Transurethral Treatment of a Seminal Vesicle Cyst With Lithiasis: Case Report.

IF 0.5 Q4 SURGERY
Case Reports in Surgery Pub Date : 2025-05-11 eCollection Date: 2025-01-01 DOI:10.1155/cris/5599829
Mohamadhusni Zarli, Joao G Porto, Ruben Blachman-Braun, Hemendra N Shah
{"title":"Transurethral Treatment of a Seminal Vesicle Cyst With Lithiasis: Case Report.","authors":"Mohamadhusni Zarli, Joao G Porto, Ruben Blachman-Braun, Hemendra N Shah","doi":"10.1155/cris/5599829","DOIUrl":null,"url":null,"abstract":"<p><p>Seminal vesicle cyst (SVC) is a rare condition that can arise from congenital or acquired causes. In this report, we describe the case of a 33-year-old male who was incidentally discovered to have SVC and seminal vesicle stones following complaints of abdominal pain. He presented to the emergency department with these symptoms, which prompted further investigation and diagnosis. Computerized tomography (CT) scan revealed diverticulitis and a fluid attenuation lesion within the right aspect of the prostate gland. He was referred to urology, and further evaluation showed a right SVC of 1.8 × 1.5 × 1.5 cm on magnetic resonance imaging (MRI). The patient underwent endoscopic drainage of the SVC via transurethral seminal vesiculoscopy (TRU-SVS) and holmium laser incision. Three stones ranging from 2 to 4 mm were identified and removed with N-gage basket from the seminal vesicle resulting in successful removal of the stones and restoration of the ejaculatory duct's patency. Follow-up visits showed resolution of pain and an improvement in semen volume. This case report highlights the importance of considering SVC as a differential diagnosis in male patients presenting with such symptoms. TRU-SVS is a feasible and effective treatment option for SVC and associated seminal vesicle stones.</p>","PeriodicalId":9600,"journal":{"name":"Case Reports in Surgery","volume":"2025 ","pages":"5599829"},"PeriodicalIF":0.5000,"publicationDate":"2025-05-11","publicationTypes":"Journal Article","fieldsOfStudy":null,"isOpenAccess":false,"openAccessPdf":"https://www.ncbi.nlm.nih.gov/pmc/articles/PMC12086032/pdf/","citationCount":"0","resultStr":null,"platform":"Semanticscholar","paperid":null,"PeriodicalName":"Case Reports in Surgery","FirstCategoryId":"1085","ListUrlMain":"https://doi.org/10.1155/cris/5599829","RegionNum":0,"RegionCategory":null,"ArticlePicture":[],"TitleCN":null,"AbstractTextCN":null,"PMCID":null,"EPubDate":"2025/1/1 0:00:00","PubModel":"eCollection","JCR":"Q4","JCRName":"SURGERY","Score":null,"Total":0}
引用次数: 0

Abstract

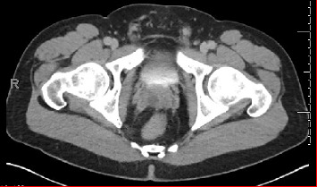
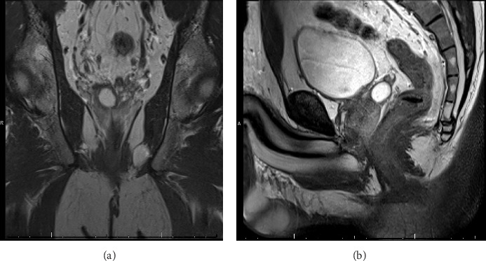
Seminal vesicle cyst (SVC) is a rare condition that can arise from congenital or acquired causes. In this report, we describe the case of a 33-year-old male who was incidentally discovered to have SVC and seminal vesicle stones following complaints of abdominal pain. He presented to the emergency department with these symptoms, which prompted further investigation and diagnosis. Computerized tomography (CT) scan revealed diverticulitis and a fluid attenuation lesion within the right aspect of the prostate gland. He was referred to urology, and further evaluation showed a right SVC of 1.8 × 1.5 × 1.5 cm on magnetic resonance imaging (MRI). The patient underwent endoscopic drainage of the SVC via transurethral seminal vesiculoscopy (TRU-SVS) and holmium laser incision. Three stones ranging from 2 to 4 mm were identified and removed with N-gage basket from the seminal vesicle resulting in successful removal of the stones and restoration of the ejaculatory duct's patency. Follow-up visits showed resolution of pain and an improvement in semen volume. This case report highlights the importance of considering SVC as a differential diagnosis in male patients presenting with such symptoms. TRU-SVS is a feasible and effective treatment option for SVC and associated seminal vesicle stones.

Abstract Image

Abstract Image

Abstract Image

经尿道治疗精囊囊肿伴结石1例。
精囊囊肿(SVC)是一种罕见的疾病,可由先天性或后天原因引起。在这个报告中,我们描述了一个33岁的男性谁偶然发现有SVC和精囊结石后主诉腹痛的情况。他以这些症状来到急诊科,这促使了进一步的调查和诊断。计算机断层扫描(CT)显示憩室炎和前列腺右侧的液体衰减病变。转至泌尿外科,MRI示右侧SVC 1.8 × 1.5 × 1.5 cm。经尿道精囊镜(trusvs)和钬激光切口对SVC进行内镜引流。鉴定出3个2 - 4毫米大小的结石,用n量规筐从精囊中取出,成功取出结石,恢复射精管通畅。随访显示疼痛缓解,精液量改善。本病例报告强调了将SVC作为男性患者的鉴别诊断的重要性。truv - svs是SVC及相关精囊结石可行有效的治疗选择。
本文章由计算机程序翻译,如有差异,请以英文原文为准。
求助全文
约1分钟内获得全文 求助全文
来源期刊
自引率
0.00%
发文量
60
审稿时长
13 weeks
×
引用
GB/T 7714-2015
复制
MLA
复制
APA
复制
导出至
BibTeX EndNote RefMan NoteFirst NoteExpress
×
提示
您的信息不完整,为了账户安全,请先补充。
现在去补充
×
提示
您因"违规操作"
具体请查看互助需知
我知道了
×
提示
确定
请完成安全验证×
copy
已复制链接
快去分享给好友吧!
我知道了
右上角分享
点击右上角分享
0
联系我们:info@booksci.cn Book学术提供免费学术资源搜索服务,方便国内外学者检索中英文文献。致力于提供最便捷和优质的服务体验。 Copyright © 2023 布克学术 All rights reserved.
京ICP备2023020795号-1
ghs 京公网安备 11010802042870号
Book学术文献互助
Book学术文献互助群
群 号:604180095
Book学术官方微信