Altered Mental Status Due to Hyperammonemia Syndrome and PRES in a 31-Year-old Bone Marrow Transplant Recipient.

IF 0.8 Q3 MEDICINE, GENERAL & INTERNAL
Mary Bridget Lee, Daniel Gorman
{"title":"Altered Mental Status Due to Hyperammonemia Syndrome and PRES in a 31-Year-old Bone Marrow Transplant Recipient.","authors":"Mary Bridget Lee, Daniel Gorman","doi":"10.1177/23247096251344702","DOIUrl":null,"url":null,"abstract":"<p><p>Hyperammonemia syndrome and posterior reversible encephalopathy syndrome (PRES) are potentially devastating diagnoses in transplant patients. Their underlying etiologies and pathophysiologies remain incompletely understood, and while they are separately well-documented complications in posttransplant patients, they have not been described concurrently. Here we present a case of both hyperammonemia syndrome and PRES causing rapid mental status decline in a 31-year-old bone marrow transplant recipient. The patient had extensive testing to rule out other diagnoses and made a full recovery after correction of her hyperammonemia. Further research is needed to elucidate the underlying mechanisms of these disease processes; however, clinicians should keep both diagnoses in mind when treating transplant patients with acute neurologic changes.</p>","PeriodicalId":16198,"journal":{"name":"Journal of investigative medicine high impact case reports","volume":"13 ","pages":"23247096251344702"},"PeriodicalIF":0.8000,"publicationDate":"2025-01-01","publicationTypes":"Journal Article","fieldsOfStudy":null,"isOpenAccess":false,"openAccessPdf":"https://www.ncbi.nlm.nih.gov/pmc/articles/PMC12099132/pdf/","citationCount":"0","resultStr":null,"platform":"Semanticscholar","paperid":null,"PeriodicalName":"Journal of investigative medicine high impact case reports","FirstCategoryId":"1085","ListUrlMain":"https://doi.org/10.1177/23247096251344702","RegionNum":0,"RegionCategory":null,"ArticlePicture":[],"TitleCN":null,"AbstractTextCN":null,"PMCID":null,"EPubDate":"2025/5/21 0:00:00","PubModel":"Epub","JCR":"Q3","JCRName":"MEDICINE, GENERAL & INTERNAL","Score":null,"Total":0}
引用次数: 0

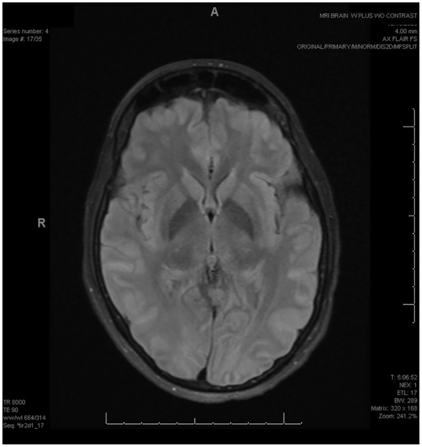
Abstract

Hyperammonemia syndrome and posterior reversible encephalopathy syndrome (PRES) are potentially devastating diagnoses in transplant patients. Their underlying etiologies and pathophysiologies remain incompletely understood, and while they are separately well-documented complications in posttransplant patients, they have not been described concurrently. Here we present a case of both hyperammonemia syndrome and PRES causing rapid mental status decline in a 31-year-old bone marrow transplant recipient. The patient had extensive testing to rule out other diagnoses and made a full recovery after correction of her hyperammonemia. Further research is needed to elucidate the underlying mechanisms of these disease processes; however, clinicians should keep both diagnoses in mind when treating transplant patients with acute neurologic changes.

Abstract Image

Abstract Image

Abstract Image

31岁骨髓移植受者高氨血症综合征及PRES所致精神状态改变
高氨血症综合征和后部可逆性脑病综合征(PRES)是移植患者潜在的毁灭性诊断。其潜在的病因和病理生理学尚不完全清楚,虽然它们是移植后患者的单独并发症,但尚未同时描述。在这里我们提出一个病例高氨血症综合征和PRES导致快速精神状态下降的31岁骨髓移植受者。患者接受了广泛的检查以排除其他诊断,并在纠正高氨血症后完全康复。需要进一步的研究来阐明这些疾病过程的潜在机制;然而,临床医生在治疗有急性神经系统改变的移植患者时应牢记这两种诊断。
本文章由计算机程序翻译,如有差异,请以英文原文为准。
求助全文
约1分钟内获得全文 求助全文
来源期刊
CiteScore
1.90
自引率
0.00%
发文量
165
审稿时长
12 weeks
期刊介绍: The AFMR is committed to enhancing the training and career development of our members and to furthering its mission to facilitate the conduct of research to improve medical care. Case reports represent an important avenue for trainees (interns, residents, and fellows) and early-stage faculty to demonstrate productive, scholarly activity.
×
引用
GB/T 7714-2015
复制
MLA
复制
APA
复制
导出至
BibTeX EndNote RefMan NoteFirst NoteExpress
×
提示
您的信息不完整,为了账户安全,请先补充。
现在去补充
×
提示
您因"违规操作"
具体请查看互助需知
我知道了
×
提示
确定
请完成安全验证×
copy
已复制链接
快去分享给好友吧!
我知道了
右上角分享
点击右上角分享
0
联系我们:info@booksci.cn Book学术提供免费学术资源搜索服务,方便国内外学者检索中英文文献。致力于提供最便捷和优质的服务体验。 Copyright © 2023 布克学术 All rights reserved.
京ICP备2023020795号-1
ghs 京公网安备 11010802042870号
Book学术文献互助
Book学术文献互助群
群 号:604180095
Book学术官方微信