Heat shock protein D1 is up-regulated in various types of canine mammary tumors.

IF 1 4区 农林科学 Q3 VETERINARY SCIENCES
G Kaur, B V S Kumar, K Gupta
{"title":"Heat shock protein D1 is up-regulated in various types of canine mammary tumors.","authors":"G Kaur, B V S Kumar, K Gupta","doi":"10.22099/ijvr.2024.50204.7404","DOIUrl":null,"url":null,"abstract":"<p><strong>Background: </strong>Mammary tumors are the most common tumors in female dogs. An early diagnosis makes the treatment easier.</p><p><strong>Aims: </strong>The present study aimed to assess heat shock protein D1 (HSPD1) expression in canine mammary tumors.</p><p><strong>Methods: </strong>Canine mammary tumor (CMT) samples were collected from clinics after surgery. Expression of <i>HSPD1</i> transcript in CMT and apparently healthy mammary tissues was analyzed by SYBR green based real-time PCR (qRT-PCR). Further, gene encoding the immuno-dominant region of HSPD1 was cloned using the expression vector pPROEX-HTa and expressed in a prokaryotic system and recombinant HSPD1 (rHSPD1) was purified by affinity chromatography. Hyperimmune serum was raised against rHSPD1 in mice, and immunohistochemistry was standardized to assess the expression of this protein in various histotypes of canine mammary tumors.</p><p><strong>Results: </strong>An elevated <i>HSPD1</i> mRNA expression (5.973 ± 0.862 folds) was observed in canine mammary tumors. Upon purification, a 60 kDa recombinant protein was obtained and confirmed by Western blotting. In 83.3% of healthy mammary tissues, a mild/feeble HSPD1 expression was observed whereas, a strong expression of HSPD1 was seen in 80% CMT samples.</p><p><strong>Conclusion: </strong>The findings suggested that HSPD1 could be used as a molecular marker for canine mammary tumors.</p>","PeriodicalId":14629,"journal":{"name":"Iranian journal of veterinary research","volume":"25 4","pages":"368-375"},"PeriodicalIF":1.0000,"publicationDate":"2025-01-01","publicationTypes":"Journal Article","fieldsOfStudy":null,"isOpenAccess":false,"openAccessPdf":"https://www.ncbi.nlm.nih.gov/pmc/articles/PMC12085206/pdf/","citationCount":"0","resultStr":null,"platform":"Semanticscholar","paperid":null,"PeriodicalName":"Iranian journal of veterinary research","FirstCategoryId":"97","ListUrlMain":"https://doi.org/10.22099/ijvr.2024.50204.7404","RegionNum":4,"RegionCategory":"农林科学","ArticlePicture":[],"TitleCN":null,"AbstractTextCN":null,"PMCID":null,"EPubDate":"","PubModel":"","JCR":"Q3","JCRName":"VETERINARY SCIENCES","Score":null,"Total":0}
引用次数: 0

Abstract

Background: Mammary tumors are the most common tumors in female dogs. An early diagnosis makes the treatment easier.

Aims: The present study aimed to assess heat shock protein D1 (HSPD1) expression in canine mammary tumors.

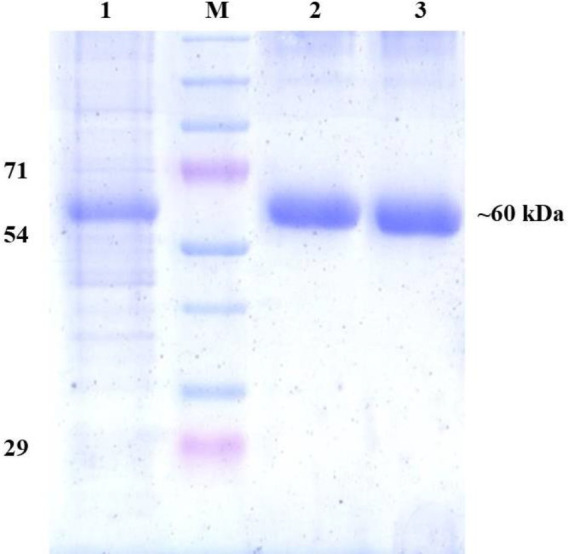
Methods: Canine mammary tumor (CMT) samples were collected from clinics after surgery. Expression of HSPD1 transcript in CMT and apparently healthy mammary tissues was analyzed by SYBR green based real-time PCR (qRT-PCR). Further, gene encoding the immuno-dominant region of HSPD1 was cloned using the expression vector pPROEX-HTa and expressed in a prokaryotic system and recombinant HSPD1 (rHSPD1) was purified by affinity chromatography. Hyperimmune serum was raised against rHSPD1 in mice, and immunohistochemistry was standardized to assess the expression of this protein in various histotypes of canine mammary tumors.

Results: An elevated HSPD1 mRNA expression (5.973 ± 0.862 folds) was observed in canine mammary tumors. Upon purification, a 60 kDa recombinant protein was obtained and confirmed by Western blotting. In 83.3% of healthy mammary tissues, a mild/feeble HSPD1 expression was observed whereas, a strong expression of HSPD1 was seen in 80% CMT samples.

Conclusion: The findings suggested that HSPD1 could be used as a molecular marker for canine mammary tumors.

Abstract Image

Abstract Image

Abstract Image

热休克蛋白D1在犬乳腺肿瘤中表达上调。
背景:乳腺肿瘤是雌性犬中最常见的肿瘤。早期诊断使治疗更容易。目的:探讨热休克蛋白D1 (HSPD1)在犬乳腺肿瘤中的表达。方法:临床采集犬乳腺肿瘤(CMT)标本。采用基于SYBR绿色的实时荧光定量PCR (qRT-PCR)分析HSPD1转录本在CMT和表面健康乳腺组织中的表达。利用表达载体pPROEX-HTa克隆HSPD1免疫优势区编码基因,并在原核系统中表达,通过亲和层析纯化重组HSPD1 (rHSPD1)。在小鼠中培养抗rHSPD1的高免疫血清,并标准化免疫组织化学以评估该蛋白在犬乳腺肿瘤各种组织类型中的表达。结果:犬乳腺肿瘤组织中HSPD1 mRNA表达升高(5.973±0.862倍)。纯化后获得60 kDa重组蛋白,经Western blotting证实。在83.3%的健康乳腺组织中观察到轻度/微弱的HSPD1表达,而在80%的CMT样本中观察到强表达HSPD1。结论:HSPD1可作为犬乳腺肿瘤的分子标志物。
本文章由计算机程序翻译,如有差异,请以英文原文为准。
求助全文
约1分钟内获得全文 求助全文
来源期刊
CiteScore
1.70
自引率
8.30%
发文量
10
期刊介绍: The Iranian Journal of Veterinary Research(IJVR) is published quarterly in 4 issues. The aims of this journal are to improve and expand knowledge in all veterinary fields. It is an international journal indexed by the Thomson Institute for Scientific Information (ISI), Elsevier, Scopus, CAB International, Veterinary Bulletin and several other international databases. Research papers and reports on a wide range of veterinary topics are published in the journal after being evaluated by expert reviewers.The Editor-in-Chief is responsible for the editorial content of the journal—including peer-reviewed manuscripts—and the timing of its publication.
×
引用
GB/T 7714-2015
复制
MLA
复制
APA
复制
导出至
BibTeX EndNote RefMan NoteFirst NoteExpress
×
提示
您的信息不完整,为了账户安全,请先补充。
现在去补充
×
提示
您因"违规操作"
具体请查看互助需知
我知道了
×
提示
确定
请完成安全验证×
copy
已复制链接
快去分享给好友吧!
我知道了
右上角分享
点击右上角分享
0
联系我们:info@booksci.cn Book学术提供免费学术资源搜索服务,方便国内外学者检索中英文文献。致力于提供最便捷和优质的服务体验。 Copyright © 2023 布克学术 All rights reserved.
京ICP备2023020795号-1
ghs 京公网安备 11010802042870号
Book学术文献互助
Book学术文献互助群
群 号:604180095
Book学术官方微信