Histopathological evaluation of trachea, lung, and mesonephros in specific pathogen free-eggs embryos inoculated for titration of avian infectious bronchitis virus M41 strain.

IF 1.1 4区 农林科学 Q3 ZOOLOGY
Veterinary Research Forum Pub Date : 2025-01-01 Epub Date: 2025-03-15 DOI:10.30466/vrf.2024.2032492.4322
Farhad Farhadi, Amir Abbas Farshid, Mohammad Hossein Alavi, Ali Ameghi, Seyede Soraya Mahmoudi
{"title":"Histopathological evaluation of trachea, lung, and mesonephros in specific pathogen free-eggs embryos inoculated for titration of avian infectious bronchitis virus M41 strain.","authors":"Farhad Farhadi, Amir Abbas Farshid, Mohammad Hossein Alavi, Ali Ameghi, Seyede Soraya Mahmoudi","doi":"10.30466/vrf.2024.2032492.4322","DOIUrl":null,"url":null,"abstract":"<p><p>Infectious bronchitis, being caused by a coronavirus, is a significant disease affecting broiler and layer chickens, leading to substantial losses in the poultry industry due to the high mortality rates and decreased egg yield. Nearly 30 serotypes and 100 variants were described to date; developed vaccines are being for some severe cases, like the Massachusetts strain, to mitigate the effects. Determining the vaccinal strain's titer is crucial for creating an effective vaccine, and calculating the virus infectivity in the egg embryo is very important using dilutions ranging from 10<sup>-3</sup> to 10<sup>-8</sup>, from each dilution 0.10 mL is used. The aim of this study was to determine the effects of the avian bronchitis virus injected into the allantoic cavity of ten days old embryonated eggs. Real-time polymerase chain reaction tests determined the viral load in the allantoic fluid. The embryos were removed to study gross injuries. The trachea, lung, and mesonephros were removed and submitted for histopathological studies, and nuclear factor-kappa B immunofluorescence analysis. The results revealed that the dilution of one-thousandth of the virus in the embryos caused the highest organ damage and viral replication. Varying degrees of hyperemia, edema, cellular infiltration, and degeneration were observed in the trachea, lung, and mesonephros depending on the virus dilution. This study provides valuable insights into the pathogenesis of the avian bronchitis virus, and has a potential impact on achieving an effective vaccine.</p>","PeriodicalId":23989,"journal":{"name":"Veterinary Research Forum","volume":"16 3","pages":"161-166"},"PeriodicalIF":1.1000,"publicationDate":"2025-01-01","publicationTypes":"Journal Article","fieldsOfStudy":null,"isOpenAccess":false,"openAccessPdf":"https://www.ncbi.nlm.nih.gov/pmc/articles/PMC12085937/pdf/","citationCount":"0","resultStr":null,"platform":"Semanticscholar","paperid":null,"PeriodicalName":"Veterinary Research Forum","FirstCategoryId":"97","ListUrlMain":"https://doi.org/10.30466/vrf.2024.2032492.4322","RegionNum":4,"RegionCategory":"农林科学","ArticlePicture":[],"TitleCN":null,"AbstractTextCN":null,"PMCID":null,"EPubDate":"2025/3/15 0:00:00","PubModel":"Epub","JCR":"Q3","JCRName":"ZOOLOGY","Score":null,"Total":0}
引用次数: 0

Abstract

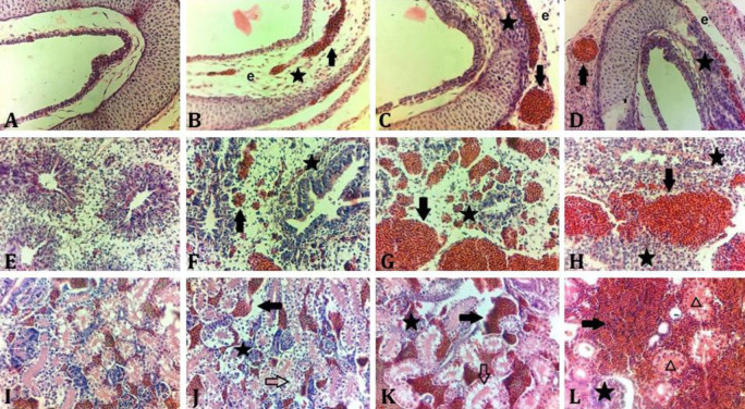
Infectious bronchitis, being caused by a coronavirus, is a significant disease affecting broiler and layer chickens, leading to substantial losses in the poultry industry due to the high mortality rates and decreased egg yield. Nearly 30 serotypes and 100 variants were described to date; developed vaccines are being for some severe cases, like the Massachusetts strain, to mitigate the effects. Determining the vaccinal strain's titer is crucial for creating an effective vaccine, and calculating the virus infectivity in the egg embryo is very important using dilutions ranging from 10-3 to 10-8, from each dilution 0.10 mL is used. The aim of this study was to determine the effects of the avian bronchitis virus injected into the allantoic cavity of ten days old embryonated eggs. Real-time polymerase chain reaction tests determined the viral load in the allantoic fluid. The embryos were removed to study gross injuries. The trachea, lung, and mesonephros were removed and submitted for histopathological studies, and nuclear factor-kappa B immunofluorescence analysis. The results revealed that the dilution of one-thousandth of the virus in the embryos caused the highest organ damage and viral replication. Varying degrees of hyperemia, edema, cellular infiltration, and degeneration were observed in the trachea, lung, and mesonephros depending on the virus dilution. This study provides valuable insights into the pathogenesis of the avian bronchitis virus, and has a potential impact on achieving an effective vaccine.

Abstract Image

Abstract Image

Abstract Image

禽传染性支气管炎病毒M41株接种特异性无病原体卵胚中气管、肺和中肾的组织病理学评价。
传染性支气管炎是由一种冠状病毒引起的,是影响肉鸡和蛋鸡的一种重要疾病,由于高死亡率和产蛋率下降,导致家禽业遭受重大损失。迄今已描述了近30种血清型和100种变异;开发的疫苗是针对一些严重的病例,如马萨诸塞州的菌株,以减轻影响。确定疫苗株的滴度对于制造有效的疫苗至关重要,使用10-3至10-8的稀释液计算病毒在卵胚中的感染性非常重要,每次稀释液使用0.10 mL。本研究的目的是确定将禽支气管炎病毒注射到10日龄胚蛋尿囊腔的效果。实时聚合酶链反应试验测定尿囊液中的病毒载量。胚胎被取出来研究严重损伤。取出气管、肺和中肾,进行组织病理学检查和核因子- κ B免疫荧光分析。结果显示,胚胎中千分之一的病毒稀释会造成最大的器官损伤和病毒复制。不同程度的充血、水肿、细胞浸润和变性在气管、肺和肾中观察到,这取决于病毒的稀释程度。这项研究为禽支气管炎病毒的发病机制提供了有价值的见解,并对获得有效的疫苗具有潜在的影响。
本文章由计算机程序翻译,如有差异,请以英文原文为准。
求助全文
约1分钟内获得全文 求助全文
来源期刊
Veterinary Research Forum
Veterinary Research Forum Veterinary-General Veterinary
CiteScore
1.50
自引率
0.00%
发文量
0
审稿时长
8 weeks
期刊介绍: Veterinary Research Forum (VRF) is a quarterly international journal committed to publish worldwide contributions on all aspects of veterinary science and medicine, including anatomy and histology, physiology and pharmacology, anatomic and clinical pathology, parasitology, microbiology, immunology and epidemiology, food hygiene, poultry science, fish and aquaculture, anesthesia and surgery, large and small animal internal medicine, large and small animal reproduction, biotechnology and diagnostic imaging of domestic, companion and farm animals.
×
引用
GB/T 7714-2015
复制
MLA
复制
APA
复制
导出至
BibTeX EndNote RefMan NoteFirst NoteExpress
×
提示
您的信息不完整,为了账户安全,请先补充。
现在去补充
×
提示
您因"违规操作"
具体请查看互助需知
我知道了
×
提示
确定
请完成安全验证×
copy
已复制链接
快去分享给好友吧!
我知道了
右上角分享
点击右上角分享
0
联系我们:info@booksci.cn Book学术提供免费学术资源搜索服务,方便国内外学者检索中英文文献。致力于提供最便捷和优质的服务体验。 Copyright © 2023 布克学术 All rights reserved.
京ICP备2023020795号-1
ghs 京公网安备 11010802042870号
Book学术文献互助
Book学术文献互助群
群 号:604180095
Book学术官方微信