Predictors of difficulty in robotic splenic flexure mobilization during rectal cancer surgery.

IF 2.3 3区 医学 Q2 GASTROENTEROLOGY & HEPATOLOGY
Yusuke Yamaoka, Akio Shiomi, Hiroyasu Kagawa, Hitoshi Hino, Shoichi Manabe, Yusuke Tanaka, Shunsuke Kasai, Tetsushi Ishiguro, Akifumi Notsu
{"title":"Predictors of difficulty in robotic splenic flexure mobilization during rectal cancer surgery.","authors":"Yusuke Yamaoka, Akio Shiomi, Hiroyasu Kagawa, Hitoshi Hino, Shoichi Manabe, Yusuke Tanaka, Shunsuke Kasai, Tetsushi Ishiguro, Akifumi Notsu","doi":"10.1007/s00384-025-04916-8","DOIUrl":null,"url":null,"abstract":"<p><strong>Purpose: </strong>In surgery for rectal cancer, splenic flexure mobilization is sometimes necessary to ensure a tension-free colorectal anastomosis with adequate blood supply. Splenic flexure mobilization is regarded as a challenging and risky maneuver, but there are no clear indicators of its difficulty in rectal cancer surgery. This study evaluated the impact of clinical and anatomical factors, including splenic flexure height measured qualitatively on the basis of vertebral level using computed tomography, on the difficulty of splenic flexure mobilization during rectal cancer surgery.</p><p><strong>Methods: </strong>The enrolled patients underwent robotic splenic flexure mobilization during rectal surgery for primary rectal cancer at Shizuoka Cancer Center in Japan between December 2011 and March 2022. All patients were scheduled to undergo splenic flexure mobilization preoperatively, and all procedures were carried out following a standardized approach. Linear regression analysis was conducted to determine the clinical and anatomical factors significantly influencing the operative time of the abdominal phase, which is defined as the duration from lymph node dissection around the inferior mesenteric artery to the mobilization of the sigmoid and descending colon, including the splenic flexure.</p><p><strong>Results: </strong>The median operative time for the abdominal phase was 88 min (range, 39-179 min). Univariate analysis revealed that the following variables were significantly correlated with a prolonged abdominal phase: higher body mass index, larger visceral fat area, and higher splenic flexure. In a multiple linear regression analysis, only higher splenic flexure remained significantly associated with a longer abdominal phase (p < 0.01).</p><p><strong>Conclusions: </strong>Splenic flexure height measured on the basis of vertebral level using computed tomography may be useful for predicting the difficulty of robotic splenic flexure mobilization in surgery for rectal cancer.</p>","PeriodicalId":13789,"journal":{"name":"International Journal of Colorectal Disease","volume":"40 1","pages":"122"},"PeriodicalIF":2.3000,"publicationDate":"2025-05-17","publicationTypes":"Journal Article","fieldsOfStudy":null,"isOpenAccess":false,"openAccessPdf":"https://www.ncbi.nlm.nih.gov/pmc/articles/PMC12085353/pdf/","citationCount":"0","resultStr":null,"platform":"Semanticscholar","paperid":null,"PeriodicalName":"International Journal of Colorectal Disease","FirstCategoryId":"3","ListUrlMain":"https://doi.org/10.1007/s00384-025-04916-8","RegionNum":3,"RegionCategory":"医学","ArticlePicture":[],"TitleCN":null,"AbstractTextCN":null,"PMCID":null,"EPubDate":"","PubModel":"","JCR":"Q2","JCRName":"GASTROENTEROLOGY & HEPATOLOGY","Score":null,"Total":0}
引用次数: 0

Abstract

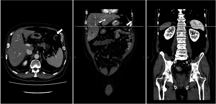
Purpose: In surgery for rectal cancer, splenic flexure mobilization is sometimes necessary to ensure a tension-free colorectal anastomosis with adequate blood supply. Splenic flexure mobilization is regarded as a challenging and risky maneuver, but there are no clear indicators of its difficulty in rectal cancer surgery. This study evaluated the impact of clinical and anatomical factors, including splenic flexure height measured qualitatively on the basis of vertebral level using computed tomography, on the difficulty of splenic flexure mobilization during rectal cancer surgery.

Methods: The enrolled patients underwent robotic splenic flexure mobilization during rectal surgery for primary rectal cancer at Shizuoka Cancer Center in Japan between December 2011 and March 2022. All patients were scheduled to undergo splenic flexure mobilization preoperatively, and all procedures were carried out following a standardized approach. Linear regression analysis was conducted to determine the clinical and anatomical factors significantly influencing the operative time of the abdominal phase, which is defined as the duration from lymph node dissection around the inferior mesenteric artery to the mobilization of the sigmoid and descending colon, including the splenic flexure.

Results: The median operative time for the abdominal phase was 88 min (range, 39-179 min). Univariate analysis revealed that the following variables were significantly correlated with a prolonged abdominal phase: higher body mass index, larger visceral fat area, and higher splenic flexure. In a multiple linear regression analysis, only higher splenic flexure remained significantly associated with a longer abdominal phase (p < 0.01).

Conclusions: Splenic flexure height measured on the basis of vertebral level using computed tomography may be useful for predicting the difficulty of robotic splenic flexure mobilization in surgery for rectal cancer.

Abstract Image

Abstract Image

Abstract Image

直肠癌手术中机械脾脏屈曲活动困难的预测因素。
目的:在直肠癌手术中,为了保证无张力的结直肠吻合术和充足的血液供应,有时需要脾屈曲动员。脾屈曲动员被认为是一种具有挑战性和风险的操作,但在直肠癌手术中没有明确的指标表明其难度。本研究评估临床和解剖学因素对直肠癌手术中脾屈曲活动难度的影响,包括使用计算机断层扫描在椎体水平的基础上定性测量脾屈曲高度。方法:纳入的患者于2011年12月至2022年3月在日本静冈县癌症中心接受直肠癌手术期间进行了机器人脾屈曲动员。所有患者术前均计划进行脾脏屈曲活动,所有手术均按照标准化方法进行。通过线性回归分析确定影响腹期手术时间的临床和解剖学因素,腹期定义为从肠系膜下动脉周围淋巴结清扫到乙状结肠和降结肠包括脾屈曲活动的时间。结果:腹部期中位手术时间为88 min(范围39 ~ 179 min)。单因素分析显示,以下变量与腹部期延长显著相关:较高的体重指数、较大的内脏脂肪面积和较高的脾脏屈曲。在一项多元线性回归分析中,只有较高的脾屈曲与较长的腹部期显著相关(p)。结论:利用计算机断层扫描在椎体水平的基础上测量脾屈曲高度,可能有助于预测直肠癌手术中机器人脾屈曲动员的难度。
本文章由计算机程序翻译,如有差异,请以英文原文为准。
求助全文
约1分钟内获得全文 求助全文
来源期刊
CiteScore
4.90
自引率
3.60%
发文量
206
审稿时长
3-8 weeks
期刊介绍: The International Journal of Colorectal Disease, Clinical and Molecular Gastroenterology and Surgery aims to publish novel and state-of-the-art papers which deal with the physiology and pathophysiology of diseases involving the entire gastrointestinal tract. In addition to original research articles, the following categories will be included: reviews (usually commissioned but may also be submitted), case reports, letters to the editor, and protocols on clinical studies. The journal offers its readers an interdisciplinary forum for clinical science and molecular research related to gastrointestinal disease.
×
引用
GB/T 7714-2015
复制
MLA
复制
APA
复制
导出至
BibTeX EndNote RefMan NoteFirst NoteExpress
×
提示
您的信息不完整,为了账户安全,请先补充。
现在去补充
×
提示
您因"违规操作"
具体请查看互助需知
我知道了
×
提示
确定
请完成安全验证×
copy
已复制链接
快去分享给好友吧!
我知道了
右上角分享
点击右上角分享
0
联系我们:info@booksci.cn Book学术提供免费学术资源搜索服务,方便国内外学者检索中英文文献。致力于提供最便捷和优质的服务体验。 Copyright © 2023 布克学术 All rights reserved.
京ICP备2023020795号-1
ghs 京公网安备 11010802042870号
Book学术文献互助
Book学术文献互助群
群 号:604180095
Book学术官方微信