CARTILAGINOUS CHORISTOMA OF THE TONGUE: A CASE REPORT WITH IMMUNOHISTOCHEMISTRY IN A SECONDARY HEALTH CARE FACILITY.

B O Castano, R T Oluwakuyide, O S Keshinro, O A Akinshipo, Y A Salami
{"title":"CARTILAGINOUS CHORISTOMA OF THE TONGUE: A CASE REPORT WITH IMMUNOHISTOCHEMISTRY IN A SECONDARY HEALTH CARE FACILITY.","authors":"B O Castano, R T Oluwakuyide, O S Keshinro, O A Akinshipo, Y A Salami","doi":"","DOIUrl":null,"url":null,"abstract":"<p><strong>Background: </strong>Soft tissue cartilaginous choristoma (STC) is a mass of mature hyaline cells occurring in abnormal location. It is also referred to as extraskeletal choristoma; a rare lesion that frequently occurs on the tongue in orofacial region.The objective is to bring to the attention of Clinicians especially in secondary health care facilities the need of thorough investigations of tissue specimen to prevent misdiagnosis and avail themselves every diagnostic tool in the management of all oral swellings.</p><p><strong>Case presentation: </strong>A 7-year old boy presented in Dental clinic in a secondary health care facility with history of an asymptomatic, non-tender and slow-growing swelling on the dorsum of the tongue of 3 years duration. Surgical excision was done under general anaesthesia. Histopathological and immunohistochemical evaluations were the tools used to establish its diagnosis.</p><p><strong>Conclusion: </strong>Soft tissue choristoma is rare benign swelling that mostly occur in the anterior two-third of the tongue and can be misdiagnosed clinically but diagnostic tools like histopathology and immunohistochemistry will help confirm it.</p>","PeriodicalId":72221,"journal":{"name":"Annals of Ibadan postgraduate medicine","volume":"22 3","pages":"112-115"},"PeriodicalIF":0.0000,"publicationDate":"2024-12-31","publicationTypes":"Journal Article","fieldsOfStudy":null,"isOpenAccess":false,"openAccessPdf":"https://www.ncbi.nlm.nih.gov/pmc/articles/PMC12082673/pdf/","citationCount":"0","resultStr":null,"platform":"Semanticscholar","paperid":null,"PeriodicalName":"Annals of Ibadan postgraduate medicine","FirstCategoryId":"1085","ListUrlMain":"","RegionNum":0,"RegionCategory":null,"ArticlePicture":[],"TitleCN":null,"AbstractTextCN":null,"PMCID":null,"EPubDate":"","PubModel":"","JCR":"","JCRName":"","Score":null,"Total":0}
引用次数: 0

Abstract

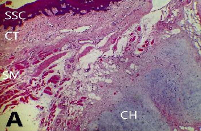
Background: Soft tissue cartilaginous choristoma (STC) is a mass of mature hyaline cells occurring in abnormal location. It is also referred to as extraskeletal choristoma; a rare lesion that frequently occurs on the tongue in orofacial region.The objective is to bring to the attention of Clinicians especially in secondary health care facilities the need of thorough investigations of tissue specimen to prevent misdiagnosis and avail themselves every diagnostic tool in the management of all oral swellings.

Case presentation: A 7-year old boy presented in Dental clinic in a secondary health care facility with history of an asymptomatic, non-tender and slow-growing swelling on the dorsum of the tongue of 3 years duration. Surgical excision was done under general anaesthesia. Histopathological and immunohistochemical evaluations were the tools used to establish its diagnosis.

Conclusion: Soft tissue choristoma is rare benign swelling that mostly occur in the anterior two-third of the tongue and can be misdiagnosed clinically but diagnostic tools like histopathology and immunohistochemistry will help confirm it.

Abstract Image

Abstract Image

Abstract Image

舌软骨脉络瘤:在二级卫生保健机构的免疫组织化学病例报告。
背景:软组织软骨脉络膜瘤(STC)是一种发生在异常位置的成熟透明细胞肿块。它也被称为骨外脉络瘤;一种罕见的病变,经常发生在口腔面部的舌头上。目的是提请临床医生,特别是二级卫生保健机构的临床医生注意,需要对组织标本进行彻底调查,以防止误诊,并在处理所有口腔肿胀时利用每一种诊断工具。病例介绍:一名7岁男孩在一家二级卫生保健机构的牙科诊所就诊,他有舌背无症状、无压痛和缓慢生长的肿胀病史,持续3年。手术切除在全身麻醉下进行。组织病理学和免疫组织化学评价是用来建立其诊断的工具。结论:软组织绒毛瘤是一种罕见的良性肿胀,多发生在舌前三分之二,临床上容易误诊,但组织病理学和免疫组织化学等诊断工具有助于确诊。
本文章由计算机程序翻译,如有差异,请以英文原文为准。
求助全文
约1分钟内获得全文 求助全文
来源期刊
自引率
0.00%
发文量
0
×
引用
GB/T 7714-2015
复制
MLA
复制
APA
复制
导出至
BibTeX EndNote RefMan NoteFirst NoteExpress
×
提示
您的信息不完整,为了账户安全,请先补充。
现在去补充
×
提示
您因"违规操作"
具体请查看互助需知
我知道了
×
提示
确定
请完成安全验证×
copy
已复制链接
快去分享给好友吧!
我知道了
右上角分享
点击右上角分享
0
联系我们:info@booksci.cn Book学术提供免费学术资源搜索服务,方便国内外学者检索中英文文献。致力于提供最便捷和优质的服务体验。 Copyright © 2023 布克学术 All rights reserved.
京ICP备2023020795号-1
ghs 京公网安备 11010802042870号
Book学术文献互助
Book学术文献互助群
群 号:604180095
Book学术官方微信