A case of Crohn's disease in a patient with megacystis microcolon intestinal hypoperistalsis syndrome.

JPGN reports Pub Date : 2025-03-10 eCollection Date: 2025-05-01 DOI:10.1002/jpr3.70015
Caroline Chinchilla Putzeys, Trenton House, Janet Iurilli, Ana Gomez, Shipra Garg, Elisa Wershba, Gary Silber, Mitchell Shub, Dana Williams
{"title":"A case of Crohn's disease in a patient with megacystis microcolon intestinal hypoperistalsis syndrome.","authors":"Caroline Chinchilla Putzeys, Trenton House, Janet Iurilli, Ana Gomez, Shipra Garg, Elisa Wershba, Gary Silber, Mitchell Shub, Dana Williams","doi":"10.1002/jpr3.70015","DOIUrl":null,"url":null,"abstract":"<p><p>Megacystis microcolon intestinal hypoperistalsis syndrome (MMIHS) is a rare congenital condition resulting in symptoms of bowel and bladder pseudo-obstruction. It carries severe morbidity and mortality; a minority of patients survive to adulthood. Recurrent bowel surgeries, small intestinal bacterial overgrowth, and slowed intestinal transit in MMIHS could serve as potential risk factors for chronic inflammation of the intestinal mucosa, which has been associated with risk of inflammatory bowel disease. In this case report, we detail the unusual presentation of a patient diagnosed with both MMIHS and inflammatory bowel disease.</p>","PeriodicalId":501015,"journal":{"name":"JPGN reports","volume":"6 2","pages":"184-188"},"PeriodicalIF":0.0000,"publicationDate":"2025-03-10","publicationTypes":"Journal Article","fieldsOfStudy":null,"isOpenAccess":false,"openAccessPdf":"https://www.ncbi.nlm.nih.gov/pmc/articles/PMC12078059/pdf/","citationCount":"0","resultStr":null,"platform":"Semanticscholar","paperid":null,"PeriodicalName":"JPGN reports","FirstCategoryId":"1085","ListUrlMain":"https://doi.org/10.1002/jpr3.70015","RegionNum":0,"RegionCategory":null,"ArticlePicture":[],"TitleCN":null,"AbstractTextCN":null,"PMCID":null,"EPubDate":"2025/5/1 0:00:00","PubModel":"eCollection","JCR":"","JCRName":"","Score":null,"Total":0}
引用次数: 0

Abstract

Megacystis microcolon intestinal hypoperistalsis syndrome (MMIHS) is a rare congenital condition resulting in symptoms of bowel and bladder pseudo-obstruction. It carries severe morbidity and mortality; a minority of patients survive to adulthood. Recurrent bowel surgeries, small intestinal bacterial overgrowth, and slowed intestinal transit in MMIHS could serve as potential risk factors for chronic inflammation of the intestinal mucosa, which has been associated with risk of inflammatory bowel disease. In this case report, we detail the unusual presentation of a patient diagnosed with both MMIHS and inflammatory bowel disease.

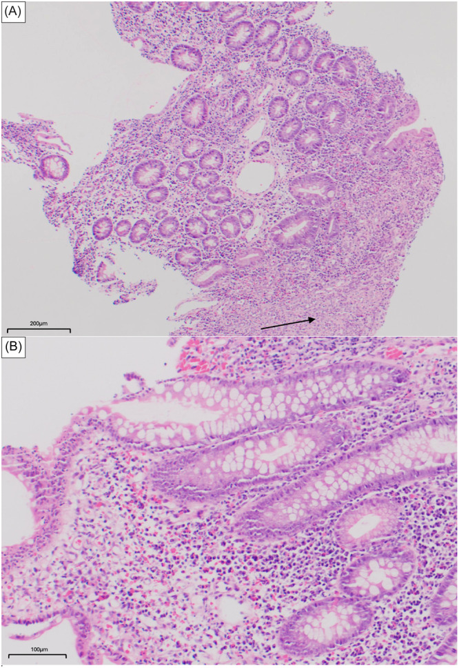
Abstract Image

Abstract Image

克罗恩病合并巨囊性微结肠肠蠕动不足综合征1例。
摘要巨囊性微结肠肠蠕动不足症候群(MMIHS)是一种罕见的先天性疾病,其症状为肠道和膀胱假性梗阻。它具有严重的发病率和死亡率;少数患者能活到成年。MMIHS患者反复进行肠道手术、小肠细菌过度生长和肠道运输减慢可能是肠黏膜慢性炎症的潜在危险因素,这与炎症性肠病的风险相关。在本病例报告中,我们详细介绍了一位诊断为MMIHS和炎症性肠病的患者的不寻常表现。
本文章由计算机程序翻译,如有差异,请以英文原文为准。
求助全文
约1分钟内获得全文 求助全文
来源期刊
自引率
0.00%
发文量
0
×
引用
GB/T 7714-2015
复制
MLA
复制
APA
复制
导出至
BibTeX EndNote RefMan NoteFirst NoteExpress
×
提示
您的信息不完整,为了账户安全,请先补充。
现在去补充
×
提示
您因"违规操作"
具体请查看互助需知
我知道了
×
提示
确定
请完成安全验证×
copy
已复制链接
快去分享给好友吧!
我知道了
右上角分享
点击右上角分享
0
联系我们:info@booksci.cn Book学术提供免费学术资源搜索服务,方便国内外学者检索中英文文献。致力于提供最便捷和优质的服务体验。 Copyright © 2023 布克学术 All rights reserved.
京ICP备2023020795号-1
ghs 京公网安备 11010802042870号
Book学术文献互助
Book学术文献互助群
群 号:604180095
Book学术官方微信