Recurrent DVT and Mediastinal Adenopathy: A Silent Manifestation of Gallbladder Cancer.

IF 0.8 Q3 MEDICINE, GENERAL & INTERNAL
Zakaria Alagha, Tata Avalishvili, Samuel Crow, Samhitha Gundakaram, Thomas McIntosh, Muhammad Ghallab, Yousef Shweihat, Bisher Mustafa, Amro Al-Astal, Ahmed Mahdi
{"title":"Recurrent DVT and Mediastinal Adenopathy: A Silent Manifestation of Gallbladder Cancer.","authors":"Zakaria Alagha, Tata Avalishvili, Samuel Crow, Samhitha Gundakaram, Thomas McIntosh, Muhammad Ghallab, Yousef Shweihat, Bisher Mustafa, Amro Al-Astal, Ahmed Mahdi","doi":"10.1177/23247096251340739","DOIUrl":null,"url":null,"abstract":"<p><p>Recurrent deep vein thrombosis (DVT) is a common complication, particularly in cancer patients. We present a case of a 50-year-old male with a history of a previous DVT. Despite therapeutic anticoagulation with apixaban, the patient developed recurrent DVT involving the common femoral, popliteal, and foreleg veins. He was started on a heparin drip in the hospital, but despite this, his DVT worsened. Imaging studies revealed mediastinal and hilar lymphadenopathy, raising suspicion of malignancy. The workup revealed elevated tumor markers, while the thrombophilia panel was unremarkable. Despite aggressive management, including mechanical thrombectomy, catheter-directed thrombolysis, and the placement of an inferior vena cava filter, the patient's condition continued to deteriorate. A biopsy of the mediastinal lymph nodes revealed poorly differentiated mucinous adenocarcinoma with molecular analysis consistent with hepatobiliary origin, and the patient was diagnosed with stage IVB gallbladder cancer. Given the rarity of gallbladder cancer and its association with hypercoagulability, this case highlights the importance of considering cancer as an underlying cause of recurrent DVT after ruling out common causes. Early recognition and a comprehensive diagnostic approach are essential for managing such cases. The patient was started on chemotherapy while maintaining anticoagulation for recurrent DVT.</p>","PeriodicalId":16198,"journal":{"name":"Journal of investigative medicine high impact case reports","volume":"13 ","pages":"23247096251340739"},"PeriodicalIF":0.8000,"publicationDate":"2025-01-01","publicationTypes":"Journal Article","fieldsOfStudy":null,"isOpenAccess":false,"openAccessPdf":"https://www.ncbi.nlm.nih.gov/pmc/articles/PMC12099096/pdf/","citationCount":"0","resultStr":null,"platform":"Semanticscholar","paperid":null,"PeriodicalName":"Journal of investigative medicine high impact case reports","FirstCategoryId":"1085","ListUrlMain":"https://doi.org/10.1177/23247096251340739","RegionNum":0,"RegionCategory":null,"ArticlePicture":[],"TitleCN":null,"AbstractTextCN":null,"PMCID":null,"EPubDate":"2025/5/21 0:00:00","PubModel":"Epub","JCR":"Q3","JCRName":"MEDICINE, GENERAL & INTERNAL","Score":null,"Total":0}
引用次数: 0

Abstract

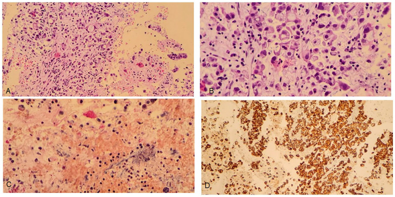
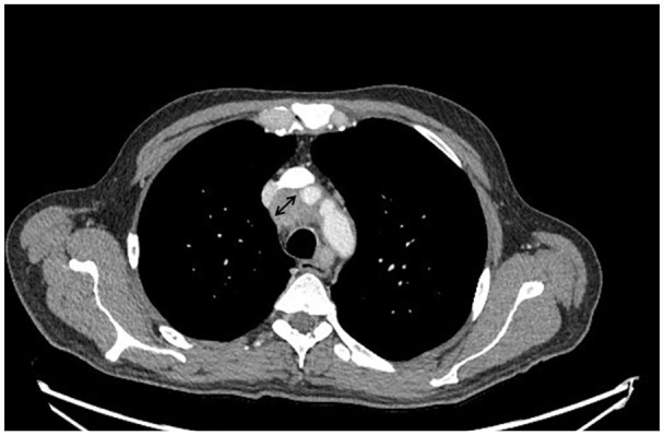
Recurrent deep vein thrombosis (DVT) is a common complication, particularly in cancer patients. We present a case of a 50-year-old male with a history of a previous DVT. Despite therapeutic anticoagulation with apixaban, the patient developed recurrent DVT involving the common femoral, popliteal, and foreleg veins. He was started on a heparin drip in the hospital, but despite this, his DVT worsened. Imaging studies revealed mediastinal and hilar lymphadenopathy, raising suspicion of malignancy. The workup revealed elevated tumor markers, while the thrombophilia panel was unremarkable. Despite aggressive management, including mechanical thrombectomy, catheter-directed thrombolysis, and the placement of an inferior vena cava filter, the patient's condition continued to deteriorate. A biopsy of the mediastinal lymph nodes revealed poorly differentiated mucinous adenocarcinoma with molecular analysis consistent with hepatobiliary origin, and the patient was diagnosed with stage IVB gallbladder cancer. Given the rarity of gallbladder cancer and its association with hypercoagulability, this case highlights the importance of considering cancer as an underlying cause of recurrent DVT after ruling out common causes. Early recognition and a comprehensive diagnostic approach are essential for managing such cases. The patient was started on chemotherapy while maintaining anticoagulation for recurrent DVT.

Abstract Image

Abstract Image

Abstract Image

复发性深静脉血栓和纵隔腺病:胆囊癌的无声表现。
复发性深静脉血栓形成(DVT)是常见的并发症,特别是在癌症患者中。我们提出了一个50岁的男性与以前深静脉血栓的历史的情况。尽管使用了阿哌沙班抗凝治疗,患者仍发生了累及股总静脉、腘静脉和前腿静脉的复发性深静脉血栓。他在医院开始滴注肝素,但尽管如此,他的深静脉血栓恶化了。影像学检查显示纵隔及肺门淋巴结病变,怀疑为恶性肿瘤。检查显示肿瘤标志物升高,而血栓形成组无明显变化。尽管进行了积极的治疗,包括机械取栓、导管导向溶栓和放置下腔静脉过滤器,但患者的病情继续恶化。纵隔淋巴结活检显示低分化粘液腺癌,分子分析与肝胆起源一致,诊断为IVB期胆囊癌。鉴于胆囊癌的罕见性及其与高凝性的相关性,本病例强调了在排除常见原因后将癌症视为复发性深静脉血栓的潜在原因的重要性。早期识别和综合诊断方法对于管理此类病例至关重要。患者开始化疗,同时维持抗凝治疗复发性深静脉血栓。
本文章由计算机程序翻译,如有差异,请以英文原文为准。
求助全文
约1分钟内获得全文 求助全文
来源期刊
CiteScore
1.90
自引率
0.00%
发文量
165
审稿时长
12 weeks
期刊介绍: The AFMR is committed to enhancing the training and career development of our members and to furthering its mission to facilitate the conduct of research to improve medical care. Case reports represent an important avenue for trainees (interns, residents, and fellows) and early-stage faculty to demonstrate productive, scholarly activity.
×
引用
GB/T 7714-2015
复制
MLA
复制
APA
复制
导出至
BibTeX EndNote RefMan NoteFirst NoteExpress
×
提示
您的信息不完整,为了账户安全,请先补充。
现在去补充
×
提示
您因"违规操作"
具体请查看互助需知
我知道了
×
提示
确定
请完成安全验证×
copy
已复制链接
快去分享给好友吧!
我知道了
右上角分享
点击右上角分享
0
联系我们:info@booksci.cn Book学术提供免费学术资源搜索服务,方便国内外学者检索中英文文献。致力于提供最便捷和优质的服务体验。 Copyright © 2023 布克学术 All rights reserved.
京ICP备2023020795号-1
ghs 京公网安备 11010802042870号
Book学术文献互助
Book学术文献互助群
群 号:604180095
Book学术官方微信