Autogenous bone graft in the management of post-osteomyelitis bone defects in children in a limited-resource setting - a retrospective cohort study with a minimum follow-up of 7 years.

IF 2.8 Q3 INFECTIOUS DISEASES
Journal of Bone and Joint Infection Pub Date : 2025-04-15 eCollection Date: 2025-01-01 DOI:10.5194/jbji-10-155-2025
Antonio Loro, Fulvio Franceschi, Muhumuza M Fisha, Emmanuel Ewochu, Geoffrey Mwanje, Annamaria Dal Lago, Martin McNally
{"title":"Autogenous bone graft in the management of post-osteomyelitis bone defects in children in a limited-resource setting - a retrospective cohort study with a minimum follow-up of 7 years.","authors":"Antonio Loro, Fulvio Franceschi, Muhumuza M Fisha, Emmanuel Ewochu, Geoffrey Mwanje, Annamaria Dal Lago, Martin McNally","doi":"10.5194/jbji-10-155-2025","DOIUrl":null,"url":null,"abstract":"<p><p><b>Background.</b> Post-osteomyelitis bone defects represent a challenging clinical situation. This retrospective cohort study was designed to evaluate the long-term outcome of the use of non-vascularized bone grafts in the management of such defects in children. <b>Methods.</b> Twenty-three children (mean age 7 years, range 2-13 years) were studied. All of the defects were segmental (mean defect length 6 cm, range 3-12 cm), involving the tibia, femur, humerus and radius. Fifteen children presented with an active infection and were managed with a staged protocol. The first stage included sequestrectomy or debridement of the site. The second stage, i.e. the graft procedure, was performed after 12 weeks on average. The mean follow-up was 9.2 years (range 7-15 years). <b>Results.</b> Bone union was primarily achieved in 14 children (61 %). Complications were experienced in the remaining nine children. Conservative and surgical treatment led to bone union in all patients within 5 years of the index procedure. Recurrence of infection was observed in two patients (8.7 %). All of the children were able to use the limb at the final follow-up; only three required the use of a brace. <b>Conclusions.</b> Autogenous non-vascularized bone graft may be considered a valid option in the treatment of bone defects secondary to osteomyelitis in children.</p>","PeriodicalId":15271,"journal":{"name":"Journal of Bone and Joint Infection","volume":"10 2","pages":"155-163"},"PeriodicalIF":2.8000,"publicationDate":"2025-04-15","publicationTypes":"Journal Article","fieldsOfStudy":null,"isOpenAccess":false,"openAccessPdf":"https://www.ncbi.nlm.nih.gov/pmc/articles/PMC12082333/pdf/","citationCount":"0","resultStr":null,"platform":"Semanticscholar","paperid":null,"PeriodicalName":"Journal of Bone and Joint Infection","FirstCategoryId":"1085","ListUrlMain":"https://doi.org/10.5194/jbji-10-155-2025","RegionNum":0,"RegionCategory":null,"ArticlePicture":[],"TitleCN":null,"AbstractTextCN":null,"PMCID":null,"EPubDate":"2025/1/1 0:00:00","PubModel":"eCollection","JCR":"Q3","JCRName":"INFECTIOUS DISEASES","Score":null,"Total":0}
引用次数: 0

Abstract

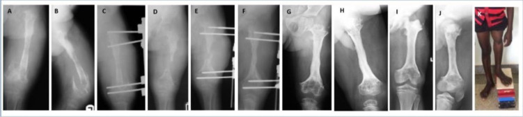
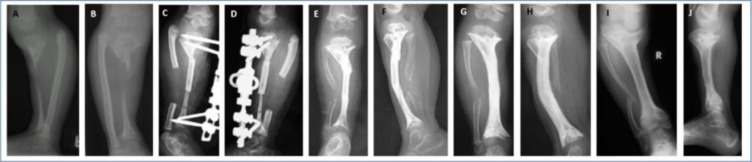
Background. Post-osteomyelitis bone defects represent a challenging clinical situation. This retrospective cohort study was designed to evaluate the long-term outcome of the use of non-vascularized bone grafts in the management of such defects in children. Methods. Twenty-three children (mean age 7 years, range 2-13 years) were studied. All of the defects were segmental (mean defect length 6 cm, range 3-12 cm), involving the tibia, femur, humerus and radius. Fifteen children presented with an active infection and were managed with a staged protocol. The first stage included sequestrectomy or debridement of the site. The second stage, i.e. the graft procedure, was performed after 12 weeks on average. The mean follow-up was 9.2 years (range 7-15 years). Results. Bone union was primarily achieved in 14 children (61 %). Complications were experienced in the remaining nine children. Conservative and surgical treatment led to bone union in all patients within 5 years of the index procedure. Recurrence of infection was observed in two patients (8.7 %). All of the children were able to use the limb at the final follow-up; only three required the use of a brace. Conclusions. Autogenous non-vascularized bone graft may be considered a valid option in the treatment of bone defects secondary to osteomyelitis in children.

Abstract Image

Abstract Image

Abstract Image

在资源有限的情况下,自体骨移植治疗儿童骨髓炎后骨缺损——一项至少随访7年的回顾性队列研究。
背景。骨髓炎后骨缺损是一个具有挑战性的临床情况。本回顾性队列研究旨在评估使用无血管化骨移植物治疗儿童骨缺损的长期效果。方法。23名儿童(平均年龄7岁,范围2-13岁)被研究。所有缺损均为节段性缺损(平均缺损长度6 cm,范围3-12 cm),累及胫骨、股骨、肱骨和桡骨。15名儿童表现为活动性感染,并采用分阶段方案进行管理。第一阶段包括缝合切除或部位清创。第二阶段,即移植手术,平均在12周后进行。平均随访时间为9.2年(7-15年)。结果。14例(61%)患儿主要实现骨愈合。其余9例出现并发症。保守和手术治疗使所有患者在手术后5年内骨愈合。2例患者感染复发(8.7%)。在最后的随访中,所有的孩子都能够使用假肢;只有三个需要使用大括号。结论。自体非血管化骨移植可能被认为是治疗儿童骨髓炎继发骨缺损的有效选择。
本文章由计算机程序翻译,如有差异,请以英文原文为准。
求助全文
约1分钟内获得全文 求助全文
来源期刊
CiteScore
3.70
自引率
0.00%
发文量
29
审稿时长
12 weeks
×
引用
GB/T 7714-2015
复制
MLA
复制
APA
复制
导出至
BibTeX EndNote RefMan NoteFirst NoteExpress
×
提示
您的信息不完整,为了账户安全,请先补充。
现在去补充
×
提示
您因"违规操作"
具体请查看互助需知
我知道了
×
提示
确定
请完成安全验证×
copy
已复制链接
快去分享给好友吧!
我知道了
右上角分享
点击右上角分享
0
联系我们:info@booksci.cn Book学术提供免费学术资源搜索服务,方便国内外学者检索中英文文献。致力于提供最便捷和优质的服务体验。 Copyright © 2023 布克学术 All rights reserved.
京ICP备2023020795号-1
ghs 京公网安备 11010802042870号
Book学术文献互助
Book学术文献互助群
群 号:604180095
Book学术官方微信