MULTIPLE ORO-FACIAL COMPLICATIONS OF HERPES ZOSTER INFECTION IN AN ELDERLY: A CASE REPORT.

A A Salami, T O Mudasiru, I Joseph, E O Abe, A O Adisa
{"title":"MULTIPLE ORO-FACIAL COMPLICATIONS OF HERPES ZOSTER INFECTION IN AN ELDERLY: A CASE REPORT.","authors":"A A Salami, T O Mudasiru, I Joseph, E O Abe, A O Adisa","doi":"","DOIUrl":null,"url":null,"abstract":"<p><strong>Introduction: </strong>Herpes zoster (HZ) is a viral disease with a global health burden which significantly impacts on the quality of life. HZ is caused by reactivation of the varicella-zoster virus and its complications are dependent on multiple factors like immune suppression, psychological stress, malnutrition, co-morbidities, duration of HZ infection and old age. Some of the complications include secondary bacterial infection, post-herpetic neuralgia, scarring, nerve palsy, and viral encephalitis. These complications could present as single or rarely as multiple entities in an individual.</p><p><strong>Materials & methods: </strong>We present a case of HZ infection affecting the mandibular division of trigeminal nerve in a 78-year-old widow. The patient presented with multiple complications including hyper- pigmented scarring, post herpetic neuralgia and chronic non-suppurative osteomyelitis of the left mandible. This case report highlights the presentation of multiple complications from HZ infection especially among the elderly.</p><p><strong>Conclusion: </strong>Early diagnosis and prompt treatment of HZ infection are highly essential for reduced risk of complications.</p>","PeriodicalId":72221,"journal":{"name":"Annals of Ibadan postgraduate medicine","volume":"22 3","pages":"116-120"},"PeriodicalIF":0.0000,"publicationDate":"2024-12-31","publicationTypes":"Journal Article","fieldsOfStudy":null,"isOpenAccess":false,"openAccessPdf":"https://www.ncbi.nlm.nih.gov/pmc/articles/PMC12082681/pdf/","citationCount":"0","resultStr":null,"platform":"Semanticscholar","paperid":null,"PeriodicalName":"Annals of Ibadan postgraduate medicine","FirstCategoryId":"1085","ListUrlMain":"","RegionNum":0,"RegionCategory":null,"ArticlePicture":[],"TitleCN":null,"AbstractTextCN":null,"PMCID":null,"EPubDate":"","PubModel":"","JCR":"","JCRName":"","Score":null,"Total":0}
引用次数: 0

Abstract

Introduction: Herpes zoster (HZ) is a viral disease with a global health burden which significantly impacts on the quality of life. HZ is caused by reactivation of the varicella-zoster virus and its complications are dependent on multiple factors like immune suppression, psychological stress, malnutrition, co-morbidities, duration of HZ infection and old age. Some of the complications include secondary bacterial infection, post-herpetic neuralgia, scarring, nerve palsy, and viral encephalitis. These complications could present as single or rarely as multiple entities in an individual.

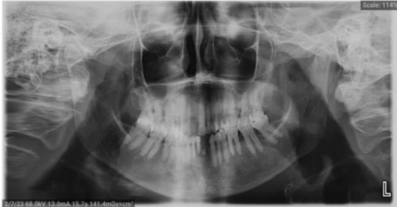
Materials & methods: We present a case of HZ infection affecting the mandibular division of trigeminal nerve in a 78-year-old widow. The patient presented with multiple complications including hyper- pigmented scarring, post herpetic neuralgia and chronic non-suppurative osteomyelitis of the left mandible. This case report highlights the presentation of multiple complications from HZ infection especially among the elderly.

Conclusion: Early diagnosis and prompt treatment of HZ infection are highly essential for reduced risk of complications.

Abstract Image

Abstract Image

Abstract Image

老年人带状疱疹感染的多重口腔-面部并发症:1例报告。
带状疱疹(HZ)是一种全球性的病毒性疾病,严重影响生活质量。HZ是由水痘带状疱疹病毒的再激活引起的,其并发症取决于多种因素,如免疫抑制、心理压力、营养不良、合并症、HZ感染持续时间和年龄。一些并发症包括继发性细菌感染、疱疹后神经痛、瘢痕、神经麻痹和病毒性脑炎。这些并发症可能在个体中表现为单一或罕见的多个实体。材料与方法:我们提出一个78岁寡妇的HZ感染影响三叉神经下颌骨分裂的病例。患者表现出多种并发症,包括色素沉着疤痕,疱疹后神经痛和左下颌骨慢性非化脓性骨髓炎。本病例报告强调了HZ感染的多种并发症,特别是在老年人中。结论:早期诊断和及时治疗对降低并发症的发生至关重要。
本文章由计算机程序翻译,如有差异,请以英文原文为准。
求助全文
约1分钟内获得全文 求助全文
来源期刊
自引率
0.00%
发文量
0
×
引用
GB/T 7714-2015
复制
MLA
复制
APA
复制
导出至
BibTeX EndNote RefMan NoteFirst NoteExpress
×
提示
您的信息不完整,为了账户安全,请先补充。
现在去补充
×
提示
您因"违规操作"
具体请查看互助需知
我知道了
×
提示
确定
请完成安全验证×
copy
已复制链接
快去分享给好友吧!
我知道了
右上角分享
点击右上角分享
0
联系我们:info@booksci.cn Book学术提供免费学术资源搜索服务,方便国内外学者检索中英文文献。致力于提供最便捷和优质的服务体验。 Copyright © 2023 布克学术 All rights reserved.
京ICP备2023020795号-1
ghs 京公网安备 11010802042870号
Book学术文献互助
Book学术文献互助群
群 号:604180095
Book学术官方微信