Lessons From a Complex Case of Calcific Constrictive Pericarditis: A Case Report.

IF 0.5 Q4 CARDIAC & CARDIOVASCULAR SYSTEMS
Case Reports in Cardiology Pub Date : 2025-05-09 eCollection Date: 2025-01-01 DOI:10.1155/cric/5514172
Varun Kasula, Vikram Padala, Jagroop Doad, Hassan Awais, Vinod Chaubey, Aditya Sood, Lauren Golden
{"title":"Lessons From a Complex Case of Calcific Constrictive Pericarditis: A Case Report.","authors":"Varun Kasula, Vikram Padala, Jagroop Doad, Hassan Awais, Vinod Chaubey, Aditya Sood, Lauren Golden","doi":"10.1155/cric/5514172","DOIUrl":null,"url":null,"abstract":"<p><p>Despite advances in imaging and diagnostics, calcific constrictive pericarditis (CCP) remains a rare and challenging entity, often masquerading as other cardiopulmonary conditions, leading to delayed diagnosis. We present a 70-year-old male with a history of heart failure, atrial fibrillation (AF), cirrhosis, chronic obstructive pulmonary disease (COPD), and prior pleural effusion, who was admitted with acute hypoxic respiratory failure and AF with rapid ventricular response (RVR). Imaging revealed extensive pericardial calcifications, leading to a diagnosis of CCP. The patient's clinical course was marked by refractory hypotension, altered mental status, and progressive cardiohepatic syndrome. Given his high surgical risk, he was managed conservatively and transitioned to palliative care. This case underscores the diagnostic and therapeutic challenges of CCP, particularly in patients with complex comorbidities where surgical intervention is not feasible. It highlights the need for early recognition and individualized management strategies to optimize outcomes in this challenging subset of patients.</p>","PeriodicalId":51760,"journal":{"name":"Case Reports in Cardiology","volume":"2025 ","pages":"5514172"},"PeriodicalIF":0.5000,"publicationDate":"2025-05-09","publicationTypes":"Journal Article","fieldsOfStudy":null,"isOpenAccess":false,"openAccessPdf":"https://www.ncbi.nlm.nih.gov/pmc/articles/PMC12084780/pdf/","citationCount":"0","resultStr":null,"platform":"Semanticscholar","paperid":null,"PeriodicalName":"Case Reports in Cardiology","FirstCategoryId":"1085","ListUrlMain":"https://doi.org/10.1155/cric/5514172","RegionNum":0,"RegionCategory":null,"ArticlePicture":[],"TitleCN":null,"AbstractTextCN":null,"PMCID":null,"EPubDate":"2025/1/1 0:00:00","PubModel":"eCollection","JCR":"Q4","JCRName":"CARDIAC & CARDIOVASCULAR SYSTEMS","Score":null,"Total":0}
引用次数: 0

Abstract

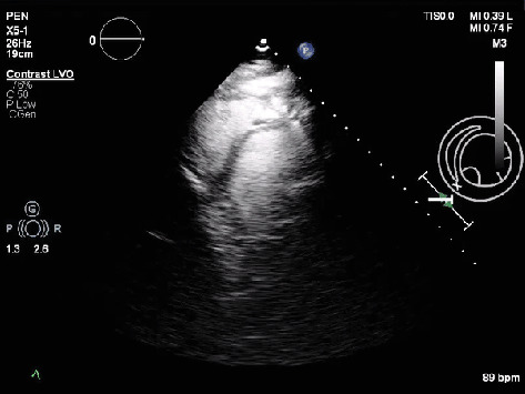
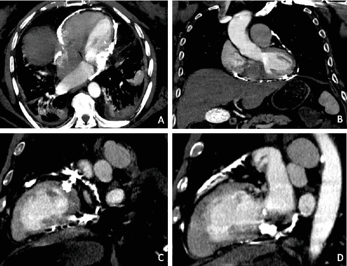
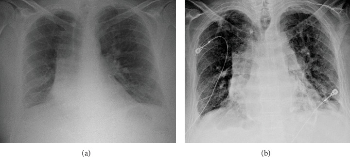
Despite advances in imaging and diagnostics, calcific constrictive pericarditis (CCP) remains a rare and challenging entity, often masquerading as other cardiopulmonary conditions, leading to delayed diagnosis. We present a 70-year-old male with a history of heart failure, atrial fibrillation (AF), cirrhosis, chronic obstructive pulmonary disease (COPD), and prior pleural effusion, who was admitted with acute hypoxic respiratory failure and AF with rapid ventricular response (RVR). Imaging revealed extensive pericardial calcifications, leading to a diagnosis of CCP. The patient's clinical course was marked by refractory hypotension, altered mental status, and progressive cardiohepatic syndrome. Given his high surgical risk, he was managed conservatively and transitioned to palliative care. This case underscores the diagnostic and therapeutic challenges of CCP, particularly in patients with complex comorbidities where surgical intervention is not feasible. It highlights the need for early recognition and individualized management strategies to optimize outcomes in this challenging subset of patients.

Abstract Image

Abstract Image

Abstract Image

复杂钙化缩窄性心包炎1例报告。
尽管在影像学和诊断方面取得了进展,但钙化性缩窄性心包炎(CCP)仍然是一种罕见且具有挑战性的疾病,经常伪装成其他心肺疾病,导致诊断延迟。我们报告一位70岁男性,有心力衰竭、心房颤动(AF)、肝硬化、慢性阻塞性肺疾病(COPD)和既往胸腔积液病史,因急性缺氧性呼吸衰竭和房颤合并快速心室反应(RVR)而入院。影像显示广泛的心包钙化,导致CCP的诊断。患者的临床过程以难治性低血压、精神状态改变和进行性肝心综合征为特征。考虑到他的手术风险高,他被保守管理并过渡到姑息治疗。该病例强调了CCP的诊断和治疗挑战,特别是在手术治疗不可行的复杂合并症患者中。它强调了早期识别和个性化管理策略的必要性,以优化这类具有挑战性的患者的预后。
本文章由计算机程序翻译,如有差异,请以英文原文为准。
求助全文
约1分钟内获得全文 求助全文
来源期刊
Case Reports in Cardiology
Case Reports in Cardiology CARDIAC & CARDIOVASCULAR SYSTEMS-
自引率
0.00%
发文量
63
审稿时长
13 weeks
期刊介绍: Case Reports in Cardiology is a peer-reviewed, Open Access journal that publishes case reports and case series related to hypertension, arrhythmia, congestive heart failure, valvular heart disease, vascular disease, congenital heart disease and cardiomyopathy.
×
引用
GB/T 7714-2015
复制
MLA
复制
APA
复制
导出至
BibTeX EndNote RefMan NoteFirst NoteExpress
×
提示
您的信息不完整,为了账户安全,请先补充。
现在去补充
×
提示
您因"违规操作"
具体请查看互助需知
我知道了
×
提示
确定
请完成安全验证×
copy
已复制链接
快去分享给好友吧!
我知道了
右上角分享
点击右上角分享
0
联系我们:info@booksci.cn Book学术提供免费学术资源搜索服务,方便国内外学者检索中英文文献。致力于提供最便捷和优质的服务体验。 Copyright © 2023 布克学术 All rights reserved.
京ICP备2023020795号-1
ghs 京公网安备 11010802042870号
Book学术文献互助
Book学术文献互助群
群 号:604180095
Book学术官方微信