MOLECULAR CHARACTERIZATION AND DETECTION OF MULTIDRUGRESISTANT GENE IN BACTERIAL ISOLATES CAUSING LOWER RESPIRATORY TRACT INFECTIONS (LRTI) AMONG HIV/AIDS PATIENTS ON HIGHLY ACTIVE ANTIRETROVIRAL THERAPY (HAART) IN UYO, SOUTH-SOUTH NIGERIA.

R S Okon, I A Onwuezobe, E N Edem, S Bonne, E N Ekpenyong, N S Uko, G M Nworie, A George
{"title":"MOLECULAR CHARACTERIZATION AND DETECTION OF MULTIDRUGRESISTANT GENE IN BACTERIAL ISOLATES CAUSING LOWER RESPIRATORY TRACT INFECTIONS (LRTI) AMONG HIV/AIDS PATIENTS ON HIGHLY ACTIVE ANTIRETROVIRAL THERAPY (HAART) IN UYO, SOUTH-SOUTH NIGERIA.","authors":"R S Okon, I A Onwuezobe, E N Edem, S Bonne, E N Ekpenyong, N S Uko, G M Nworie, A George","doi":"","DOIUrl":null,"url":null,"abstract":"<p><strong>Background: </strong>Antibiotic-resistant genes (ARGs) pose a significant challenge in modern medicine, rendering infections increasingly difficult to treat as bacteria acquire mechanisms to resist antibiotics. Addressing ARGs necessitates a multifaceted approach, encompassing surveillance efforts to monitor their presence and the development of strategies aimed at managing and curbing the spread of antibiotic resistance. Hence, this study characterized the genetic determinants of antibiotic resistance among isolates responsible for Lower Respiratory Tract Infections (LRTIs) in People Living with HIV/AIDS (PLWHA) in Uyo.</p><p><strong>Methods: </strong>Sputum samples were collected from 61 LRTI suspects, with bacterial isolates identified using VITEK-2 technology. Polymerase chain reaction assays were employed to detect resistance genes within the isolates.</p><p><strong>Results: </strong>Results revealed a bacterial etiology in 39.3% of the samples, with a majority (79.2%) originating from St. Luke Hospital, Anua (SLHA), and the remainder (20.8%) from the University of Uyo Teaching Hospital (UUTH). Staphylococcus aureus emerged as the predominant isolate (46.6%), while resistance was notably high against Gentamicin and Sulphamethazole/Trimethoprim. Conversely, Azithromycin, imipenem, clindamycin, erythromycin, and ceftriaxone displayed relatively lower resistance levels across all isolates. Notably, four resistance genes CTX-M, Aac, KPC, and MecA were identified, with CTX-M detected in all multidrug-resistant isolates. This underscores the predominantly community-acquired nature of resistance as conferred by CTX-M.</p><p><strong>Conclusion: </strong>In conclusion, this study underscores the critical importance of continued vigilance and proactive measures in combating antibiotic resistance, particularly within vulnerable populations such as PLWHA. By elucidating the genetic mechanisms underlying antibiotic resistance, informed targeted interventions can be mitigated to curb threats posed by multidrug-resistant bacteria in clinical settings.</p>","PeriodicalId":72221,"journal":{"name":"Annals of Ibadan postgraduate medicine","volume":"22 3","pages":"48-56"},"PeriodicalIF":0.0000,"publicationDate":"2024-12-31","publicationTypes":"Journal Article","fieldsOfStudy":null,"isOpenAccess":false,"openAccessPdf":"https://www.ncbi.nlm.nih.gov/pmc/articles/PMC12082680/pdf/","citationCount":"0","resultStr":null,"platform":"Semanticscholar","paperid":null,"PeriodicalName":"Annals of Ibadan postgraduate medicine","FirstCategoryId":"1085","ListUrlMain":"","RegionNum":0,"RegionCategory":null,"ArticlePicture":[],"TitleCN":null,"AbstractTextCN":null,"PMCID":null,"EPubDate":"","PubModel":"","JCR":"","JCRName":"","Score":null,"Total":0}
引用次数: 0

Abstract

Background: Antibiotic-resistant genes (ARGs) pose a significant challenge in modern medicine, rendering infections increasingly difficult to treat as bacteria acquire mechanisms to resist antibiotics. Addressing ARGs necessitates a multifaceted approach, encompassing surveillance efforts to monitor their presence and the development of strategies aimed at managing and curbing the spread of antibiotic resistance. Hence, this study characterized the genetic determinants of antibiotic resistance among isolates responsible for Lower Respiratory Tract Infections (LRTIs) in People Living with HIV/AIDS (PLWHA) in Uyo.

Methods: Sputum samples were collected from 61 LRTI suspects, with bacterial isolates identified using VITEK-2 technology. Polymerase chain reaction assays were employed to detect resistance genes within the isolates.

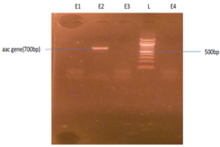
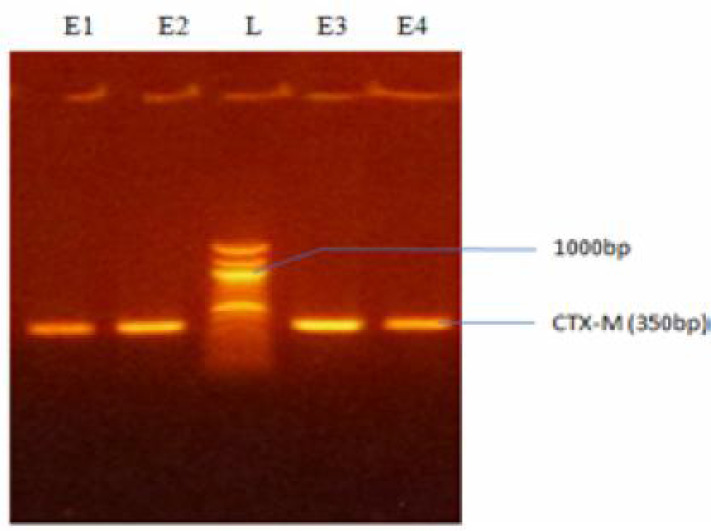
Results: Results revealed a bacterial etiology in 39.3% of the samples, with a majority (79.2%) originating from St. Luke Hospital, Anua (SLHA), and the remainder (20.8%) from the University of Uyo Teaching Hospital (UUTH). Staphylococcus aureus emerged as the predominant isolate (46.6%), while resistance was notably high against Gentamicin and Sulphamethazole/Trimethoprim. Conversely, Azithromycin, imipenem, clindamycin, erythromycin, and ceftriaxone displayed relatively lower resistance levels across all isolates. Notably, four resistance genes CTX-M, Aac, KPC, and MecA were identified, with CTX-M detected in all multidrug-resistant isolates. This underscores the predominantly community-acquired nature of resistance as conferred by CTX-M.

Conclusion: In conclusion, this study underscores the critical importance of continued vigilance and proactive measures in combating antibiotic resistance, particularly within vulnerable populations such as PLWHA. By elucidating the genetic mechanisms underlying antibiotic resistance, informed targeted interventions can be mitigated to curb threats posed by multidrug-resistant bacteria in clinical settings.

Abstract Image

Abstract Image

Abstract Image

尼日利亚南南尤尤高效抗逆转录病毒治疗(haart)的艾滋病毒/艾滋病患者中引起下呼吸道感染(lrti)的细菌分离株的分子特征和多重耐药基因检测。
背景:抗生素耐药基因(ARGs)对现代医学提出了重大挑战,随着细菌获得耐药机制,感染越来越难以治疗。应对ARGs需要采取多方面的方法,包括监测其存在情况的监测工作,以及制定旨在管理和遏制抗生素耐药性传播的战略。因此,本研究确定了乌干达HIV/AIDS感染者(PLWHA)下呼吸道感染(LRTIs)分离株抗生素耐药性的遗传决定因素。方法:采集61例LRTI疑似患者的痰液,采用VITEK-2技术对分离菌进行鉴定。采用聚合酶链反应法检测耐药基因。结果:39.3%的样本为细菌病原学,其中大部分(79.2%)来自阿努瓦圣卢克医院(SLHA),其余(20.8%)来自乌约大学教学医院(UUTH)。金黄色葡萄球菌占优势(46.6%),而对庆大霉素和磺胺甲唑/甲氧苄啶的耐药性明显较高。相反,阿奇霉素、亚胺培南、克林霉素、红霉素和头孢曲松在所有分离株中表现出相对较低的耐药水平。值得注意的是,鉴定出4个耐药基因CTX-M、Aac、KPC和MecA,其中CTX-M在所有多重耐药菌株中均检测到。这强调了CTX-M所赋予的耐药性主要是社区获得性。结论:本研究强调了在对抗抗生素耐药性方面持续保持警惕和采取积极措施的重要性,特别是在易感人群(如艾滋病感染者)中。通过阐明抗生素耐药性的遗传机制,可以减轻有针对性的干预措施,以遏制临床环境中多重耐药细菌构成的威胁。
本文章由计算机程序翻译,如有差异,请以英文原文为准。
求助全文
约1分钟内获得全文 求助全文
来源期刊
自引率
0.00%
发文量
0
×
引用
GB/T 7714-2015
复制
MLA
复制
APA
复制
导出至
BibTeX EndNote RefMan NoteFirst NoteExpress
×
提示
您的信息不完整,为了账户安全,请先补充。
现在去补充
×
提示
您因"违规操作"
具体请查看互助需知
我知道了
×
提示
确定
请完成安全验证×
copy
已复制链接
快去分享给好友吧!
我知道了
右上角分享
点击右上角分享
0
联系我们:info@booksci.cn Book学术提供免费学术资源搜索服务,方便国内外学者检索中英文文献。致力于提供最便捷和优质的服务体验。 Copyright © 2023 布克学术 All rights reserved.
京ICP备2023020795号-1
ghs 京公网安备 11010802042870号
Book学术文献互助
Book学术文献互助群
群 号:604180095
Book学术官方微信