Chronic atrial and intestinal dysrhythmia: A rare genetic disorder of intestinal pseudo-obstruction.

JPGN reports Pub Date : 2025-02-19 eCollection Date: 2025-05-01 DOI:10.1002/jpr3.12158
Kanya Ahuja, Shivany Pathania, Nicole Baron, Julie Khlevner, Martin Bialer, Jennifer Mait-Kaufman
{"title":"Chronic atrial and intestinal dysrhythmia: A rare genetic disorder of intestinal pseudo-obstruction.","authors":"Kanya Ahuja, Shivany Pathania, Nicole Baron, Julie Khlevner, Martin Bialer, Jennifer Mait-Kaufman","doi":"10.1002/jpr3.12158","DOIUrl":null,"url":null,"abstract":"<p><p>Pediatric intestinal pseudo-obstruction (PIPO) is a rare and severe disorder of gastrointestinal (GI) motility; patients with PIPO display signs and symptoms of intestinal obstruction in the absence of occluding lesions. Chronic atrial and intestinal dysrhythmia (CAID) syndrome is an exceedingly rare autosomal recessive disorder caused by mutations in the SGO1 gene; SGO1 mutations disrupt the cohesin complex, a protein involved in chromosome organization during cell division and hence, DNA stability. CAID leads to both GI and cardiac dysfunction. This case report highlights an exceptional instance of early-onset pediatric CAID marked by recurrent pseudo-obstruction and, notably, developmental delay, which has not been previously described. The case emphasizes the importance of genetic evaluation in pediatric patients with unexplained pseudo-obstruction, and the importance of multidisciplinary management.</p>","PeriodicalId":501015,"journal":{"name":"JPGN reports","volume":"6 2","pages":"162-165"},"PeriodicalIF":0.0000,"publicationDate":"2025-02-19","publicationTypes":"Journal Article","fieldsOfStudy":null,"isOpenAccess":false,"openAccessPdf":"https://www.ncbi.nlm.nih.gov/pmc/articles/PMC12078061/pdf/","citationCount":"0","resultStr":null,"platform":"Semanticscholar","paperid":null,"PeriodicalName":"JPGN reports","FirstCategoryId":"1085","ListUrlMain":"https://doi.org/10.1002/jpr3.12158","RegionNum":0,"RegionCategory":null,"ArticlePicture":[],"TitleCN":null,"AbstractTextCN":null,"PMCID":null,"EPubDate":"2025/5/1 0:00:00","PubModel":"eCollection","JCR":"","JCRName":"","Score":null,"Total":0}
引用次数: 0

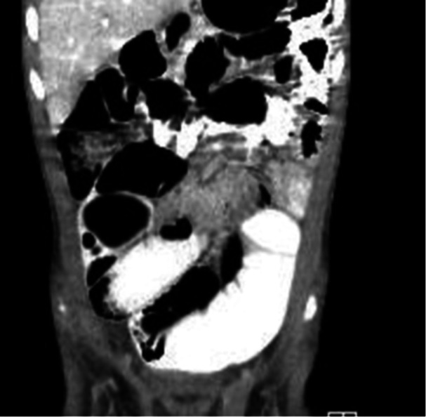
Abstract

Pediatric intestinal pseudo-obstruction (PIPO) is a rare and severe disorder of gastrointestinal (GI) motility; patients with PIPO display signs and symptoms of intestinal obstruction in the absence of occluding lesions. Chronic atrial and intestinal dysrhythmia (CAID) syndrome is an exceedingly rare autosomal recessive disorder caused by mutations in the SGO1 gene; SGO1 mutations disrupt the cohesin complex, a protein involved in chromosome organization during cell division and hence, DNA stability. CAID leads to both GI and cardiac dysfunction. This case report highlights an exceptional instance of early-onset pediatric CAID marked by recurrent pseudo-obstruction and, notably, developmental delay, which has not been previously described. The case emphasizes the importance of genetic evaluation in pediatric patients with unexplained pseudo-obstruction, and the importance of multidisciplinary management.

Abstract Image

Abstract Image

Abstract Image

慢性心房和肠道心律失常:一种罕见的遗传性肠假性梗阻疾病。
小儿假性肠梗阻(PIPO)是一种罕见而严重的胃肠运动障碍;PIPO患者在没有闭塞性病变的情况下表现出肠梗阻的体征和症状。慢性心房和肠道心律失常(CAID)综合征是一种极其罕见的常染色体隐性遗传病,由SGO1基因突变引起;SGO1突变破坏了内聚蛋白复合物,这是一种在细胞分裂过程中参与染色体组织的蛋白质,因此影响了DNA的稳定性。CAID可导致胃肠道和心功能障碍。本病例报告强调了一个罕见的早发性儿童CAID,其特征是反复出现假性梗阻,特别是发育迟缓,这在以前没有被描述过。该病例强调了遗传评估在小儿不明原因假性梗阻患者中的重要性,以及多学科管理的重要性。
本文章由计算机程序翻译,如有差异,请以英文原文为准。
求助全文
约1分钟内获得全文 求助全文
来源期刊
自引率
0.00%
发文量
0
×
引用
GB/T 7714-2015
复制
MLA
复制
APA
复制
导出至
BibTeX EndNote RefMan NoteFirst NoteExpress
×
提示
您的信息不完整,为了账户安全,请先补充。
现在去补充
×
提示
您因"违规操作"
具体请查看互助需知
我知道了
×
提示
确定
请完成安全验证×
copy
已复制链接
快去分享给好友吧!
我知道了
右上角分享
点击右上角分享
0
联系我们:info@booksci.cn Book学术提供免费学术资源搜索服务,方便国内外学者检索中英文文献。致力于提供最便捷和优质的服务体验。 Copyright © 2023 布克学术 All rights reserved.
京ICP备2023020795号-1
ghs 京公网安备 11010802042870号
Book学术文献互助
Book学术文献互助群
群 号:604180095
Book学术官方微信