Contiguous Two-Level Anterior Cervical Discectomy and Fusion Using Zero-P VA System: A Retrospective Study.

IF 2.3 Q2 ORTHOPEDICS
Orthopedic Research and Reviews Pub Date : 2025-05-16 eCollection Date: 2025-01-01 DOI:10.2147/ORR.S517491
Qiang Zhang, Zhe Chen, Yazhou Lin, Peng Cao, Xingkai Zhang, Wenjian Wu, Yu Liang
{"title":"Contiguous Two-Level Anterior Cervical Discectomy and Fusion Using Zero-P VA System: A Retrospective Study.","authors":"Qiang Zhang, Zhe Chen, Yazhou Lin, Peng Cao, Xingkai Zhang, Wenjian Wu, Yu Liang","doi":"10.2147/ORR.S517491","DOIUrl":null,"url":null,"abstract":"<p><strong>Purpose: </strong>The aim of this study was to explore short-term radiological findings after contiguous two-level ACDF with Zero-P VA devices.</p><p><strong>Methods: </strong>Patients who underwent contiguous two-level anterior cervical discectomy and fusion (ACDF) from C3 to C7 with a Zero-P VA system were followed. Cervical anteroposterior and lateral X-rays and functional outcomes were assessed 3 months after surgery.</p><p><strong>Results: </strong>Overall, 34.9% of patients had prosthesis subsidence and 74.6% screw loosening. Up to 46.8% of the patients with screw loosening also experienced prosthesis subsidence compared with 0 patients without screw loosening (<i>p</i>=0.0005). The screw-loosening rate was 91.7% in patients with poor positioning of the screw/cage and 70.6% in patients without poor positioning of the screw/cage, but no statistical difference was found between the groups (<i>p</i>=0.267). The subsidence rate was 50% in patients with poor positioning of the screw/cage and 31.4% in patients without poor positioning of the screw/cage, but no statistical difference was found between the groups (<i>p</i>=0.314). VAS scores of patients with prosthesis subsidence were much higher than those without (<i>p</i>=0.031), but this difference was not found for patients with or without screw loosening (<i>p</i>=0.116). The NDI scale was much higher in patients regradless of screw loosening or subsidence.</p><p><strong>Conclusion: </strong>Screw loosening and prosthesis subsidence happen frequently after contiguous two-level ACDF with Zero-P VA. Screw loosening seems to be the only risk factor for prosthesis subsidence.</p>","PeriodicalId":19608,"journal":{"name":"Orthopedic Research and Reviews","volume":"17 ","pages":"213-220"},"PeriodicalIF":2.3000,"publicationDate":"2025-05-16","publicationTypes":"Journal Article","fieldsOfStudy":null,"isOpenAccess":false,"openAccessPdf":"https://www.ncbi.nlm.nih.gov/pmc/articles/PMC12091234/pdf/","citationCount":"0","resultStr":null,"platform":"Semanticscholar","paperid":null,"PeriodicalName":"Orthopedic Research and Reviews","FirstCategoryId":"1085","ListUrlMain":"https://doi.org/10.2147/ORR.S517491","RegionNum":0,"RegionCategory":null,"ArticlePicture":[],"TitleCN":null,"AbstractTextCN":null,"PMCID":null,"EPubDate":"2025/1/1 0:00:00","PubModel":"eCollection","JCR":"Q2","JCRName":"ORTHOPEDICS","Score":null,"Total":0}
引用次数: 0

Abstract

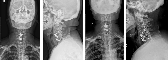
Purpose: The aim of this study was to explore short-term radiological findings after contiguous two-level ACDF with Zero-P VA devices.

Methods: Patients who underwent contiguous two-level anterior cervical discectomy and fusion (ACDF) from C3 to C7 with a Zero-P VA system were followed. Cervical anteroposterior and lateral X-rays and functional outcomes were assessed 3 months after surgery.

Results: Overall, 34.9% of patients had prosthesis subsidence and 74.6% screw loosening. Up to 46.8% of the patients with screw loosening also experienced prosthesis subsidence compared with 0 patients without screw loosening (p=0.0005). The screw-loosening rate was 91.7% in patients with poor positioning of the screw/cage and 70.6% in patients without poor positioning of the screw/cage, but no statistical difference was found between the groups (p=0.267). The subsidence rate was 50% in patients with poor positioning of the screw/cage and 31.4% in patients without poor positioning of the screw/cage, but no statistical difference was found between the groups (p=0.314). VAS scores of patients with prosthesis subsidence were much higher than those without (p=0.031), but this difference was not found for patients with or without screw loosening (p=0.116). The NDI scale was much higher in patients regradless of screw loosening or subsidence.

Conclusion: Screw loosening and prosthesis subsidence happen frequently after contiguous two-level ACDF with Zero-P VA. Screw loosening seems to be the only risk factor for prosthesis subsidence.

Abstract Image

Abstract Image

zero - pva系统连续二节段前路椎间盘切除术和融合:一项回顾性研究。
目的:本研究的目的是探讨连续两节段ACDF使用Zero-P VA装置后的短期放射学表现。方法:采用zero - pva系统对C3至C7行连续二节段前路椎间盘切除融合术(ACDF)的患者进行随访。术后3个月评估颈椎正位和侧位x光片及功能结果。结果:总体而言,34.9%的患者出现假体下沉,74.6%的患者出现螺钉松动。与没有螺钉松动的患者相比,高达46.8%的患者出现假体下沉(p=0.0005)。螺钉/保持器定位不良组的螺钉松动率为91.7%,螺钉/保持器定位良好组的螺钉松动率为70.6%,但两组间差异无统计学意义(p=0.267)。螺钉/保持器定位不良组下沉率为50%,螺钉/保持器定位良好组下沉率为31.4%,但两组间差异无统计学意义(p=0.314)。假体塌陷患者的VAS评分明显高于无塌陷患者(p=0.031),而有无螺钉松动患者的VAS评分差异无统计学意义(p=0.116)。不论螺钉是否松动或下沉,患者的NDI评分都要高得多。结论:连续二节段ACDF术后易发生螺钉松动和假体沉降,螺钉松动是导致假体沉降的唯一危险因素。
本文章由计算机程序翻译,如有差异,请以英文原文为准。
求助全文
约1分钟内获得全文 求助全文
来源期刊
Orthopedic Research and Reviews
Orthopedic Research and Reviews Medicine-Orthopedics and Sports Medicine
CiteScore
2.80
自引率
0.00%
发文量
51
审稿时长
16 weeks
期刊介绍: Orthopedic Research and Reviews is an international, peer-reviewed, open-access journal focusing on the patho-physiology of the musculoskeletal system, trauma, surgery and other corrective interventions to restore mobility and function. Advances in new technologies, materials, techniques and pharmacological agents will be particularly welcome. Specific topics covered in the journal include: Patho-physiology and bioengineering, Technologies and materials science, Surgical techniques, including robotics, Trauma management and care, Treatment including pharmacological and non-pharmacological, Rehabilitation and Multidisciplinarian care approaches, Patient quality of life, satisfaction and preference, Health economic evaluations. The journal welcomes submitted papers covering original research, basic science and technology, clinical studies, reviews and evaluations, guidelines, expert opinion and commentary, case reports and extended reports.
×
引用
GB/T 7714-2015
复制
MLA
复制
APA
复制
导出至
BibTeX EndNote RefMan NoteFirst NoteExpress
×
提示
您的信息不完整,为了账户安全,请先补充。
现在去补充
×
提示
您因"违规操作"
具体请查看互助需知
我知道了
×
提示
确定
请完成安全验证×
copy
已复制链接
快去分享给好友吧!
我知道了
右上角分享
点击右上角分享
0
联系我们:info@booksci.cn Book学术提供免费学术资源搜索服务,方便国内外学者检索中英文文献。致力于提供最便捷和优质的服务体验。 Copyright © 2023 布克学术 All rights reserved.
京ICP备2023020795号-1
ghs 京公网安备 11010802042870号
Book学术文献互助
Book学术文献互助群
群 号:604180095
Book学术官方微信