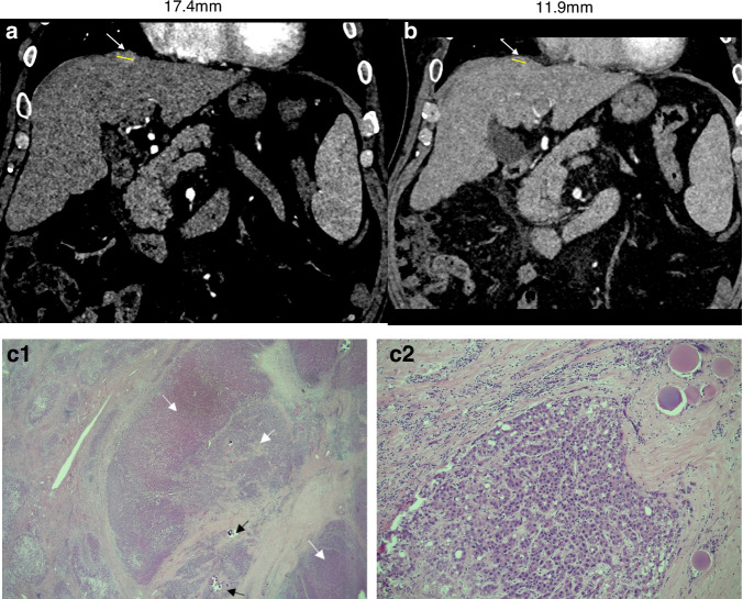
Results: Six patients with residual active HCC received SABR as bridging therapy prior to undergoing liver transplantation in our cohort. Of five patients with viable HCC detected on explant histology, recent radiological evaluation using LI-RADS treatment response criteria had suggested no evidence of residual active HCC for three patients, difficulty delineating residual disease from post-radiotherapy changes for one patient, and accurately identified viable tumour in one patient.

Conclusion: In our case series conventional radiological criteria underestimated HCC tumour viability following SABR compared to explant histology. As the role for SABR expands in the management of HCC, caution is needed with radiological interpretation of HCC responses to radiotherapy using standard LI-RADS criteria. Prospective study in a larger cohort is required to identify radiological criteria capable of more conclusively evaluating HCC responses to SABR.

Abstract Image

Abstract Image

立体定向消融放疗治疗肝癌:放疗后放射学及外植体组织学分析。
背景:立体定向消融放疗(SABR)已成为肝细胞癌(HCC)的一种新的治疗方式。目前对SABR后肿瘤反应的评估是基于用于局部区域治疗的传统放射学标准。这些标准是否准确反映SABR后的肿瘤反应仍然未知。在这项研究中,我们对肝移植前接受桥式SABR的HCC患者的SABR后放射学评估和外植体组织学进行了直接比较。方法:纳入了在英国一家大型肝移植中心接受SABR作为肝移植前桥接治疗的HCC患者(2016年1月- 2022年12月)。术后sabr成像由两名专业的肝胰胆放射科医生报告,外植肝的组织学检查由经验丰富的肝脏组织病理学家进行。结果:在我们的队列中,6例残余活动性HCC患者在接受肝移植前接受了SABR作为桥接治疗。在5例外植体组织学检测到活的HCC患者中,最近使用LI-RADS治疗反应标准的放射学评估显示,3例患者没有残留的活动性HCC的证据,1例患者难以从放疗后的变化中描绘残留的疾病,1例患者准确地识别出活的肿瘤。结论:在我们的病例系列中,与外植体组织学相比,常规放射学标准低估了SABR后HCC肿瘤的生存能力。随着SABR在HCC治疗中的作用扩大,使用标准LI-RADS标准对HCC放疗反应的放射学解释需要谨慎。需要在更大的队列中进行前瞻性研究,以确定能够更确切地评估肝癌对SABR反应的放射学标准。
本文章由计算机程序翻译,如有差异,请以英文原文为准。
求助全文
约1分钟内获得全文 求助全文
来源期刊
自引率
0.00%
发文量
0
×
引用
GB/T 7714-2015
复制
MLA
复制
APA
复制
导出至
BibTeX EndNote RefMan NoteFirst NoteExpress
×
提示
您的信息不完整,为了账户安全,请先补充。
现在去补充
×
提示
您因"违规操作"
具体请查看互助需知
我知道了
×
提示
确定
请完成安全验证×
copy
已复制链接
快去分享给好友吧!
我知道了
右上角分享
点击右上角分享
0
联系我们:info@booksci.cn Book学术提供免费学术资源搜索服务,方便国内外学者检索中英文文献。致力于提供最便捷和优质的服务体验。 Copyright © 2023 布克学术 All rights reserved.
京ICP备2023020795号-1
ghs 京公网安备 11010802042870号
Book学术文献互助
Book学术文献互助群
群 号:604180095
Book学术官方微信