Two Cases With Atypical Presentation of Intestinal Malrotation During Adulthood.

IF 0.5 Q4 SURGERY
Case Reports in Surgery Pub Date : 2025-05-13 eCollection Date: 2025-01-01 DOI:10.1155/cris/9915368
Aaron Womer, Vaibhav Duggal, Charles E Thompson
{"title":"Two Cases With Atypical Presentation of Intestinal Malrotation During Adulthood.","authors":"Aaron Womer, Vaibhav Duggal, Charles E Thompson","doi":"10.1155/cris/9915368","DOIUrl":null,"url":null,"abstract":"<p><p>Intestinal malrotation is often considered a disease of the newborn. It involves the failure of the 270° counterclockwise rotation of the midgut during embryonic development. Patients typically present with symptoms such as bilious vomiting and can further be diagnosed through imaging. The complications of intestinal malrotation include midgut volvulus which can cause ischemia of the intestine. In order to prevent this feared complication and treat malrotation, the four-step Ladd's procedure was developed. Proficiency of the procedure is more common among pediatric surgeons due to the higher incidence rate of malrotation; however, it can occur at any age. Adult presentations are reported to account for only 0.2%-0.5% of all cases of intestinal malrotation. Due to that, adult general surgeons are less likely to encounter the pathology and need to perform a Ladd's procedure. However, with the consequences being so dire, the ability to perform Ladd's procedure remains important in all general surgeons. In this report, we present two cases of intestinal malrotation in adults managed with Ladd's procedure and emphasize the importance with familiarity of both the pathology and procedure.</p>","PeriodicalId":9600,"journal":{"name":"Case Reports in Surgery","volume":"2025 ","pages":"9915368"},"PeriodicalIF":0.5000,"publicationDate":"2025-05-13","publicationTypes":"Journal Article","fieldsOfStudy":null,"isOpenAccess":false,"openAccessPdf":"https://www.ncbi.nlm.nih.gov/pmc/articles/PMC12092148/pdf/","citationCount":"0","resultStr":null,"platform":"Semanticscholar","paperid":null,"PeriodicalName":"Case Reports in Surgery","FirstCategoryId":"1085","ListUrlMain":"https://doi.org/10.1155/cris/9915368","RegionNum":0,"RegionCategory":null,"ArticlePicture":[],"TitleCN":null,"AbstractTextCN":null,"PMCID":null,"EPubDate":"2025/1/1 0:00:00","PubModel":"eCollection","JCR":"Q4","JCRName":"SURGERY","Score":null,"Total":0}
引用次数: 0

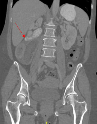
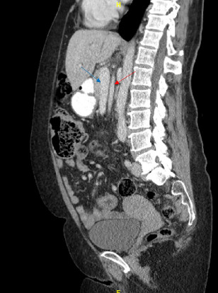
Abstract

Intestinal malrotation is often considered a disease of the newborn. It involves the failure of the 270° counterclockwise rotation of the midgut during embryonic development. Patients typically present with symptoms such as bilious vomiting and can further be diagnosed through imaging. The complications of intestinal malrotation include midgut volvulus which can cause ischemia of the intestine. In order to prevent this feared complication and treat malrotation, the four-step Ladd's procedure was developed. Proficiency of the procedure is more common among pediatric surgeons due to the higher incidence rate of malrotation; however, it can occur at any age. Adult presentations are reported to account for only 0.2%-0.5% of all cases of intestinal malrotation. Due to that, adult general surgeons are less likely to encounter the pathology and need to perform a Ladd's procedure. However, with the consequences being so dire, the ability to perform Ladd's procedure remains important in all general surgeons. In this report, we present two cases of intestinal malrotation in adults managed with Ladd's procedure and emphasize the importance with familiarity of both the pathology and procedure.

Abstract Image

Abstract Image

Abstract Image

成年期非典型肠旋转不良2例。
肠道旋转不良常被认为是新生儿的疾病。它涉及胚胎发育期间中肠270°逆时针旋转的失败。患者通常表现为胆汁性呕吐等症状,可通过影像学进一步诊断。肠道旋转不良的并发症包括中肠扭转,可引起肠道缺血。为了防止这种可怕的并发症和治疗旋转不良,我们开发了四步Ladd手术。由于较高的旋转不良发生率,熟练操作在儿科外科医生中更为常见;然而,它可以发生在任何年龄。据报道,成人表现仅占所有肠道旋转不良病例的0.2%-0.5%。因此,成年普通外科医生不太可能遇到这种病理,也不太需要进行拉德手术。然而,由于后果如此可怕,执行拉德手术的能力对所有普通外科医生来说仍然很重要。在这篇报告中,我们提出了两例成人肠道旋转不良的病例,并强调熟悉病理和手术的重要性。
本文章由计算机程序翻译,如有差异,请以英文原文为准。
求助全文
约1分钟内获得全文 求助全文
来源期刊
自引率
0.00%
发文量
60
审稿时长
13 weeks
×
引用
GB/T 7714-2015
复制
MLA
复制
APA
复制
导出至
BibTeX EndNote RefMan NoteFirst NoteExpress
×
提示
您的信息不完整,为了账户安全,请先补充。
现在去补充
×
提示
您因"违规操作"
具体请查看互助需知
我知道了
×
提示
确定
请完成安全验证×
copy
已复制链接
快去分享给好友吧!
我知道了
右上角分享
点击右上角分享
0
联系我们:info@booksci.cn Book学术提供免费学术资源搜索服务,方便国内外学者检索中英文文献。致力于提供最便捷和优质的服务体验。 Copyright © 2023 布克学术 All rights reserved.
京ICP备2023020795号-1
ghs 京公网安备 11010802042870号
Book学术文献互助
Book学术文献互助群
群 号:604180095
Book学术官方微信