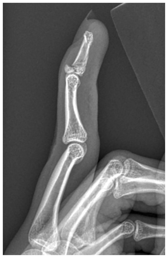
Mallet finger in a 19-year-old athlete.

IF 11.3 1区 医学 Q1 MEDICINE, GENERAL & INTERNAL
Stephanie Kim, Joo Hyung Yoon, Stahs Pripotnev
{"title":"Mallet finger in a 19-year-old athlete.","authors":"Stephanie Kim, Joo Hyung Yoon, Stahs Pripotnev","doi":"10.1503/cmaj.250150","DOIUrl":null,"url":null,"abstract":"","PeriodicalId":9609,"journal":{"name":"Canadian Medical Association journal","volume":"197 19","pages":"E532-E533"},"PeriodicalIF":11.3000,"publicationDate":"2025-05-19","publicationTypes":"Journal Article","fieldsOfStudy":null,"isOpenAccess":false,"openAccessPdf":"https://www.ncbi.nlm.nih.gov/pmc/articles/PMC12109096/pdf/","citationCount":"0","resultStr":null,"platform":"Semanticscholar","paperid":null,"PeriodicalName":"Canadian Medical Association journal","FirstCategoryId":"3","ListUrlMain":"https://doi.org/10.1503/cmaj.250150","RegionNum":1,"RegionCategory":"医学","ArticlePicture":[],"TitleCN":null,"AbstractTextCN":null,"PMCID":null,"EPubDate":"","PubModel":"","JCR":"Q1","JCRName":"MEDICINE, GENERAL & INTERNAL","Score":null,"Total":0}
引用次数: 0

Abstract Image

Abstract Image

一个19岁运动员的槌状手指。
本文章由计算机程序翻译,如有差异,请以英文原文为准。
求助全文
约1分钟内获得全文 求助全文
来源期刊
Canadian Medical Association journal
Canadian Medical Association journal 医学-医学:内科
CiteScore
8.30
自引率
4.10%
发文量
481
审稿时长
4-8 weeks
期刊介绍: CMAJ (Canadian Medical Association Journal) is a peer-reviewed general medical journal renowned for publishing original research, commentaries, analyses, reviews, clinical practice updates, and editorials. Led by Editor-in-Chief Dr. Kirsten Patrick, it has a significant impact on healthcare in Canada and globally, with a 2022 impact factor of 17.4. Its mission is to promote knowledge vital for the health of Canadians and the global community, guided by values of service, evidence, and integrity. The journal's vision emphasizes the importance of the best evidence, practice, and health outcomes. CMAJ covers a broad range of topics, focusing on contributing to the evidence base, influencing clinical practice, and raising awareness of pressing health issues among policymakers and the public. Since 2020, with the appointment of a Lead of Patient Involvement, CMAJ is committed to integrating patients into its governance and operations, encouraging their content submissions.
×
引用
GB/T 7714-2015
复制
MLA
复制
APA
复制
导出至
BibTeX EndNote RefMan NoteFirst NoteExpress
×
提示
您的信息不完整,为了账户安全,请先补充。
现在去补充
×
提示
您因"违规操作"
具体请查看互助需知
我知道了
×
提示
确定
请完成安全验证×
copy
已复制链接
快去分享给好友吧!
我知道了
右上角分享
点击右上角分享
0
联系我们:info@booksci.cn Book学术提供免费学术资源搜索服务,方便国内外学者检索中英文文献。致力于提供最便捷和优质的服务体验。 Copyright © 2023 布克学术 All rights reserved.
京ICP备2023020795号-1
ghs 京公网安备 11010802042870号
Book学术文献互助
Book学术文献互助群
群 号:604180095
Book学术官方微信