[Imaging of colorectal cancer: Role of computed tomography colonography].

IF 0.6
Radiologie (Heidelberg, Germany) Pub Date : 2025-06-01 Epub Date: 2025-05-20 DOI:10.1007/s00117-025-01456-8
Thomas Mang, Nino Bogveradze, Michael Bergman, Simon Leitner, Martina Scharitzer
{"title":"[Imaging of colorectal cancer: Role of computed tomography colonography].","authors":"Thomas Mang, Nino Bogveradze, Michael Bergman, Simon Leitner, Martina Scharitzer","doi":"10.1007/s00117-025-01456-8","DOIUrl":null,"url":null,"abstract":"<p><strong>Background: </strong>Computed tomography colonography (CTC) is a minimally invasive examination for radiologic imaging of the entire colon and rectum. It has replaced the now obsolete barium enemas and represents an important option to colonoscopy for the detection of colorectal neoplasia.</p><p><strong>Objectives: </strong>The aim of this article is to review the current status of CTC for detection of colorectal cancer (CRC) and its precursors.</p><p><strong>Materials and methods: </strong>Based on an extensive literature research, the current role of CTC in colorectal cancer imaging is summarized. This includes not only CRC detection but also the role of CTC in CRC screening and surveillance.</p><p><strong>Results: </strong>CTC is a well-developed, minimally invasive examination for the identification of colorectal neoplasia. The diagnostic accuracy for colorectal adenomas and cancer is comparable to that of optical colonoscopy. Missed CRC cases are rare and typically result from perceptual or technical errors. In addition to the detection and characterization of carcinomas, CTC enables the visualization of prestenotic colonic segments and extracolonic structures. This allows for the preoperative detection of synchronous colonic neoplasms that are not endoscopically assessable as well as evaluation of abdominal tumor spread. Due to its ability to detect benign precancerous adenomas with high sensitivity, CTC can be used for opportunistic colorectal cancer screening. In CRC follow-up, CTC may be used to diagnose recurrence if colonoscopy is incomplete or not feasible.</p><p><strong>Conclusion: </strong>CTC is the radiological examination of choice for the detection of colorectal neoplasia. It is typically used in patients where colonoscopy is incomplete, contraindicated or refused. Moreover, CTC serves as a noninvasive option for opportunistic colorectal cancer screening.</p>","PeriodicalId":74635,"journal":{"name":"Radiologie (Heidelberg, Germany)","volume":" ","pages":"416-425"},"PeriodicalIF":0.6000,"publicationDate":"2025-06-01","publicationTypes":"Journal Article","fieldsOfStudy":null,"isOpenAccess":false,"openAccessPdf":"https://www.ncbi.nlm.nih.gov/pmc/articles/PMC12106516/pdf/","citationCount":"0","resultStr":null,"platform":"Semanticscholar","paperid":null,"PeriodicalName":"Radiologie (Heidelberg, Germany)","FirstCategoryId":"1085","ListUrlMain":"https://doi.org/10.1007/s00117-025-01456-8","RegionNum":0,"RegionCategory":null,"ArticlePicture":[],"TitleCN":null,"AbstractTextCN":null,"PMCID":null,"EPubDate":"2025/5/20 0:00:00","PubModel":"Epub","JCR":"","JCRName":"","Score":null,"Total":0}
引用次数: 0

Abstract

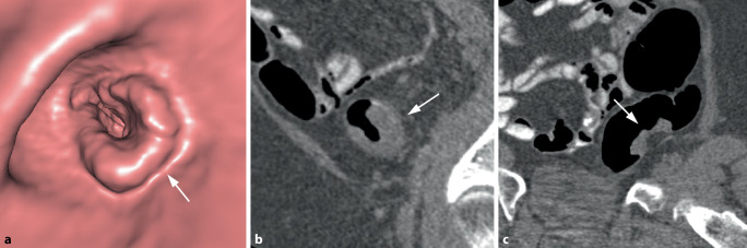
Background: Computed tomography colonography (CTC) is a minimally invasive examination for radiologic imaging of the entire colon and rectum. It has replaced the now obsolete barium enemas and represents an important option to colonoscopy for the detection of colorectal neoplasia.

Objectives: The aim of this article is to review the current status of CTC for detection of colorectal cancer (CRC) and its precursors.

Materials and methods: Based on an extensive literature research, the current role of CTC in colorectal cancer imaging is summarized. This includes not only CRC detection but also the role of CTC in CRC screening and surveillance.

Results: CTC is a well-developed, minimally invasive examination for the identification of colorectal neoplasia. The diagnostic accuracy for colorectal adenomas and cancer is comparable to that of optical colonoscopy. Missed CRC cases are rare and typically result from perceptual or technical errors. In addition to the detection and characterization of carcinomas, CTC enables the visualization of prestenotic colonic segments and extracolonic structures. This allows for the preoperative detection of synchronous colonic neoplasms that are not endoscopically assessable as well as evaluation of abdominal tumor spread. Due to its ability to detect benign precancerous adenomas with high sensitivity, CTC can be used for opportunistic colorectal cancer screening. In CRC follow-up, CTC may be used to diagnose recurrence if colonoscopy is incomplete or not feasible.

Conclusion: CTC is the radiological examination of choice for the detection of colorectal neoplasia. It is typically used in patients where colonoscopy is incomplete, contraindicated or refused. Moreover, CTC serves as a noninvasive option for opportunistic colorectal cancer screening.

Abstract Image

Abstract Image

Abstract Image

[结直肠癌影像学:计算机断层结肠镜的作用]。
背景:计算机断层结肠镜(CTC)是一种对整个结肠和直肠进行放射成像的微创检查。它已经取代了现在过时的钡灌肠,是结肠镜检查结直肠肿瘤的重要选择。目的:本文旨在综述CTC检测结直肠癌(CRC)及其前体的现状。材料与方法:在大量文献研究的基础上,总结目前CTC在结直肠癌影像学中的作用。这不仅包括CRC检测,还包括CTC在CRC筛查和监测中的作用。结果:CTC是一种成熟的、微创的结直肠肿瘤鉴别检查方法。结直肠腺瘤和结直肠癌的诊断准确性与光学结肠镜检查相当。漏诊的CRC病例很少,通常是由于知觉或技术上的错误。除了癌的检测和表征外,CTC还可以显示狭窄结肠段和结肠外结构。这允许术前检测同步结肠肿瘤,不能在内镜下评估,以及评估腹部肿瘤扩散。由于CTC检测良性癌前腺瘤的敏感性高,可用于机会性结直肠癌筛查。在结直肠癌随访中,如果结肠镜检查不完全或不可行,CTC可用于诊断复发。结论:CTC是检测结直肠肿瘤的首选影像学检查方法。它通常用于结肠镜检查不完整,禁忌或拒绝的患者。此外,CTC可作为机会性结直肠癌筛查的非侵入性选择。
本文章由计算机程序翻译,如有差异,请以英文原文为准。
求助全文
约1分钟内获得全文 求助全文
来源期刊
自引率
0.00%
发文量
0
×
引用
GB/T 7714-2015
复制
MLA
复制
APA
复制
导出至
BibTeX EndNote RefMan NoteFirst NoteExpress
×
提示
您的信息不完整,为了账户安全,请先补充。
现在去补充
×
提示
您因"违规操作"
具体请查看互助需知
我知道了
×
提示
确定
请完成安全验证×
copy
已复制链接
快去分享给好友吧!
我知道了
右上角分享
点击右上角分享
0
联系我们:info@booksci.cn Book学术提供免费学术资源搜索服务,方便国内外学者检索中英文文献。致力于提供最便捷和优质的服务体验。 Copyright © 2023 布克学术 All rights reserved.
京ICP备2023020795号-1
ghs 京公网安备 11010802042870号
Book学术文献互助
Book学术文献互助群
群 号:604180095
Book学术官方微信