Management of an infectious complication appearing in a transcanine implant: a case report.

IF 4 3区 医学 Q1 DENTISTRY, ORAL SURGERY & MEDICINE
Maxime Delarue, Pierre Klienkoff, Mélanie Le Ven, Fabien Bornert
{"title":"Management of an infectious complication appearing in a transcanine implant: a case report.","authors":"Maxime Delarue, Pierre Klienkoff, Mélanie Le Ven, Fabien Bornert","doi":"10.1186/s40729-025-00626-6","DOIUrl":null,"url":null,"abstract":"<p><strong>Background: </strong>Maxillary canine impaction is the second most common dental eruption anomaly, affecting approximately 0.2-3% of individuals, with a higher incidence in females. This condition often results in complications such as the misalignment of adjacent teeth, root resorption, and the development of cystic lesions. In some cases, abstention is recommended for impacted canine is kept with the lacteal tooth held on the dental arch. But in the longer term an implant therapy is nevertheless indicated.</p><p><strong>Case presentation: </strong>A 42-year-old man presented with persistent swelling and pain in the maxillary region associated with a transcanine implant placed one year ago by his dental practitioner. Imaging assessment showed the implant's apex inserted into the impacted canine which presented a crown and root resorption and was associated to a radiolucency around. In order to preserve implant and reduce morbidity related to a full extraction of the tooth, a coronectomy was performed allowing inflammatory surrounding tissues curettage.</p><p><strong>Discussion: </strong>This case shows an infectious complication of a transcanine implant and demonstrates an approach for managing these complications while preserving this implant. The coronectomy is a less invasive technique that reduces potential surgical complications and supports healing. A 2-year follow-up revealed complete bone reossification reinforcing the effectiveness of this method in similar clinical scenarios.</p><p><strong>Conclusion: </strong>This case suggests that coronectomy may be a viable option for managing impacted canines in proximity to implants when complete extraction poses a high risk of complications. However, given the limited number of reported cases and the absence of long-term data, this approach should be considered with caution. Further studies are necessary to better define the indications, long-term outcomes, and potential risks of this technique.</p>","PeriodicalId":14076,"journal":{"name":"International Journal of Implant Dentistry","volume":"11 1","pages":"37"},"PeriodicalIF":4.0000,"publicationDate":"2025-05-19","publicationTypes":"Journal Article","fieldsOfStudy":null,"isOpenAccess":false,"openAccessPdf":"https://www.ncbi.nlm.nih.gov/pmc/articles/PMC12089639/pdf/","citationCount":"0","resultStr":null,"platform":"Semanticscholar","paperid":null,"PeriodicalName":"International Journal of Implant Dentistry","FirstCategoryId":"3","ListUrlMain":"https://doi.org/10.1186/s40729-025-00626-6","RegionNum":3,"RegionCategory":"医学","ArticlePicture":[],"TitleCN":null,"AbstractTextCN":null,"PMCID":null,"EPubDate":"","PubModel":"","JCR":"Q1","JCRName":"DENTISTRY, ORAL SURGERY & MEDICINE","Score":null,"Total":0}
引用次数: 0

Abstract

Background: Maxillary canine impaction is the second most common dental eruption anomaly, affecting approximately 0.2-3% of individuals, with a higher incidence in females. This condition often results in complications such as the misalignment of adjacent teeth, root resorption, and the development of cystic lesions. In some cases, abstention is recommended for impacted canine is kept with the lacteal tooth held on the dental arch. But in the longer term an implant therapy is nevertheless indicated.

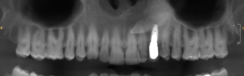
Case presentation: A 42-year-old man presented with persistent swelling and pain in the maxillary region associated with a transcanine implant placed one year ago by his dental practitioner. Imaging assessment showed the implant's apex inserted into the impacted canine which presented a crown and root resorption and was associated to a radiolucency around. In order to preserve implant and reduce morbidity related to a full extraction of the tooth, a coronectomy was performed allowing inflammatory surrounding tissues curettage.

Discussion: This case shows an infectious complication of a transcanine implant and demonstrates an approach for managing these complications while preserving this implant. The coronectomy is a less invasive technique that reduces potential surgical complications and supports healing. A 2-year follow-up revealed complete bone reossification reinforcing the effectiveness of this method in similar clinical scenarios.

Conclusion: This case suggests that coronectomy may be a viable option for managing impacted canines in proximity to implants when complete extraction poses a high risk of complications. However, given the limited number of reported cases and the absence of long-term data, this approach should be considered with caution. Further studies are necessary to better define the indications, long-term outcomes, and potential risks of this technique.

Abstract Image

Abstract Image

Abstract Image

跨扫描植入物感染并发症的处理:1例报告。
背景:上颌犬牙嵌塞是第二常见的牙萌异常,大约影响0.2% -3%的个体,女性发病率更高。这种情况通常会导致并发症,如相邻牙齿不对准,牙根吸收和囊性病变的发展。在某些情况下,建议避免阻生犬与乳牙保持在牙弓上。但从长远来看,植入治疗仍然是可行的。病例介绍:一名42岁的男性,由于一年前由他的牙科医生植入了一枚跨扫描种植体,导致上颌区域持续肿胀和疼痛。影像学评估显示种植体的顶端插入阻生犬齿,呈现冠和根吸收,并与周围的辐射率相关。为了保存种植体并减少与全牙拔牙相关的发病率,进行冠状切除术以清除周围的炎症组织。讨论:本病例显示了一种跨扫描植入物的感染性并发症,并展示了在保留植入物的同时处理这些并发症的方法。冠状切除术是一种侵入性较小的技术,可减少潜在的手术并发症并支持愈合。2年的随访显示完全骨再骨化强化了该方法在类似临床情况下的有效性。结论:本病例提示冠状切除术可能是处理靠近种植体的埋伏犬的可行选择,当完全拔出会造成并发症的高风险时。然而,鉴于报告病例数量有限且缺乏长期数据,应谨慎考虑这种方法。需要进一步的研究来更好地确定该技术的适应症、长期结果和潜在风险。
本文章由计算机程序翻译,如有差异,请以英文原文为准。
求助全文
约1分钟内获得全文 求助全文
来源期刊
International Journal of Implant Dentistry
International Journal of Implant Dentistry DENTISTRY, ORAL SURGERY & MEDICINE-
CiteScore
1.70
自引率
7.40%
发文量
53
审稿时长
13 weeks
期刊介绍: The International Journal of Implant Dentistry is a peer-reviewed open access journal published under the SpringerOpen brand. The journal is dedicated to promoting the exchange and discussion of all research areas relevant to implant dentistry in the form of systematic literature or invited reviews, prospective and retrospective clinical studies, clinical case reports, basic laboratory and animal research, and articles on material research and engineering.
×
引用
GB/T 7714-2015
复制
MLA
复制
APA
复制
导出至
BibTeX EndNote RefMan NoteFirst NoteExpress
×
提示
您的信息不完整,为了账户安全,请先补充。
现在去补充
×
提示
您因"违规操作"
具体请查看互助需知
我知道了
×
提示
确定
请完成安全验证×
copy
已复制链接
快去分享给好友吧!
我知道了
右上角分享
点击右上角分享
0
联系我们:info@booksci.cn Book学术提供免费学术资源搜索服务,方便国内外学者检索中英文文献。致力于提供最便捷和优质的服务体验。 Copyright © 2023 布克学术 All rights reserved.
京ICP备2023020795号-1
ghs 京公网安备 11010802042870号
Book学术文献互助
Book学术文献互助群
群 号:604180095
Book学术官方微信