The impact of dilated cardiomyopathy in relation to coronary artery dimensions and left ventricle myocardial mass in a model with excluded coronary atherosclerosis.

Cardiology journal Pub Date : 2025-01-01 Epub Date: 2025-05-20 DOI:10.5603/cj.104850
Jarosław Skowroński, Emilia Szudejko, Adam Banasiak, Kacper Milczanowski, Paweł Jelski, Ilona Michałowska, Cezary Kępka, Mariusz Kruk, Adam Witkowski, Jerzy Pręgowski
{"title":"The impact of dilated cardiomyopathy in relation to coronary artery dimensions and left ventricle myocardial mass in a model with excluded coronary atherosclerosis.","authors":"Jarosław Skowroński, Emilia Szudejko, Adam Banasiak, Kacper Milczanowski, Paweł Jelski, Ilona Michałowska, Cezary Kępka, Mariusz Kruk, Adam Witkowski, Jerzy Pręgowski","doi":"10.5603/cj.104850","DOIUrl":null,"url":null,"abstract":"<p><strong>Background: </strong>The diagnosis of dilated cardiomyopathy (DCM) requires exclusion of obstructive coronary artery disease (CAD). However, co-occurrence of DCM and non-obstructive coronary atherosclerotic plaque is frequent. Our objective was to evaluate the coronary artery dimensions and their relation to the left ventricle mass in DCM patients with excluded coronary atherosclerosis.</p><p><strong>Methods: </strong>Out of 426 patients with DCM who underwent computed coronary tomography angiography (CCTA), we identified 34 without signs of coronary atherosclerosis and compared them with 193 consecutive patients without DCM and atherosclerosis in CCTA. They were matched one to three by sex, coronary dominance pattern, and body-surface area (BSA). Left ventricle myocardial mass (LVMM) and proximal and middle coronary artery segment dimensions were evaluated with the use of dedicated, commercially available software.</p><p><strong>Results: </strong>Overall, coronary segment dimensions were not different between groups except for the medial left anterior descending segment and obtuse marginal, which were wider in the DCM group, while the proximal right coronary artery was larger in the non-DCM group. Total coronary artery volume (CAV) and LVMM/CAV ratio were greater in the DCM group (2879 [2535-3508] mm³ vs. 2521 [2120-3115] mm³, p = 0.03) and (0.062 [0.054-0.074] g/mm³ vs. 0.049 [0.039-0.058] mm³, p = 0.0002), respectively. Also, the LVMM/coronary artery ostial area (COA) ratio was larger in patients with DCM (5.4±1.3 g/mm² vs. 3.7 ± 1.1 g/mm², p < 0.0001). The independent positive predictors of a larger LVMM/CAV ratio were DCM and BSA, while age was a negative predictor. LVMM/COA ratio positive predictors were DCM and male sex.</p><p><strong>Conclusions: </strong>Patients with DCM have altered relationships between LVMM, CAV, and COA.</p>","PeriodicalId":93923,"journal":{"name":"Cardiology journal","volume":" ","pages":"369-379"},"PeriodicalIF":0.0000,"publicationDate":"2025-01-01","publicationTypes":"Journal Article","fieldsOfStudy":null,"isOpenAccess":false,"openAccessPdf":"https://www.ncbi.nlm.nih.gov/pmc/articles/PMC12410942/pdf/","citationCount":"0","resultStr":null,"platform":"Semanticscholar","paperid":null,"PeriodicalName":"Cardiology journal","FirstCategoryId":"1085","ListUrlMain":"https://doi.org/10.5603/cj.104850","RegionNum":0,"RegionCategory":null,"ArticlePicture":[],"TitleCN":null,"AbstractTextCN":null,"PMCID":null,"EPubDate":"2025/5/20 0:00:00","PubModel":"Epub","JCR":"","JCRName":"","Score":null,"Total":0}
引用次数: 0

Abstract

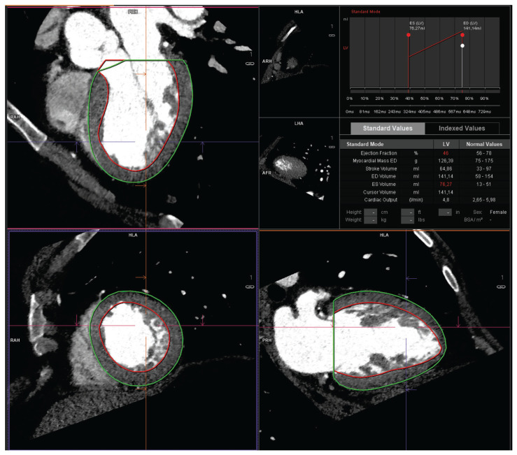
Background: The diagnosis of dilated cardiomyopathy (DCM) requires exclusion of obstructive coronary artery disease (CAD). However, co-occurrence of DCM and non-obstructive coronary atherosclerotic plaque is frequent. Our objective was to evaluate the coronary artery dimensions and their relation to the left ventricle mass in DCM patients with excluded coronary atherosclerosis.

Methods: Out of 426 patients with DCM who underwent computed coronary tomography angiography (CCTA), we identified 34 without signs of coronary atherosclerosis and compared them with 193 consecutive patients without DCM and atherosclerosis in CCTA. They were matched one to three by sex, coronary dominance pattern, and body-surface area (BSA). Left ventricle myocardial mass (LVMM) and proximal and middle coronary artery segment dimensions were evaluated with the use of dedicated, commercially available software.

Results: Overall, coronary segment dimensions were not different between groups except for the medial left anterior descending segment and obtuse marginal, which were wider in the DCM group, while the proximal right coronary artery was larger in the non-DCM group. Total coronary artery volume (CAV) and LVMM/CAV ratio were greater in the DCM group (2879 [2535-3508] mm³ vs. 2521 [2120-3115] mm³, p = 0.03) and (0.062 [0.054-0.074] g/mm³ vs. 0.049 [0.039-0.058] mm³, p = 0.0002), respectively. Also, the LVMM/coronary artery ostial area (COA) ratio was larger in patients with DCM (5.4±1.3 g/mm² vs. 3.7 ± 1.1 g/mm², p < 0.0001). The independent positive predictors of a larger LVMM/CAV ratio were DCM and BSA, while age was a negative predictor. LVMM/COA ratio positive predictors were DCM and male sex.

Conclusions: Patients with DCM have altered relationships between LVMM, CAV, and COA.

Abstract Image

Abstract Image

Abstract Image

在排除冠状动脉粥样硬化的模型中,扩张型心肌病对冠状动脉尺寸和左心室心肌质量的影响。
背景:扩张型心肌病(DCM)的诊断需要排除阻塞性冠状动脉疾病(CAD)。然而,DCM和非阻塞性冠状动脉粥样硬化斑块的共同发生是常见的。我们的目的是评估排除冠状动脉粥样硬化的DCM患者冠状动脉尺寸及其与左心室肿块的关系。方法:在426例DCM患者中进行了计算机冠状动脉断层扫描(CCTA),我们确定了34例无冠状动脉粥样硬化征象,并将其与连续193例无DCM和CCTA动脉粥样硬化的患者进行比较。他们按性别、冠状动脉优势模式和体表面积(BSA)进行1到3的匹配。使用专用的市售软件评估左心室心肌质量(LVMM)和冠状动脉近段和中段尺寸。结果:总体而言,两组间冠状动脉段尺寸除DCM组左前降段内侧和钝缘较宽外,无明显差异,而非DCM组右近端冠状动脉较宽。DCM组冠状动脉总容积(CAV)和LVMM/CAV比值较大(2879 [2535-3508]mm³vs. 2521 [2120-3115] mm³,p = 0.03)和(0.062 [0.054-0.074]g/mm³vs. 0.049 [0.039-0.058] mm³,p = 0.0002)。此外,DCM患者LVMM/冠状动脉口面积(COA)比值更大(5.4±1.3 g/mm²vs 3.7±1.1 g/mm²,p < 0.0001)。LVMM/CAV比值较大的独立阳性预测因子为DCM和BSA,而年龄为阴性预测因子。LVMM/COA比值阳性预测因子为DCM和男性。结论:DCM患者LVMM、CAV和COA之间的关系发生了改变。
本文章由计算机程序翻译,如有差异,请以英文原文为准。
求助全文
约1分钟内获得全文 求助全文
来源期刊
自引率
0.00%
发文量
0
×
引用
GB/T 7714-2015
复制
MLA
复制
APA
复制
导出至
BibTeX EndNote RefMan NoteFirst NoteExpress
×
提示
您的信息不完整,为了账户安全,请先补充。
现在去补充
×
提示
您因"违规操作"
具体请查看互助需知
我知道了
×
提示
确定
请完成安全验证×
copy
已复制链接
快去分享给好友吧!
我知道了
右上角分享
点击右上角分享
0
联系我们:info@booksci.cn Book学术提供免费学术资源搜索服务,方便国内外学者检索中英文文献。致力于提供最便捷和优质的服务体验。 Copyright © 2023 布克学术 All rights reserved.
京ICP备2023020795号-1
ghs 京公网安备 11010802042870号
Book学术文献互助
Book学术文献互助群
群 号:604180095
Book学术官方微信