Investigating bovine coronavirus in Indian calves: Incidence, molecular evidence, and pathological role in bovine respiratory disease complex (BRDC).

IF 1 4区 农林科学 Q3 VETERINARY SCIENCES
B Kamdi, R Singh, V Singh, S Singh, P Kumar, G Kashyap, K Dhama
{"title":"Investigating bovine coronavirus in Indian calves: Incidence, molecular evidence, and pathological role in bovine respiratory disease complex (BRDC).","authors":"B Kamdi, R Singh, V Singh, S Singh, P Kumar, G Kashyap, K Dhama","doi":"10.22099/ijvr.2024.48820.7142","DOIUrl":null,"url":null,"abstract":"<p><strong>Background: </strong>Bovine coronavirus (BCoV) and bacterial pathogens contribute to bovine respiratory disease complex (BRDC) in young calves. However, the role of BCoV in BRDC occurrence and site-specific respiratory pathology in India remains poorly explored.</p><p><strong>Aims: </strong>This study aimed to assess BCoV prevalence in BRDC cases.</p><p><strong>Methods: </strong>We investigated 406 weaner calves (166 cattle, 240 buffaloes) up to ≤1 year, with respiratory distress and pulmonary lesions.</p><p><strong>Results: </strong>BRDC cases exhibited 0.98% BCoV occurrence, confirmed by partial <i>N</i> gene amplification (172 bp) via RT-PCR and immunohistochemistry (IHC). Grossly, 4 BCoV positive cases showed variable degrees of consolidation of cranioventral lobes and non-collapsed caudodorsal lobes, associated with congestion and emphysema. Microscopically, the inflated sites of the lung tissue sections showed hallmark changes of interstitial pneumonia characterized by moderate infiltration with lymphocytes and increased numbers of fibroblasts in the interalveolar septa and the stroma of bronchioles and bronchi. In concomitant <i>Pasteurella multocida</i> infected cases, cranioventral lobes exhibited suppurative bronchopneumonia with neutrophilic exudate. The above lesions were well colocalized with BCoV antigen in the epithelial cells and in the debris of the lumen of the alveoli and the bronchi/bronchioles. The sequence comparison of the 172 bp amplicon with the published BCoV <i>N</i> gene showed close relatedness.</p><p><strong>Conclusion: </strong>The present study implicated BCoV as a component of BRDC in India that should be considered in the diagnosis of BRDC outbreaks.</p>","PeriodicalId":14629,"journal":{"name":"Iranian journal of veterinary research","volume":"25 4","pages":"361-367"},"PeriodicalIF":1.0000,"publicationDate":"2025-01-01","publicationTypes":"Journal Article","fieldsOfStudy":null,"isOpenAccess":false,"openAccessPdf":"https://www.ncbi.nlm.nih.gov/pmc/articles/PMC12085212/pdf/","citationCount":"0","resultStr":null,"platform":"Semanticscholar","paperid":null,"PeriodicalName":"Iranian journal of veterinary research","FirstCategoryId":"97","ListUrlMain":"https://doi.org/10.22099/ijvr.2024.48820.7142","RegionNum":4,"RegionCategory":"农林科学","ArticlePicture":[],"TitleCN":null,"AbstractTextCN":null,"PMCID":null,"EPubDate":"","PubModel":"","JCR":"Q3","JCRName":"VETERINARY SCIENCES","Score":null,"Total":0}
引用次数: 0

Abstract

Background: Bovine coronavirus (BCoV) and bacterial pathogens contribute to bovine respiratory disease complex (BRDC) in young calves. However, the role of BCoV in BRDC occurrence and site-specific respiratory pathology in India remains poorly explored.

Aims: This study aimed to assess BCoV prevalence in BRDC cases.

Methods: We investigated 406 weaner calves (166 cattle, 240 buffaloes) up to ≤1 year, with respiratory distress and pulmonary lesions.

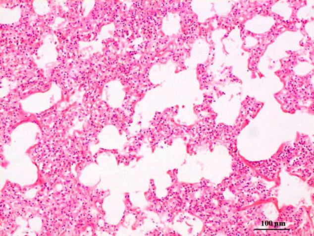
Results: BRDC cases exhibited 0.98% BCoV occurrence, confirmed by partial N gene amplification (172 bp) via RT-PCR and immunohistochemistry (IHC). Grossly, 4 BCoV positive cases showed variable degrees of consolidation of cranioventral lobes and non-collapsed caudodorsal lobes, associated with congestion and emphysema. Microscopically, the inflated sites of the lung tissue sections showed hallmark changes of interstitial pneumonia characterized by moderate infiltration with lymphocytes and increased numbers of fibroblasts in the interalveolar septa and the stroma of bronchioles and bronchi. In concomitant Pasteurella multocida infected cases, cranioventral lobes exhibited suppurative bronchopneumonia with neutrophilic exudate. The above lesions were well colocalized with BCoV antigen in the epithelial cells and in the debris of the lumen of the alveoli and the bronchi/bronchioles. The sequence comparison of the 172 bp amplicon with the published BCoV N gene showed close relatedness.

Conclusion: The present study implicated BCoV as a component of BRDC in India that should be considered in the diagnosis of BRDC outbreaks.

Abstract Image

Abstract Image

Abstract Image

调查印度小牛的牛冠状病毒:发病率、分子证据和牛呼吸道疾病复合物(BRDC)的病理作用。
背景:牛冠状病毒(BCoV)和细菌病原体导致小牛呼吸道疾病复合体(BRDC)。然而,BCoV在印度BRDC发生和特定地点呼吸道病理中的作用仍未得到充分探讨。目的:本研究旨在评估BRDC病例中BCoV的流行情况。方法:研究年龄≤1岁的406头断奶犊牛(166头牛,240头水牛),均出现呼吸窘迫和肺部病变。结果:BRDC病例BCoV发生率为0.98%,经RT-PCR和免疫组化(IHC)检测,BCoV基因部分扩增(172 bp)。大体来看,4例BCoV阳性病例表现为不同程度的颅腹叶实变和未塌陷的尾背叶,伴有充血和肺气肿。镜下肺组织切片膨化部位表现为间质性肺炎的标志性改变,表现为淋巴细胞中度浸润,肺泡间隔、细支气管和支气管间质纤维母细胞数量增加。在合并多杀性巴氏杆菌感染的病例中,颅腹叶表现为化脓性支气管肺炎伴中性粒细胞渗出。上述病变与BCoV抗原在上皮细胞、肺泡腔和支气管/细支气管碎片中很好地共定位。该扩增子与已发表的BCoV N基因序列比较显示亲缘关系较近。结论:目前的研究表明,BCoV是印度BRDC的一个组成部分,在BRDC暴发的诊断中应予以考虑。
本文章由计算机程序翻译,如有差异,请以英文原文为准。
求助全文
约1分钟内获得全文 求助全文
来源期刊
CiteScore
1.70
自引率
8.30%
发文量
10
期刊介绍: The Iranian Journal of Veterinary Research(IJVR) is published quarterly in 4 issues. The aims of this journal are to improve and expand knowledge in all veterinary fields. It is an international journal indexed by the Thomson Institute for Scientific Information (ISI), Elsevier, Scopus, CAB International, Veterinary Bulletin and several other international databases. Research papers and reports on a wide range of veterinary topics are published in the journal after being evaluated by expert reviewers.The Editor-in-Chief is responsible for the editorial content of the journal—including peer-reviewed manuscripts—and the timing of its publication.
×
引用
GB/T 7714-2015
复制
MLA
复制
APA
复制
导出至
BibTeX EndNote RefMan NoteFirst NoteExpress
×
提示
您的信息不完整,为了账户安全,请先补充。
现在去补充
×
提示
您因"违规操作"
具体请查看互助需知
我知道了
×
提示
确定
请完成安全验证×
copy
已复制链接
快去分享给好友吧!
我知道了
右上角分享
点击右上角分享
0
联系我们:info@booksci.cn Book学术提供免费学术资源搜索服务,方便国内外学者检索中英文文献。致力于提供最便捷和优质的服务体验。 Copyright © 2023 布克学术 All rights reserved.
京ICP备2023020795号-1
ghs 京公网安备 11010802042870号
Book学术文献互助
Book学术文献互助群
群 号:604180095
Book学术官方微信