A novel approach to stabilization of bleeding gastroesophageal varices in infants.

JPGN reports Pub Date : 2025-03-24 eCollection Date: 2025-05-01 DOI:10.1002/jpr3.70018
Sussette G Szachowicz, Elyse Kerian, Catherine DeGeeter, Riad Rahhal
{"title":"A novel approach to stabilization of bleeding gastroesophageal varices in infants.","authors":"Sussette G Szachowicz, Elyse Kerian, Catherine DeGeeter, Riad Rahhal","doi":"10.1002/jpr3.70018","DOIUrl":null,"url":null,"abstract":"<p><p>Gastroesophageal variceal bleeding is the most serious complication of portal hypertension. The interventions available including sclerotherapy, variceal banding, and balloon tamponade, are limited by patient age. A 4-month-old with congenital cytomegalovirus, cholestasis, splenomegaly presented to the emergency room after two episodes of hematemesis. The patient required a transfusion of packed red blood cells for anemia. Upper endoscopy revealed no active bleeding, four grade 3 esophageal varices with red wale signs, and a single gastric varix. Sclerotherapy into high-risk varices was completed. Forty-eight hours later, patient developed re-bleeding. Upper endoscopy revealed bright red blood in the stomach. A large clot at the gastroesophageal junction was attributed to the gastric varix. Given the age of the patient and small size, endoscopic bleeding control interventions were limited. A foley catheter was placed in an orogastric manner for balloon tamponade. The intervention was a temporizing measure to allow for transfer to a liver transplant center.</p>","PeriodicalId":501015,"journal":{"name":"JPGN reports","volume":"6 2","pages":"209-212"},"PeriodicalIF":0.0000,"publicationDate":"2025-03-24","publicationTypes":"Journal Article","fieldsOfStudy":null,"isOpenAccess":false,"openAccessPdf":"https://www.ncbi.nlm.nih.gov/pmc/articles/PMC12078041/pdf/","citationCount":"0","resultStr":null,"platform":"Semanticscholar","paperid":null,"PeriodicalName":"JPGN reports","FirstCategoryId":"1085","ListUrlMain":"https://doi.org/10.1002/jpr3.70018","RegionNum":0,"RegionCategory":null,"ArticlePicture":[],"TitleCN":null,"AbstractTextCN":null,"PMCID":null,"EPubDate":"2025/5/1 0:00:00","PubModel":"eCollection","JCR":"","JCRName":"","Score":null,"Total":0}
引用次数: 0

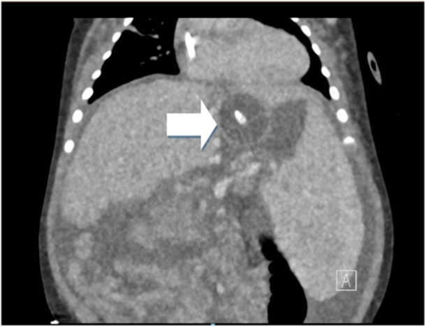
Abstract

Gastroesophageal variceal bleeding is the most serious complication of portal hypertension. The interventions available including sclerotherapy, variceal banding, and balloon tamponade, are limited by patient age. A 4-month-old with congenital cytomegalovirus, cholestasis, splenomegaly presented to the emergency room after two episodes of hematemesis. The patient required a transfusion of packed red blood cells for anemia. Upper endoscopy revealed no active bleeding, four grade 3 esophageal varices with red wale signs, and a single gastric varix. Sclerotherapy into high-risk varices was completed. Forty-eight hours later, patient developed re-bleeding. Upper endoscopy revealed bright red blood in the stomach. A large clot at the gastroesophageal junction was attributed to the gastric varix. Given the age of the patient and small size, endoscopic bleeding control interventions were limited. A foley catheter was placed in an orogastric manner for balloon tamponade. The intervention was a temporizing measure to allow for transfer to a liver transplant center.

Abstract Image

Abstract Image

Abstract Image

一种稳定婴儿胃食管静脉曲张出血的新方法。
胃食管静脉曲张出血是门静脉高压最严重的并发症。可用的干预措施包括硬化疗法、静脉曲张绑扎和球囊填塞,但受患者年龄限制。一个4个月大的先天性巨细胞病毒,胆汁淤积,脾肿大提出了急诊室后两次发作呕血。这个病人因贫血需要输注浓缩红细胞。上腔镜检查未发现活动性出血,4个3级食管静脉曲张伴红壁征,1个胃静脉曲张。完成高危静脉曲张硬化治疗。48小时后,患者再次出血。上镜检查显示胃内有鲜红色的血液。胃食管交界处的大血块是由胃静脉曲张引起的。考虑到患者的年龄和小尺寸,内镜下出血控制干预是有限的。为了防止球囊填塞,我们在胃内放置了一根foley导尿管。干预是一种临时措施,以便转移到肝移植中心。
本文章由计算机程序翻译,如有差异,请以英文原文为准。
求助全文
约1分钟内获得全文 求助全文
来源期刊
自引率
0.00%
发文量
0
×
引用
GB/T 7714-2015
复制
MLA
复制
APA
复制
导出至
BibTeX EndNote RefMan NoteFirst NoteExpress
×
提示
您的信息不完整,为了账户安全,请先补充。
现在去补充
×
提示
您因"违规操作"
具体请查看互助需知
我知道了
×
提示
确定
请完成安全验证×
copy
已复制链接
快去分享给好友吧!
我知道了
右上角分享
点击右上角分享
0
联系我们:info@booksci.cn Book学术提供免费学术资源搜索服务,方便国内外学者检索中英文文献。致力于提供最便捷和优质的服务体验。 Copyright © 2023 布克学术 All rights reserved.
京ICP备2023020795号-1
ghs 京公网安备 11010802042870号
Book学术文献互助
Book学术文献互助群
群 号:604180095
Book学术官方微信